Suppr超能文献

一种用于促进牙周炎再生治疗的现成人工血凝块水凝胶,可中和多种促炎介质。

An Off-the-Shelf Artificial Blood Clot Hydrogel Neutralizing Multiple Proinflammatory Mediators for Pro-Regenerative Periodontitis Treatment.

作者信息

Huangfu Yini, Zhao Zhezhe, Liu Xiang, Wang Jingrong, Zhang Yufeng, Lan Tingting, Wang Yonglan, Wu Chenxuan, Zhang Ju, Huang Pingsheng, Zhang Chuangnian, Dong Anjie, Feng Zujian, Kong Deling, Wang Weiwei

机构信息

Department of Polymer Science and Engineering, Key Laboratory of Systems Bioengineering (Ministry of Education), School of Chemical Engineering and Technology, Tianjin University, Tianjin, 300072, P. R. China.

Department of Periodontology, School and Hospital of Stomatology, Tianjin Medical University, Tianjin, 300070, P. R. China.

出版信息

Adv Sci (Weinh). 2025 Aug;12(31):e04106. doi: 10.1002/advs.202504106. Epub 2025 May 28.

Abstract

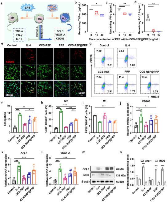
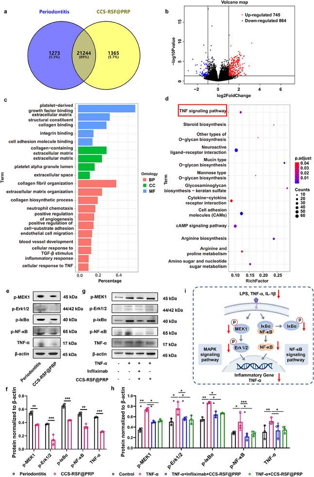
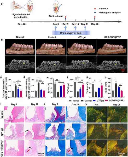
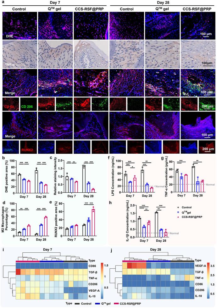
Periodontitis is a destructive and chronic inflammatory disease initiated and sustained by multiple proinflammatory mediators. Current therapies mainly deal with bacteria elimination, but directly addressing the over-accumulated multiple inflammatory mediators in the periodontal microenvironment still remains a substantial challenge for regenerative periodontitis treatment. Herein, inspired by blood coagulation, an off-the-shelf artificial blood clot hydrogel encapsulated with platelet-rich plasma (PRP) is reported to mitigate the deteriorative inflammatory environment in periodontitis. The hydrogel (CCS-RSF@PRP) with a hierarchical fibers-interwoven network structure, in which the activated platelets are enriched, is structurally similar to the native blood clot. Functionally, in addition to the function of enriching and releasing growth factors, CCS-RSF@PRP can remarkably scavenge reactive oxygen species (ROS), neutralize endotoxin lipopolysaccharide (LPS), and proinflammatory cytokines (TNF-α, IFN-γ and IL-1β), inhibit M1 macrophage polarization and induce M2 macrophage polarization, thus blocking the chronic inflammatory feedback loop in the periodontitis. In rat periodontitis model, CCS-RSF@PRP hydrogel significantly expedits the repair of periodontium by normalizing the periodontal immune-environment. The work highlights the importance of local immunomodulation in the treatment of periodontitis, and the engineered PRP-derived hydrogel can mimic and expand the structure and function of native blood clot, holding great promise in treating chronic inflammatory diseases.

摘要

牙周炎是一种由多种促炎介质引发并持续的慢性破坏性炎症性疾病。目前的治疗方法主要是消除细菌,但直接解决牙周微环境中过度积累的多种炎症介质,对于牙周炎的再生治疗仍然是一个重大挑战。在此,受血液凝固的启发,报道了一种即用型人工血凝块水凝胶,其包裹有富含血小板血浆(PRP),可减轻牙周炎中恶化的炎症环境。这种具有分级纤维交织网络结构的水凝胶(CCS-RSF@PRP)富含活化血小板,其结构与天然血凝块相似。在功能上,除了富集和释放生长因子的功能外,CCS-RSF@PRP还可以显著清除活性氧(ROS)、中和内毒素脂多糖(LPS)和促炎细胞因子(TNF-α、IFN-γ和IL-1β),抑制M1巨噬细胞极化并诱导M2巨噬细胞极化,从而阻断牙周炎中的慢性炎症反馈回路。在大鼠牙周炎模型中,CCS-RSF@PRP水凝胶通过使牙周免疫环境正常化,显著加速了牙周组织的修复。这项工作突出了局部免疫调节在牙周炎治疗中的重要性,并且工程化的PRP衍生水凝胶可以模拟并扩展天然血凝块的结构和功能,在治疗慢性炎症性疾病方面具有巨大潜力。

https://cdn.ncbi.nlm.nih.gov/pmc/blobs/2fc2/12376679/2da2f747bb41/ADVS-12-e04106-g004.jpg

文献AI研究员

20分钟写一篇综述,助力文献阅读效率提升50倍。

立即体验

用中文搜PubMed

大模型驱动的PubMed中文搜索引擎

马上搜索

文档翻译

学术文献翻译模型,支持多种主流文档格式。

立即体验