Suppr超能文献

内体RFFL泛素连接酶通过靶向线粒体融合蛋白2来调节线粒体形态。

Endosomal RFFL ubiquitin ligase regulates mitochondrial morphology by targeting mitofusin 2.

作者信息

Narendradev Nikhil Dev, Ravindran Rishith, Jain Parul, Chaudhary Shikha, Velikkakath Anoop Kumar G, Sudharman Abyasree, Janardhanan Adithya, Nag Tapas Chandra, Yadav Subhash Chandra, Srinivasula Srinivasa Murty

机构信息

School of Biology, Indian Institute of Science Education and Research Thiruvananthapuram, Thiruvananthapuram 695551 Kerala, India.

Electron Microscope Facility, Department of Anatomy, All India Institute of Medical Sciences, 110029 New Delhi, India.

出版信息

J Cell Sci. 2025 Jun 15;138(12). doi: 10.1242/jcs.263830. Epub 2025 Jun 20.

Abstract

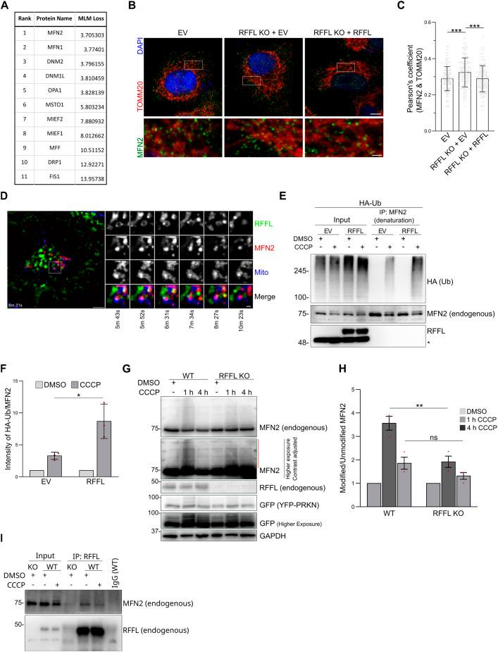
Mitochondrial homeostasis is ensured through communication between diverse cellular organelles, including mitochondria, the endoplasmic reticulum (ER), lysosomes and endosomes. Although it is known that mitofusins regulate mitochondrial networks and ER contacts, their role in endosomal-mitochondrial interactions remains unclear. Previously, we have reported that vesicles positive for the endosomal ubiquitin ligase RFFL are associated with damaged mitochondria and prime the organelle for PRKN recruitment. Now, we establish that RFFL is a ubiquitin ligase for mitofusin 2 (MFN2). Using electron microscopy and confocal imaging analyses, we demonstrate that RFFL-knockout cells exhibit enlarged mitochondrial morphology. RFFL interacts at an endogenous level with MFN2 and contributes to its ubiquitylation upon mitochondrial damage. Recombinant RFFL interacts and ubiquitylates MFN2 protein in vitro. Furthermore, exogenous RFFL, in a ligase-dependent manner, specifically reduces the exogenous protein levels of both MFN1 and MFN2, but not that of DRP1, and also perturbs lipid homeostasis. Importantly, we show that the hyperfused mitochondria morphology reported with expression of pathogenic disease mutants of MFN2 (T206I and R364W) of Charcot-Marie-Tooth disease type 2A can be rescued by RFFL co-expression. The study unravels novel mechanisms involving endosomal ubiquitin ligases in mitochondrial networks.

摘要

线粒体稳态是通过包括线粒体、内质网(ER)、溶酶体和内体在内的多种细胞器之间的通讯来确保的。尽管已知线粒体融合蛋白调节线粒体网络和内质网接触,但它们在内体 - 线粒体相互作用中的作用仍不清楚。此前,我们报道过内体泛素连接酶RFFL阳性的囊泡与受损线粒体相关,并为PRKN募集准备细胞器。现在,我们确定RFFL是线粒体融合蛋白2(MFN2)的泛素连接酶。通过电子显微镜和共聚焦成像分析,我们证明RFFL基因敲除细胞表现出线粒体形态增大。RFFL在内源水平上与MFN2相互作用,并在 mitochondrial damage时促进其泛素化。重组RFFL在体外与MFN2蛋白相互作用并使其泛素化。此外,外源性RFFL以连接酶依赖性方式特异性降低MFN1和MFN2的外源性蛋白水平,但不降低DRP1的水平,并且还扰乱脂质稳态。重要的是,我们表明,2A型夏科 - 马里 - 图斯病的MFN2致病疾病突变体(T206I和R364W)表达所报道的过度融合线粒体形态可以通过RFFL共表达来挽救。该研究揭示了涉及线粒体网络中内体泛素连接酶的新机制。

https://cdn.ncbi.nlm.nih.gov/pmc/blobs/cc1e/12211564/53f74879e785/joces-138-263830-g1.jpg

文献AI研究员

20分钟写一篇综述,助力文献阅读效率提升50倍。

立即体验

用中文搜PubMed

大模型驱动的PubMed中文搜索引擎

马上搜索

文档翻译

学术文献翻译模型,支持多种主流文档格式。

立即体验