Suppr超能文献

牙龈卟啉单胞菌通过促进富含脂质的巨噬细胞坏死性凋亡加重动脉粥样硬化斑块不稳定性。

Porphyromonas gingivalis aggravates atherosclerotic plaque instability by promoting lipid-laden macrophage necroptosis.

作者信息

Huang Xiaofei, Xie Mengru, Wang Yixuan, Lu Xiaofeng, Mei Feng, Zhang Kaiwen, Yang Xinlong, Chen Guangjin, Yin Ying, Feng Guangxia, Song Wencheng, Dong Nianguo, Deng Xuliang, Wang Songling, Chen Lili

机构信息

Department of Stomatology, Union Hospital, Tongji Medical College, Huazhong University of Science and Technology, Wuhan, China.

School of Stomatology, Tongji Medical College, Huazhong University of Science and Technology, Wuhan, China.

出版信息

Signal Transduct Target Ther. 2025 May 23;10(1):171. doi: 10.1038/s41392-025-02251-6.

Abstract

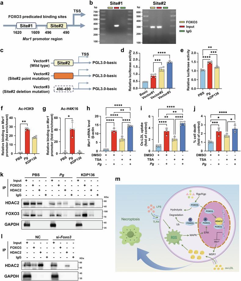
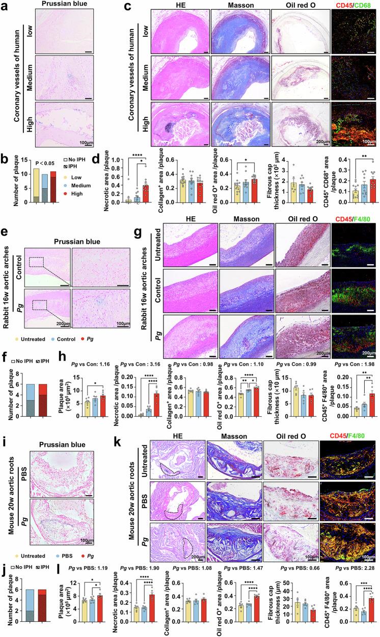
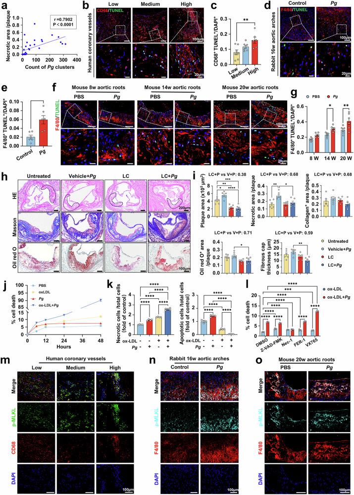
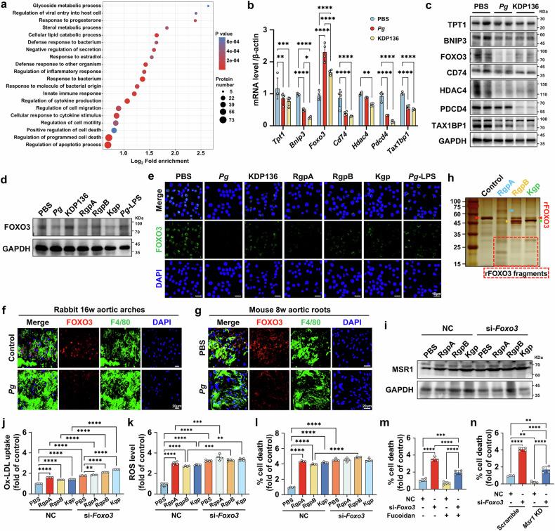
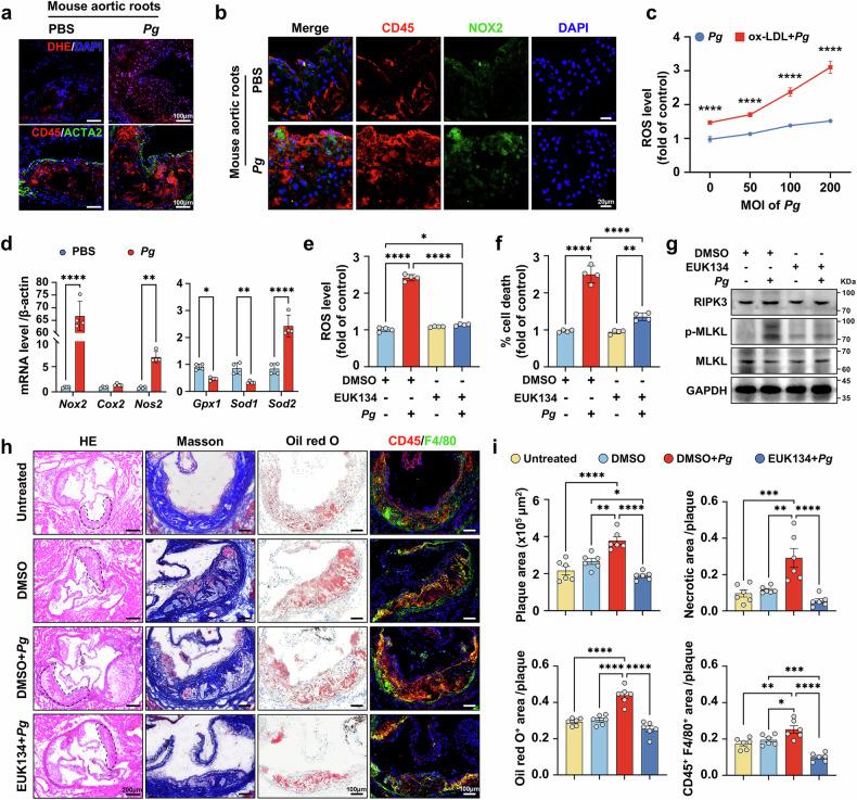
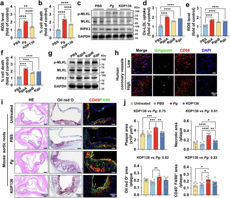
At advanced phases of atherosclerosis, the rupture and thrombogenesis of vulnerable plaques emerge as primary triggers for acute cardiovascular events and fatalities. Pathogenic infection such as periodontitis-associated Porphyromonas gingivalis (Pg) has been suspected of increasing the risks of atherosclerotic cardiovascular disease, but its relationship with atherosclerotic plaque destabilization remains elusive. Here we demonstrated that the level of Pg-positive clusters positively correlated with the ratio of necrotic core area to total atherosclerotic plaque area in human clinical samples, which indicates plaque instability. In rabbits and Apoe mice, Pg promoted atherosclerotic plaque necrosis and aggravated plaque instability by triggering oxidative stress, which led to macrophage necroptosis. This process was accompanied by the decreased protein level of forkhead box O3 (FOXO3) in macrophages. The mechanistic dissection showed that Pg lipopolysaccharide (LPS) evoked macrophage oxidative stress via the TLR4 signaling pathway, which subsequently activated MAPK/ERK-mediated FOXO3 phosphorylation and following degradation. While the gingipains, a class of proteases produced by Pg, could effectively hydrolyze FOXO3 in the cytoplasm of macrophages. Both of them decreased the nuclear level of FOXO3, followed by the release of histone deacetylase 2 (HDAC2) from the macrophage scavenger receptor 1 (Msr1) promoter, thus promoting Msr1 transcription. This enhanced MSR1-mediated lipid uptake further amplified oxidative stress-induced necroptosis in lipid-laden macrophages. In summary, Pg exacerbates macrophage oxidative stress-dependent necroptosis, thus enlarges the atherosclerotic plaque necrotic core and ultimately promotes plaque destabilization.

摘要

在动脉粥样硬化的晚期阶段,易损斑块的破裂和血栓形成成为急性心血管事件和死亡的主要触发因素。诸如与牙周炎相关的牙龈卟啉单胞菌(Pg)等致病性感染被怀疑会增加动脉粥样硬化性心血管疾病的风险,但其与动脉粥样硬化斑块不稳定之间的关系仍不明确。在此,我们证明在人类临床样本中,Pg阳性簇的水平与坏死核心面积与总动脉粥样硬化斑块面积的比值呈正相关,这表明斑块不稳定。在兔子和载脂蛋白E基因敲除(Apoe)小鼠中,Pg通过引发氧化应激促进动脉粥样硬化斑块坏死并加剧斑块不稳定,进而导致巨噬细胞坏死性凋亡。这一过程伴随着巨噬细胞中叉头框O3(FOXO3)蛋白水平的降低。机制分析表明,Pg脂多糖(LPS)通过Toll样受体4(TLR4)信号通路诱发巨噬细胞氧化应激,随后激活丝裂原活化蛋白激酶/细胞外信号调节激酶(MAPK/ERK)介导的FOXO3磷酸化及后续降解。而Pg产生的一类蛋白酶——牙龈蛋白酶,可有效水解巨噬细胞胞质中的FOXO3。两者均降低了FOXO3的核水平,随后组蛋白去乙酰化酶2(HDAC2)从巨噬细胞清道夫受体1(Msr1)启动子上释放,从而促进Msr1转录。这种增强的MSR1介导的脂质摄取进一步放大了氧化应激诱导的富含脂质巨噬细胞中的坏死性凋亡。总之,Pg加剧了巨噬细胞氧化应激依赖性坏死性凋亡,从而扩大了动脉粥样硬化斑块坏死核心并最终促进斑块不稳定。

https://cdn.ncbi.nlm.nih.gov/pmc/blobs/085f/12098900/15d14b083aee/41392_2025_2251_Fig1_HTML.jpg

文献AI研究员

20分钟写一篇综述,助力文献阅读效率提升50倍。

立即体验

用中文搜PubMed

大模型驱动的PubMed中文搜索引擎

马上搜索

文档翻译

学术文献翻译模型,支持多种主流文档格式。

立即体验