Suppr超能文献

猫冠状病毒和犬冠状病毒对源自A-72犬纤维肉瘤细胞系的细胞外囊泡影响的比较研究

Comparative Examination of Feline Coronavirus and Canine Coronavirus Effects on Extracellular Vesicles Acquired from A-72 Canine Fibrosarcoma Cell Line.

作者信息

Wijerathne Sandani V T, Pandit Rachana, Ezeuko Chioma C, Matthews Qiana L

机构信息

Microbiology Program, Alabama State University, Montgomery, AL 36104, USA.

Department of Biological Sciences, College of Science, Technology, Engineering, and Mathematics, Alabama State University, Montgomery, AL 36104, USA.

出版信息

Vet Sci. 2025 May 15;12(5):477. doi: 10.3390/vetsci12050477.

Abstract

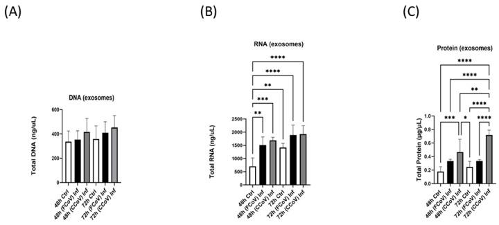
Coronavirus (CoV) is an extremely contagious, enveloped positive-single-stranded RNA virus, which has become a global pandemic that causes several illnesses in humans and animals. Hence, it is necessary to investigate viral-induced reactions across diverse hosts. Herein, we propose utilizing naturally secreted extracellular vesicles (EVs), mainly focusing on exosomes to examine virus-host responses following CoV infection. Exosomes are small membrane-bound vesicles originating from the endosomal pathway, which play a pivotal role in intracellular communication and physiological and pathological processes. We suggested that CoV could impact EV formation, content, and diverse immune responses in vitro. In this study, we infected A-72, which is a canine fibroblast cell line, with a feline coronavirus (FCoV) and canine coronavirus (CCoV) independently in an exosome-free media at 0.001 multiplicity of infection (MOI), with incubation periods of 48 and 72 h. The cell viability was significantly downregulated with increased incubation time following FCoV and CCoV infection, which was identified by performing the 3-(4,5-dimethylthiazo-1-2yl)-2,5-diphenyltetrazolium bromide (MTT) assay. After the infection, EVs were isolated through ultracentrifugation, and the subsequent analysis involved quantifying and characterizing the purified EVs using various techniques. NanoSight particle tracking analysis (NTA) verified that EV dimensions fell between 100 and 200 nm at both incubation periods. At both periods, total protein and RNA levels were significantly upregulated in A-72-derived EVs following FCoV and CCoV infections. However, total DNA levels were gradually upregulated with increased incubation time. Dot blot analysis indicated that the expression levels of ACE2, IL-1β, Flotillin-1, CD63, caspase-8, and Hsp90 were modified in A-72-derived EVs following both CoV infections. Our results indicated that FCoV and CCoV infections could modulate the EV production and content, which could play a role in the development of viral diseases. Investigating diverse animal CoV will provide in-depth insight into host exosome biology during CoV infection. Hence, our findings contribute to the comprehension and characterization of EVs in virus-host interactions during CoV infection.

摘要

冠状病毒(CoV)是一种极具传染性的包膜正单链RNA病毒,已成为一场全球大流行疾病,可导致人类和动物患上多种疾病。因此,有必要研究病毒在不同宿主中引发的反应。在此,我们建议利用天然分泌的细胞外囊泡(EVs),主要聚焦于外泌体,以研究冠状病毒感染后的病毒-宿主反应。外泌体是源自内体途径的小膜结合囊泡,在细胞内通讯以及生理和病理过程中发挥着关键作用。我们认为冠状病毒可能会在体外影响细胞外囊泡的形成、内容物以及多种免疫反应。在本研究中,我们在无外泌体培养基中,以0.001的感染复数(MOI)分别用猫冠状病毒(FCoV)和犬冠状病毒(CCoV)感染犬成纤维细胞系A-72,孵育时间分别为48小时和72小时。通过进行3-(4,5-二甲基噻唑-2)-2,5-二苯基四氮唑溴盐(MTT)测定发现,随着FCoV和CCoV感染后孵育时间的增加,细胞活力显著下调。感染后,通过超速离心分离细胞外囊泡,随后的分析包括使用各种技术对纯化的细胞外囊泡进行定量和表征。纳米可视颗粒追踪分析(NTA)证实,在两个孵育期,细胞外囊泡的尺寸都在100至200纳米之间。在两个时期,FCoV和CCoV感染后,A-72来源的细胞外囊泡中的总蛋白和RNA水平均显著上调。然而,总DNA水平随着孵育时间的增加而逐渐上调。斑点印迹分析表明,两种冠状病毒感染后,A-72来源的细胞外囊泡中血管紧张素转换酶2(ACE2)、白细胞介素-1β(IL-1β)、 flotillin-1、CD63、半胱天冬酶-8(caspase-8)和热休克蛋白90(Hsp90)的表达水平发生了改变。我们的结果表明,FCoV和CCoV感染可以调节细胞外囊泡的产生和内容物,这可能在病毒性疾病的发展中发挥作用。研究不同动物的冠状病毒将为深入了解冠状病毒感染期间宿主外泌体生物学提供见解。因此,我们的研究结果有助于理解和表征冠状病毒感染期间病毒-宿主相互作用中的细胞外囊泡。

https://cdn.ncbi.nlm.nih.gov/pmc/blobs/0c53/12115506/7f29a575e23b/vetsci-12-00477-g001.jpg

文献AI研究员

20分钟写一篇综述,助力文献阅读效率提升50倍。

立即体验

用中文搜PubMed

大模型驱动的PubMed中文搜索引擎

马上搜索

文档翻译

学术文献翻译模型,支持多种主流文档格式。

立即体验