Suppr超能文献

环状SLC22A3通过miR-19b-3p/TRAK2轴并通过降低m⁶A修饰的ACSBG1 mRNA的稳定性来抑制食管鳞癌的侵袭和转移。

CircSLC22A3 inhibits the invasion and metastasis of ESCC via the miR-19b-3p/TRAK2 axis and by reducing the stability of mA-modified ACSBG1 mRNA.

作者信息

Pan Yingjie, Yang Hang, Zhang Jiayi, Zhang Ruolan, Liu Yun, Bie Jun, Chen Qiaoling, Qiao Yan, Liu Kang, Song Guiqin

机构信息

Institute of Tissue Engineering and Stem Cell Research, The Second Clinical College of North Sichuan Medical College, Beijing Anzhen Nanchong Hospital of Capital Medical University & Nanchong Central Hospital, Nanchong, 637000, P.R. China.

Institute of Basic Medicine and Forensic Medicine, North Sichuan Medical College, Nanchong, 637100, P.R. China.

出版信息

BMC Cancer. 2025 May 30;25(1):971. doi: 10.1186/s12885-025-14390-8.

Abstract

BACKGROUND

Esophageal squamous cell carcinoma (ESCC) is a major contributor to cancer-related deaths, driven by its invasive and metastatic nature. Circular RNAs (circRNAs) are increasingly recognized as regulators of cancer progression, primarily through miRNA sponging and interactions with RNA-binding proteins. Their dysregulation has been linked to the development of in various cancers. The present study aimed to investigate the potential involvement of circSLC22A3 in the pathogenesis of ESCC.

METHODS

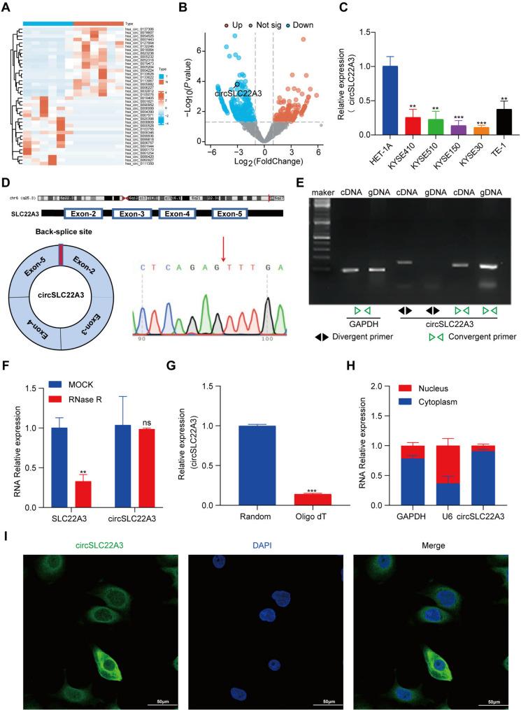
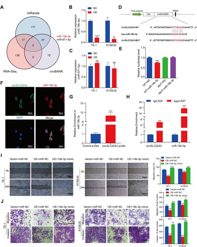
CircSLC22A3 expression in ESCC tissues and cells was analyzed using transcriptome sequencing and RT-qPCR. Its circular structure was validated through Sanger sequencing, agarose gel electrophoresis, RNase R digestion, and random priming assays. Subcellular localization was determined by nucleoplasmic separation and fluorescence in situ hybridization (FISH). Clinical correlations were assessed via tissue microarrays. Functional roles of circSLC22A3 in ESCC progression were investigated through in vitro and in vivo assays. Downstream miR-19b-3p and target gene TRAK2 were screened by bioinformatics analysis and RT-qPCR, with binding confirmed via luciferase reporter assays. RNA pulldown combined with RNA immunoprecipitation (RIP) identified IGF2BP1 as a circSLC22A3-interacting protein. RNA-seq and RT-qPCR revealed ACSBG1 as a key downstream effector. IGF2BP1-mediated mA modification of ACSBG1 was mapped by MeRIP-seq and RIP, with mRNA stability assessed via Actinomycin D assay. ACSBG1 expression and biological function in ESCC were confirmed by immunohistochemistry, RT-qPCR, and functional assays.

RESULTS

Significant downregulation of circSLC22A3 was observed in both ESCC tissues and cell lines. Overexpression of circSLC22A3 significantly reduced ESCC cells' migration and invasion capabilities. Mechanistic investigation revealed that circSLC22A3 played a pivotal role in the invasion and metastasis of esophageal cancer through distinct pathways. On one hand, circSLC22A3 functioned as a miR-19b-3p sponge to augment trafficking kinesin protein 2 (TRAK2) expression, while, on the other hand, circSLC22A3 formed a protein-RNA complex with IGF2BP1, resulting in the degradation of acyl-CoA synthetase bubblegum family member 1 (ACSBG1) mRNA through the recognition of mA modification, thereby suppressing invasion and metastasis of ESCC.

CONCLUSIONS

The present study identified circSLC22A3 as a new tumor suppressor that inhibited ESCC progression through both the circSLC22A3/ miR-19b-3p/ TRAK2 and circSLC22A3/ IGF2BP1/ ACSBG1 axes.

摘要

背景

食管鳞状细胞癌(ESCC)因其侵袭性和转移性,是癌症相关死亡的主要原因。环状RNA(circRNAs)越来越被认为是癌症进展的调节因子,主要通过充当微小RNA(miRNA)海绵以及与RNA结合蛋白相互作用来发挥作用。它们的失调与多种癌症的发生发展有关。本研究旨在探讨circSLC22A3在ESCC发病机制中的潜在作用。

方法

使用转录组测序和逆转录定量聚合酶链反应(RT-qPCR)分析ESCC组织和细胞中circSLC22A3的表达。通过桑格测序、琼脂糖凝胶电泳、核糖核酸酶R消化和随机引物分析验证其环状结构。通过核质分离和荧光原位杂交(FISH)确定亚细胞定位。通过组织芯片评估临床相关性。通过体外和体内实验研究circSLC22A3在ESCC进展中的功能作用。通过生物信息学分析和RT-qPCR筛选下游miR-19b-3p和靶基因TRAK2,并通过荧光素酶报告基因实验确认结合情况。RNA下拉结合RNA免疫沉淀(RIP)确定胰岛素样生长因子2 mRNA结合蛋白1(IGF2BP1)为与circSLC22A3相互作用的蛋白。RNA测序(RNA-seq)和RT-qPCR显示酰基辅酶A合成酶泡泡糖家族成员1(ACSBG1)是关键的下游效应分子。通过甲基化RNA免疫沉淀测序(MeRIP-seq)和RIP绘制IGF2BP1介导的ACSBG1的N6-甲基腺苷(m6A)修饰图谱,并通过放线菌素D实验评估mRNA稳定性。通过免疫组织化学、RT-qPCR和功能实验证实ACSBG1在ESCC中的表达及其生物学功能。

结果

在ESCC组织和细胞系中均观察到circSLC22A3明显下调。circSLC22A3的过表达显著降低了ESCC细胞的迁移和侵袭能力。机制研究表明,circSLC22A3通过不同途径在食管癌的侵袭和转移中起关键作用。一方面,circSLC22A3充当miR-19b-3p海绵以增加运输驱动蛋白2(TRAK2)的表达,另一方面,circSLC22A3与IGF2BP1形成蛋白质-RNA复合物,通过识别m6A修饰导致ACSBG1 mRNA降解,从而抑制ESCC的侵袭和转移。

结论

本研究确定circSLC22A3是一种新的肿瘤抑制因子,其通过circSLC22A3/miR-19b-3p/TRAK2和circSLC22A3/IGF2BP1/ACSBG1轴抑制ESCC进展。

https://cdn.ncbi.nlm.nih.gov/pmc/blobs/4e1e/12125856/7fc273ec0a3e/12885_2025_14390_Fig1_HTML.jpg

文献AI研究员

20分钟写一篇综述,助力文献阅读效率提升50倍。

立即体验

用中文搜PubMed

大模型驱动的PubMed中文搜索引擎

马上搜索

文档翻译

学术文献翻译模型,支持多种主流文档格式。

立即体验