Suppr超能文献

对Fsh信号在()缺陷斑马鱼卵巢分化中作用的见解。 备注:原文括号处内容缺失。

Insights into the role of Fsh signaling in ovarian differentiation of ( )-deficient zebrafish.

作者信息

Shi Chuang, Zhang Yuqing, Lu Yao, Lou Qiyong, Shang Guohui, Peng Xuyan, Dai Xiangyan, Jin Xia, He Jiangyan, Zhai Gang, Yin Zhan

机构信息

State Key Laboratory of Breeding Biotechnology and Sustainable Aquaculture, Institute of Hydrobiology, Chinese Academy of Sciences, Wuhan, Hubei 430072, China.

University of Chinese Academy of Sciences, Beijing 100049, China.

出版信息

Zool Res. 2025 May 18;46(3):695-708. doi: 10.24272/j.issn.2095-8137.2024.397.

Abstract

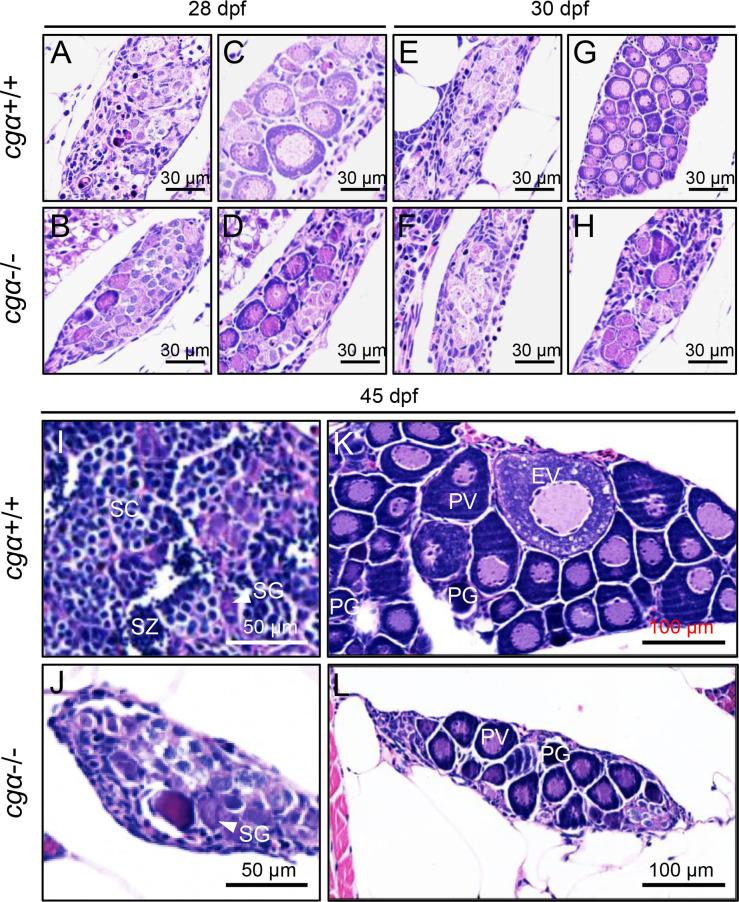
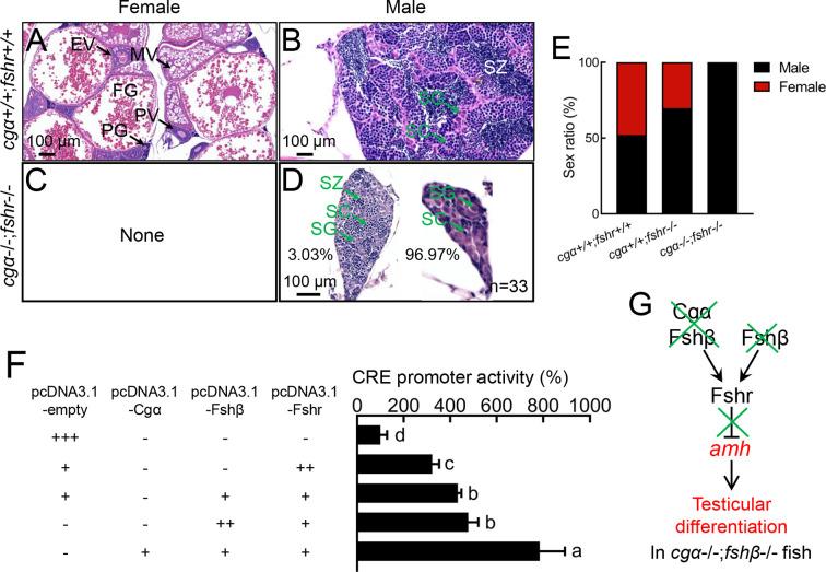
Chorionic gonadotropin α (Cgα) functions as the shared subunit for thyroid-stimulating hormone subunit β (Tshβ), luteinizing hormone subunit β (Lhβ), and follicle-stimulating hormone subunit β (Fshβ). While these β-subunits have been extensively studied using effective gene knockout models in zebrafish, the biological role of Cgα remains elusive. In this study, -deficient zebrafish generated via transcription activator-like effector nucleases (TALENs) exhibited viability but displayed pronounced developmental abnormalities, including growth retardation, hyperpigmentation, reduced thyroxine (T4) levels, and defective anterior swim bladder inflation during juvenile stages. In adults, cgα deficiency led to disrupted gonadal development, impaired secondary sex characteristics (SSCs), and severely impacted reproductive behavior in both female and male fish. Notably, both testicular and ovarian differentiation were observed in -deficient fish and ; mutants. Gonadal sex differentiation in -deficient zebrafish exhibited a pronounced shift toward testicular fate upon additional disruption of ( ; ), marked by elevated anti-Müllerian hormone ( ) expression, or following loss of follicle-stimulating hormone receptor ( ) ( ; ). assays in Chinese hamster ovary (CHO) cells revealed increased cAMP response element (CRE) promoter activity following transfection with constructs encoding Fshr, Fshβ/Fshr, or Cgα/Fshβ/Fshr. Collectively, the phenotypes observed in -deficient fish recapitulate those of thyrotropin- and gonadotropin-disrupted models, highlighting the essential role of Cgα in thyroid and gonadal function. Importantly, these findings uncover the role of Fsh signaling in maintaining proper ovarian differentiation in zebrafish, including Cgα-independent Fshβ activity and the constitutive functionality of Fshr.

摘要

绒毛膜促性腺激素α(Cgα)作为促甲状腺激素亚基β(Tshβ)、黄体生成素亚基β(Lhβ)和卵泡刺激素亚基β(Fshβ)的共享亚基发挥作用。虽然这些β亚基已通过斑马鱼中有效的基因敲除模型进行了广泛研究,但Cgα的生物学作用仍不清楚。在本研究中,通过转录激活样效应核酸酶(TALENs)产生的Cgα缺陷斑马鱼具有生存能力,但表现出明显的发育异常,包括生长迟缓、色素沉着过度、甲状腺素(T4)水平降低以及幼鱼阶段前泳鳔充气缺陷。在成年鱼中,cgα缺陷导致性腺发育紊乱、第二性征(SSCs)受损,并严重影响雌鱼和雄鱼的生殖行为。值得注意的是,在Cgα缺陷鱼和 ; 突变体中均观察到睾丸和卵巢分化。Cgα缺陷斑马鱼的性腺性别分化在 ( ; )额外破坏后明显向睾丸命运转变,以抗苗勒管激素( )表达升高为标志,或在卵泡刺激素受体( )缺失后( ; )。在中国仓鼠卵巢(CHO)细胞中进行的 测定显示,用编码Fshr、Fshβ/Fshr或Cgα/Fshβ/Fshr的构建体转染后,cAMP反应元件(CRE)启动子活性增加。总体而言,在Cgα缺陷鱼中观察到的表型概括了促甲状腺激素和促性腺激素破坏模型的表型,突出了Cgα在甲状腺和性腺功能中的重要作用。重要的是,这些发现揭示了Fsh信号在维持斑马鱼正常卵巢分化中的作用,包括不依赖Cgα的Fshβ活性和Fshr的组成性功能。

https://cdn.ncbi.nlm.nih.gov/pmc/blobs/bb30/12361895/f267e2754b63/zr-46-3-695-1.jpg

文献AI研究员

20分钟写一篇综述,助力文献阅读效率提升50倍。

立即体验

用中文搜PubMed

大模型驱动的PubMed中文搜索引擎

马上搜索

文档翻译

学术文献翻译模型,支持多种主流文档格式。

立即体验