Suppr超能文献

胸膜炎性胸痛作为化脓性脊柱炎的首发表现

Pleuritic Chest Pain as an Initial Presentation of Pyogenic Spondylitis.

作者信息

Kuroda Keisuke, Nakazaki Hirofumi, Shibata Yuri, Ikeda Hiroki, Yamasaki Akira

机构信息

Department of Respiratory Medicine, Tottori Red Cross Hospital, Tottori, JPN.

Division of Respiratory Medicine and Rheumatology, Department of Multidisciplinary Internal Medicine, Faculty of Medicine, Tottori University, Yonago, JPN.

出版信息

Cureus. 2025 Apr 18;17(4):e82501. doi: 10.7759/cureus.82501. eCollection 2025 Apr.

Abstract

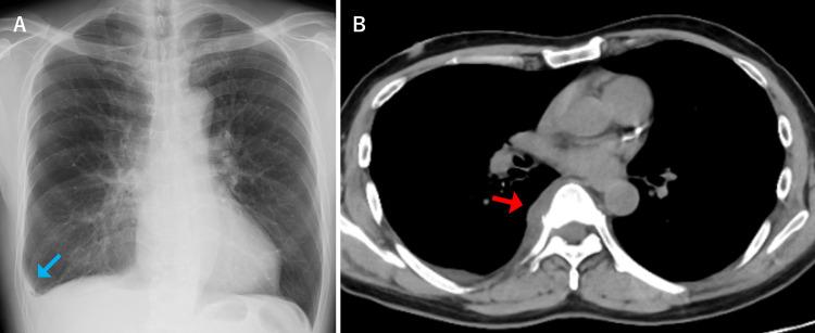
Pyogenic spondylitis typically presents with back and neck pain, fever, and fatigue. Sharp chest pain upon deep breathing, commonly associated with pleurisy, is not a typical manifestation of pyogenic spondylitis. We report a case of pleuritic chest pain as the initial presentation of pyogenic spondylitis. A 62-year-old male patient presented with a one-week history of right-sided pleuritic chest pain and fever. Chest computed tomography (CT) revealed a right pleural effusion. The patient was initially treated for bacterial pleurisy without improvement and subsequently developed back pain. Blood cultures yielded methicillin-resistant ( ​​​​). Additional thoracic spine magnetic resonance imaging (MRI) demonstrated pyogenic spondylitis with abscess formation on the right side of the vertebral body. The final diagnosis was pyogenic spondylitis that had progressed and spread inflammation to the pleura. This case highlights that pyogenic spondylitis can cause secondary pleurisy due to extension of inflammation to adjacent structures, a possibility that should be recognized. When  bacteremia is detected during the course of pleurisy, clinicians should consider secondary pleurisy and perform imaging studies to evaluate for pyogenic spondylitis.

摘要

化脓性脊柱炎通常表现为背部和颈部疼痛、发热及乏力。深呼吸时出现的尖锐胸痛,通常与胸膜炎相关,并非化脓性脊柱炎的典型表现。我们报告一例以胸膜炎性胸痛为首发表现的化脓性脊柱炎病例。一名62岁男性患者,有一周右侧胸膜炎性胸痛及发热病史。胸部计算机断层扫描(CT)显示右侧胸腔积液。该患者最初按细菌性胸膜炎治疗但无改善,随后出现背痛。血培养检出耐甲氧西林(此处原文缺失内容)。额外的胸椎磁共振成像(MRI)显示化脓性脊柱炎,椎体右侧有脓肿形成。最终诊断为化脓性脊柱炎,炎症进展并蔓延至胸膜。该病例强调化脓性脊柱炎可因炎症蔓延至相邻结构而导致继发性胸膜炎,这一可能性应得到认识。当在胸膜炎病程中检测到菌血症时,临床医生应考虑继发性胸膜炎并进行影像学检查以评估是否存在化脓性脊柱炎。

https://cdn.ncbi.nlm.nih.gov/pmc/blobs/8576/12085958/39d5dd05e580/cureus-0017-00000082501-i01.jpg

文献AI研究员

20分钟写一篇综述,助力文献阅读效率提升50倍。

立即体验

用中文搜PubMed

大模型驱动的PubMed中文搜索引擎

马上搜索

文档翻译

学术文献翻译模型,支持多种主流文档格式。

立即体验