Suppr超能文献

索马里摩加迪沙的足菌肿流行病学及临床发现

Mycetoma Epidemiology and Clinical Findings in Mogadishu, Somalia.

作者信息

Doğan Ahmet, Adan Fadumo Nur, Ali Tigad Abdisad, Çelik Ali Kutta, Ali Ahmed Mohamed

机构信息

Department of Infectious Diseases and Clinical Microbiology, Abant İzzet Baysal University Faculty of Medicine, Bolu, Turkey.

Department of Infectious Diseases and Clinical Microbiology, Mogadishu-Somalia-Turkey Recep Tayyip Erdoğan Training and Research Hospital, Mogadishu, Somalia.

出版信息

J Trop Med. 2025 May 28;2025:8864108. doi: 10.1155/jotm/8864108. eCollection 2025.

Abstract

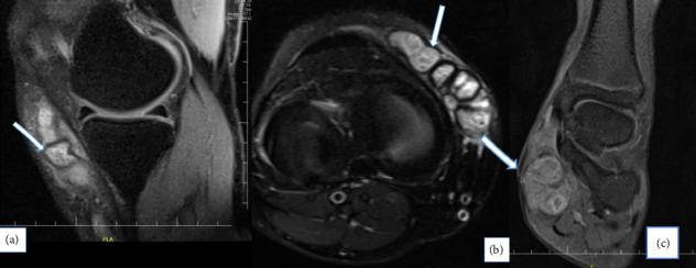
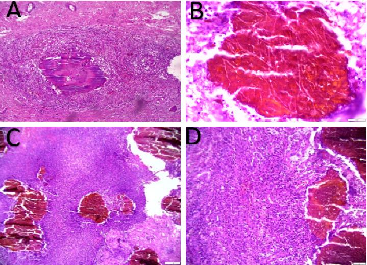
Mycetoma is a public health problem with a high prevalence in Africa. The study included 50 cases presenting at a tertiary care research hospital, retrospectively (cases we visited and followed up between November 2022 and March 2023) and prospectively between 1 August and 30 September 2024. Demographic characteristics, clinical features, physical examination findings, and diagnostic methods were reported. Out of 50 patients, 76% were male and 24% were female. The mean age (mean ± SD) of all cases was 35.50 ± 15.14. The most affected occupational group was farmers (44%). All patients presented with complaints of swelling. Symptoms continued for > 1-5 years in about 30 percent of cases. The diagnosis was made by pathological biopsy in 62% of the cases. The lower extremities were most commonly affected (80%), and subcutaneous soft tissue and muscle involvement was also commonly encountered. Bone involvement was higher in eumycetoma cases as compared to actinomycetoma. The frequency of myçetoma cases, which can involve all parts of the lower extremities, was determined, especially in Somali farmers. Difficulties in diagnosis and follow-up were analyzed.

摘要

足菌肿是一个在非洲高发的公共卫生问题。该研究纳入了一家三级医疗研究医院的50例病例,回顾性研究(2022年11月至2023年3月期间我们诊治和随访的病例)以及前瞻性研究(2024年8月1日至9月30日)。报告了人口统计学特征、临床特征、体格检查结果和诊断方法。50例患者中,76%为男性,24%为女性。所有病例的平均年龄(均值±标准差)为35.50±15.14。受影响最严重的职业群体是农民(44%)。所有患者均有肿胀主诉。约30%的病例症状持续超过1至5年。62%的病例通过病理活检确诊。下肢最常受累(80%),皮下软组织和肌肉受累也很常见。与放线菌性足菌肿相比,真菌性足菌肿病例的骨受累情况更严重。确定了足菌肿病例的发病频率,其可累及下肢的所有部位,尤其是索马里农民。分析了诊断和随访中的困难。

https://cdn.ncbi.nlm.nih.gov/pmc/blobs/f890/12136858/cea9bd08e7c4/JTM2025-8864108.001.jpg

文献AI研究员

20分钟写一篇综述,助力文献阅读效率提升50倍。

立即体验

用中文搜PubMed

大模型驱动的PubMed中文搜索引擎

马上搜索

文档翻译

学术文献翻译模型,支持多种主流文档格式。

立即体验