Suppr超能文献

具有NRAS突变的非小细胞肺癌的临床病理特征

Clinicopathological Features of Non-Small Cell Lung Carcinoma with NRAS Mutation.

作者信息

Ambrosini-Spaltro Andrea, Rengucci Claudia, Capelli Laura, Chiadini Elisa, Bennati Chiara, Delmonte Angelo, Vecchiarelli Silvia, Limarzi Francesco, Nosseir Sofia, Gallo Graziana, Valli Mirca, Ulivi Paola, Calistri Daniele

机构信息

Pathology Unit, Morgani-Pierantoni Hospital, AUSL Romagna, 47121 Forlì, Italy.

Biosciences Laboratory, IRCCS Istituto Romagnolo per lo Studio dei Tumori (IRST) "Dino Amadori", 47014 Meldola, Italy.

出版信息

J Pers Med. 2025 May 16;15(5):199. doi: 10.3390/jpm15050199.

Abstract

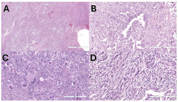
: NRAS mutations affect fewer than 1% of lung adenocarcinomas. The aim of this study was to describe the clinicopathological features of lung carcinomas with NRAS mutations. : A series of NRAS-mutated lung carcinomas was collected from a molecular diagnostic unit (from four hospitals). The cases were analyzed with next-generation sequencing. A log-rank test for overall survival (OS) was calculated. : NRAS mutations were detected in 14/1948 samples (0.72%) of non-small-cell lung carcinomas from 13 patients (8 males, 5 females). NRAS mutations involved codon 61 in the majority (9/13, 69.2%) of cases. The other NRAS mutations affected codon 12 (2/13, 15.4%), codon 13 (1/13, 7.7%), and codon 142 (1/13, 7.7%). In 7/13 cases, co-alterations in additional genes were also present. Pleomorphic/sarcomatoid features were identified in 3/13 (23.1%) cases, in 2/8 (25.0%) histological specimens, and in 2/5 (40.0%) surgical specimens, respectively. Follow-up data were available in 11/13 cases, with 6 patients deceased. By a log-rank test, patients with NRAS mutations in codon 61 had a better outcome (estimated mean of 32.6 ± 7.1 months) compared to those with other NRAS mutations (estimated mean of 8.7 ± 4.4 months), with a significant difference ( = 0.048 for OS). : Lung carcinomas with NRAS mutation may display pleomorphic or sarcomatoid features. Mutations in codon 61 showed a more favorable prognosis than those in other codons.

摘要

NRAS 突变在不到 1%的肺腺癌中出现。本研究的目的是描述具有 NRAS 突变的肺癌的临床病理特征。

从一个分子诊断科室(来自四家医院)收集了一系列 NRAS 突变的肺癌病例。对这些病例进行二代测序分析,并计算总生存期(OS)的对数秩检验。

在 13 例患者(8 例男性,5 例女性)的非小细胞肺癌的 1948 个样本中,检测到 14 个样本(0.72%)存在 NRAS 突变。大多数病例(9/13,69.2%)的 NRAS 突变涉及密码子 61。其他 NRAS 突变影响密码子 12(2/13,15.4%)、密码子 13(1/13,7.7%)和密码子 142(1/13,7.7%)。在 13 例中的 7 例中,还存在其他基因的共同改变。分别在 13 例中的 3 例(23.1%)、8 例组织学标本中的 2 例(25.0%)和 5 例手术标本中的 2 例(40.0%)中发现了多形性/肉瘤样特征。13 例中的 11 例有随访数据,其中 6 例患者死亡。通过对数秩检验,密码子 61 发生 NRAS 突变的患者比其他 NRAS 突变患者的预后更好(估计平均生存期为 32.6±7.1 个月),而其他 NRAS 突变患者的估计平均生存期为 8.7±4.4 个月,总生存期有显著差异(P = 0.048)。

具有 NRAS 突变的肺癌可能表现出多形性或肉瘤样特征。密码子 61 的突变比其他密码子的突变预后更有利。

https://cdn.ncbi.nlm.nih.gov/pmc/blobs/ada4/12113192/a8dc4a8c8795/jpm-15-00199-g001.jpg

文献AI研究员

20分钟写一篇综述,助力文献阅读效率提升50倍。

立即体验

用中文搜PubMed

大模型驱动的PubMed中文搜索引擎

马上搜索

文档翻译

学术文献翻译模型,支持多种主流文档格式。

立即体验