Suppr超能文献

青少年拇外翻的微创手术

Minimally Invasive Surgery for Juvenile Hallux Valgus.

作者信息

Lee Sang W, Gabriel Daniel, Lee Dong W, Lin Winnie T H, May Collin

机构信息

Harvard Medical School, Boston, MA, USA.

Boston Children's Hospital, Department of Orthopaedic Surgery, Boston, MA, USA.

出版信息

J Pediatr Soc North Am. 2025 Mar 17;11:100175. doi: 10.1016/j.jposna.2025.100175. eCollection 2025 May.

Abstract

UNLABELLED

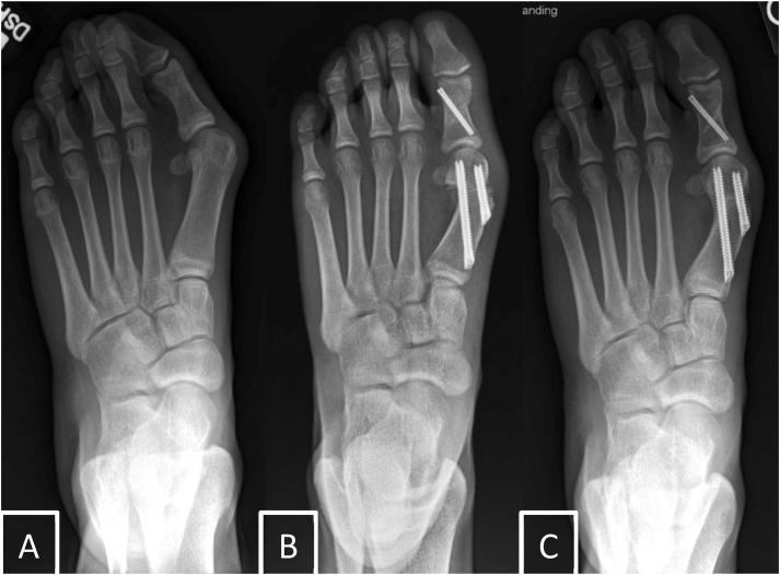
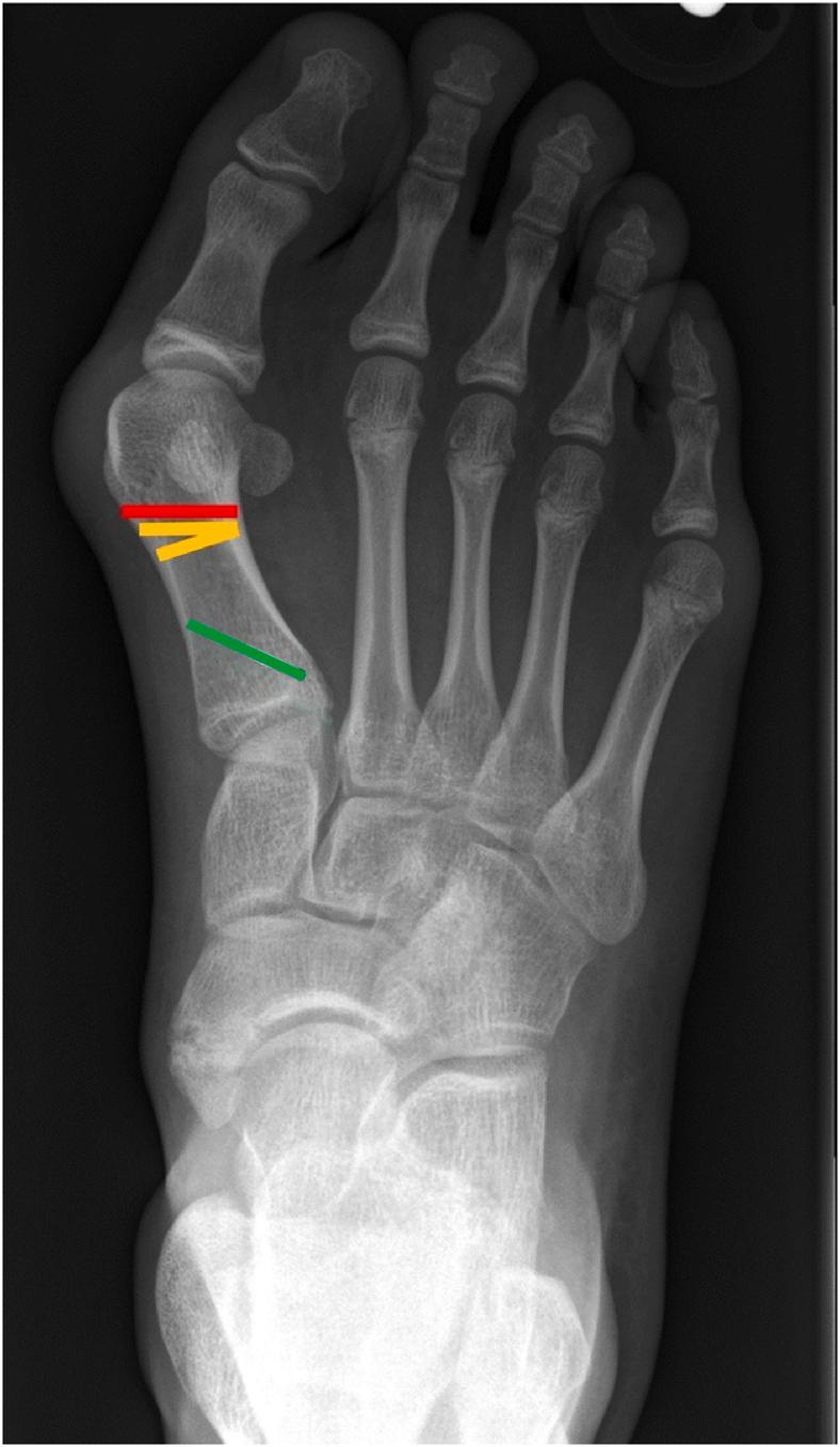
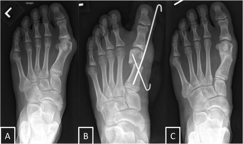
In adults, minimally invasive surgery for surgical treatment of hallux valgus has become increasingly popular, with a growing body of literature showing safety and effectiveness comparable to open surgery. Minimally invasive techniques for the treatment of juvenile hallux valgus include Bosch, Reverdin-Isham, Chevron, Endolog, distal soft tissue release, and hemiepiphysiodesis procedures. Data comparing minimally invasive and open surgery for the treatment of juvenile hallux valgus in children and adolescents are limited. In this review, we provide an overview of juvenile hallux valgus, discuss the minimally invasive techniques available for surgical treatment, and review the data on safety and effectiveness associated with each technique. There is a need for larger-scale studies comparing minimally invasive and open surgery for the treatment of juvenile hallux valgus, as well as the development of a standardized set of clinical and radiographic outcomes to guide evidence-based surgical management of juvenile hallux valgus.

KEY CONCEPTS

(1)Compared with data on managing hallux valgus in adults, information on the safety and effectiveness of minimally invasive surgery for treating juvenile hallux valgus is limited.(2)Minimally invasive techniques for treating juvenile hallux valgus include Bosch, Reverdin-Isham, Chevron, Endolog, distal soft tissue release, and hemiepiphysiodesis procedures.(3)In total, 10 studies have assessed outcomes, demonstrating varying degrees of radiographic and clinical improvement along with complication rates.(4)Future large-scale comparative studies and standardized outcomes are essential for informing evidence-based surgical management of juvenile hallux valgus.

摘要

未标注

在成人中,用于手术治疗拇外翻的微创手术越来越受欢迎,越来越多的文献表明其安全性和有效性与开放手术相当。治疗青少年拇外翻的微创技术包括博世术、雷维尔丹-伊沙姆术、人字形截骨术、Endolog术、远端软组织松解术和半骨骺阻滞术。比较微创和开放手术治疗儿童及青少年拇外翻的数据有限。在本综述中,我们概述了青少年拇外翻,讨论了可用于手术治疗的微创技术,并回顾了与每种技术相关的安全性和有效性数据。需要进行更大规模的研究来比较微创和开放手术治疗青少年拇外翻的效果,以及制定一套标准化的临床和影像学结果,以指导青少年拇外翻的循证手术治疗。

关键概念

(1)与成人拇外翻治疗数据相比,关于微创手术治疗青少年拇外翻安全性和有效性的信息有限。(2)治疗青少年拇外翻的微创技术包括博世术、雷维尔丹-伊沙姆术、人字形截骨术、Endolog术、远端软组织松解术和半骨骺阻滞术。(3)共有10项研究评估了结果,显示出不同程度的影像学和临床改善以及并发症发生率。(4)未来大规模的比较研究和标准化结果对于为青少年拇外翻的循证手术治疗提供依据至关重要。

https://cdn.ncbi.nlm.nih.gov/pmc/blobs/ef05/12088263/7a8acaf9dd37/gr1.jpg

文献AI研究员

20分钟写一篇综述,助力文献阅读效率提升50倍。

立即体验

用中文搜PubMed

大模型驱动的PubMed中文搜索引擎

马上搜索

文档翻译

学术文献翻译模型,支持多种主流文档格式。

立即体验