Suppr超能文献

乳糜泻罕见并发症的不寻常部位

Unusual Location of a Rare Complication of Celiac Disease.

作者信息

Lima Capela Tiago, Ferreira Ana Isabel, Cúrdia Gonçalves Tiago, Magalhães Joana, Rosa Bruno, Cotter José

机构信息

Gastroenterology Department, Unidade Local de Saúde do Alto Ave, Guimaraes, Portugal.

Life and Health Sciences Research Institute (ICVS), School of Medicine, University of Minho, Braga, Portugal.

出版信息

GE Port J Gastroenterol. 2024 Oct 11;32(3):197-204. doi: 10.1159/000541310. eCollection 2025 Jun.

Abstract

INTRODUCTION

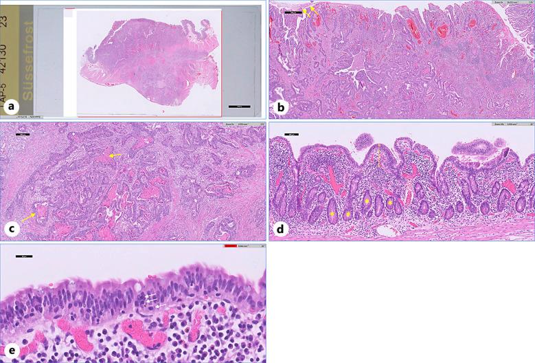
Celiac disease has been associated with gastrointestinal malignancies, most commonly gastrointestinal lymphoma. Nevertheless, rarer malignancies have also been reported, such as small bowel adenocarcinoma, mainly located in the duodenum or jejunum.

CASE PRESENTATION

We report a case of a female patient with celiac disease with poor adherence to a gluten-free diet who presented with small bowel obstruction due to a primary ileal adenocarcinoma. The patient remains asymptomatic, adherent to the gluten-free diet, and without clinical, biochemical, or imaging evidence of cancer recurrence.

DISCUSSION/CONCLUSION: This case should raise awareness about the importance of the gluten-free diet and the early diagnosis and appropriate management of rare small bowel malignant complications of celiac disease, namely, adenocarcinoma.

摘要

引言

乳糜泻与胃肠道恶性肿瘤有关,最常见的是胃肠道淋巴瘤。然而,也有报道称存在较罕见的恶性肿瘤,如主要位于十二指肠或空肠的小肠腺癌。

病例报告

我们报告一例患有乳糜泻且不严格遵守无麸质饮食的女性患者,该患者因原发性回肠腺癌出现小肠梗阻。患者目前无症状,坚持无麸质饮食,且无癌症复发的临床、生化或影像学证据。

讨论/结论:该病例应提高人们对无麸质饮食重要性的认识,以及对乳糜泻罕见的小肠恶性并发症(即腺癌)进行早期诊断和适当管理的认识。

https://cdn.ncbi.nlm.nih.gov/pmc/blobs/a0b2/12133128/027c101bd55a/pjg-2025-0032-0003-541310_F01.jpg

文献AI研究员

20分钟写一篇综述,助力文献阅读效率提升50倍。

立即体验

用中文搜PubMed

大模型驱动的PubMed中文搜索引擎

马上搜索

文档翻译

学术文献翻译模型,支持多种主流文档格式。

立即体验