Suppr超能文献

糖尿病酮症酸中毒相关性脑损伤:一种罕见但严重的并发症。

Diabetic Ketoacidosis-Associated Brain Injury: A Rare but Serious Complication.

作者信息

Bencharfa Bassam, Zegar Ilias, Haddouga Sara, Kehel Kenza, Belhadj Ayoub, Aissaoui Younes

机构信息

Department of Critical Care Medicine, Avicenna Military Hospital, Marrakech 40000, Morocco.

B2S Laboratory, Cadi Ayyad University, Faculty of Medicine and Pharmacy, Marrakech 40000, Morocco.

出版信息

JCEM Case Rep. 2025 May 21;3(7):luaf103. doi: 10.1210/jcemcr/luaf103. eCollection 2025 Jul.

Abstract

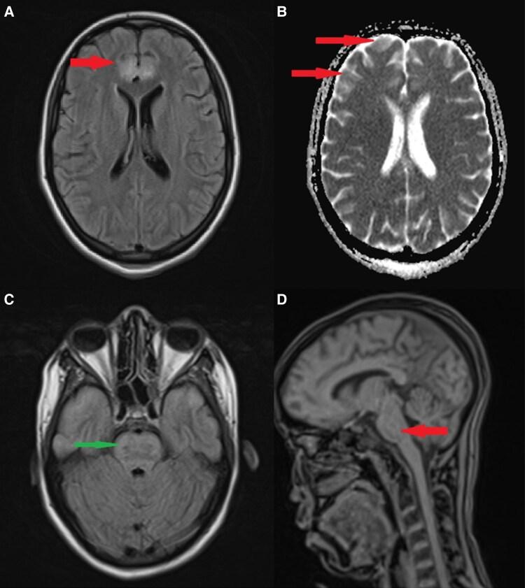
Diabetic ketoacidosis (DKA)-associated brain injury is a rare but serious complication, typically occurring early during metabolic correction and associated with a poor prognosis. We report the case of an 18-year-old college student admitted to the intensive care unit with severe DKA, characterized by profound metabolic acidosis and marked electrolyte imbalances, including hypokalemia, hypernatremia, and hyperchloremia. Within hours, she developed altered mental status and generalized seizures. Brain magnetic resonance imaging (MRI) revealed diffuse cortical and brainstem abnormalities, suggestive of cytotoxic cerebral edema. She was managed with continuous sedation, mechanical ventilation, intravenous insulin, potassium supplementation, enteral nutrition, and gradual metabolic correction. Her neurologic status improved within a few days, and follow-up MRI showed partial regression of the lesions. She was subsequently transferred to the endocrinology department and ultimately regained full cognitive and physical function. This case underscores the importance of early recognition, close neurologic monitoring, timely neuroimaging, and tight metabolic and osmotic control to optimize outcomes in patients with DKA-associated brain injury.

摘要

糖尿病酮症酸中毒(DKA)相关的脑损伤是一种罕见但严重的并发症,通常发生在代谢纠正的早期,且预后不良。我们报告一例18岁大学生因严重DKA入住重症监护病房的病例,其特征为严重代谢性酸中毒和明显的电解质失衡,包括低钾血症、高钠血症和高氯血症。数小时内,她出现了精神状态改变和全身性癫痫发作。脑磁共振成像(MRI)显示弥漫性皮质和脑干异常,提示细胞毒性脑水肿。她接受了持续镇静、机械通气、静脉注射胰岛素、补钾、肠内营养和逐步的代谢纠正治疗。几天后她的神经状态有所改善,随访MRI显示病变部分消退。她随后被转至内分泌科,最终恢复了完全的认知和身体功能。该病例强调了早期识别、密切的神经监测、及时的神经影像学检查以及严格的代谢和渗透压控制对于优化DKA相关脑损伤患者预后的重要性。

https://cdn.ncbi.nlm.nih.gov/pmc/blobs/c84a/12093046/cb0f97085974/luaf103f1.jpg

文献AI研究员

20分钟写一篇综述,助力文献阅读效率提升50倍。

立即体验

用中文搜PubMed

大模型驱动的PubMed中文搜索引擎

马上搜索

文档翻译

学术文献翻译模型,支持多种主流文档格式。

立即体验