Suppr超能文献

房水液体活检以排除眼内肿块儿童的视网膜母细胞瘤

Aqueous Humor Liquid Biopsy to Exclude Retinoblastoma for a Child with an Intraocular Mass.

作者信息

Nelson Andrew J, Park Susanna, Nelson Marvin D, Berry Jesse L

机构信息

Department of Ophthalmology and Vision Science, University of California Davis, Sacramento, CA, USA.

Department of Radiology, Children's Hospital Los Angeles, Los Angeles, CA, USA.

出版信息

Case Rep Ophthalmol. 2025 Apr 21;16(1):366-371. doi: 10.1159/000545924. eCollection 2025 Jan-Dec.

Abstract

INTRODUCTION

Intraocular masses in children may present diagnostic dilemmas when clinical examination and imaging are insufficient to diagnose or exclude retinoblastoma. Furthermore, direct biopsy is contraindicated because of the risk of tumor seeding in retinoblastoma. Recent research has shown that aqueous humor biopsy is a safe method of obtaining cell-free DNA which can be used to diagnose retinoblastoma with high sensitivity and specificity, which provides a significant benefit in cases when the diagnosis is otherwise unclear.

CASE PRESENTATION

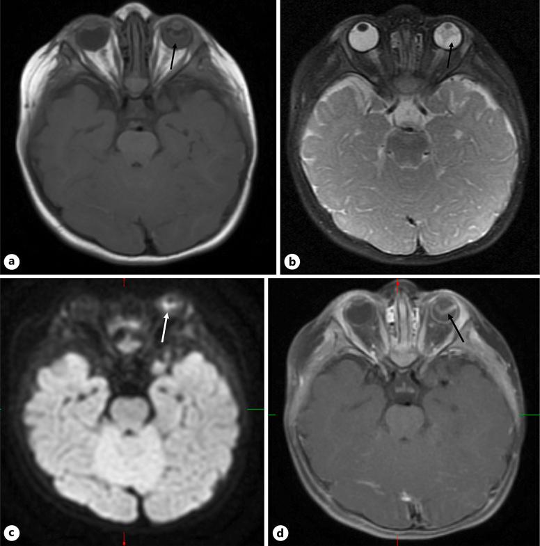
An 11-month-old female presented with poor visual behavior since birth and an intraocular mass in the left eye. Examination under anesthesia revealed a detached retina rolled into a stalk attached to the optic nerve in the right eye and a white retrolental mass with perfused vessels in the left eye. Magnetic resonance imaging demonstrated a heterogeneous mass filling the left globe with diffusion restriction and contract enhancement. Aqueous humor liquid biopsy was performed in both eyes with low DNA yield and no mutations associated with retinoblastoma were identified. The patient was observed with no interval change in examination for 6 months.

CONCLUSION

Aqueous humor liquid biopsy can be used to exclude a diagnosis of retinoblastoma in cases of pediatric intraocular mass with uncertain diagnosis.

摘要

引言

当临床检查和影像学检查不足以诊断或排除视网膜母细胞瘤时,儿童眼内肿物可能会带来诊断难题。此外,由于视网膜母细胞瘤存在肿瘤播散风险,直接活检是禁忌的。最近的研究表明,房水活检是一种获取游离DNA的安全方法,可用于以高灵敏度和特异性诊断视网膜母细胞瘤,这在诊断不明的情况下具有显著优势。

病例介绍

一名11个月大的女性自出生以来视力行为不佳,左眼有眼内肿物。麻醉下检查发现右眼视网膜脱离并卷成附着于视神经的蒂,左眼有一个有血管灌注的白色晶状体后肿物。磁共振成像显示一个异质性肿物充满左眼球,有弥散受限和强化。对双眼进行了房水液体活检,DNA产量低,未发现与视网膜母细胞瘤相关的突变。对该患者进行了观察,6个月内检查无间隔变化。

结论

房水液体活检可用于排除诊断不明确的小儿眼内肿物病例中的视网膜母细胞瘤诊断。

https://cdn.ncbi.nlm.nih.gov/pmc/blobs/44b6/12136566/a80ab66244e5/cop-2025-0016-0001-545924_F01.jpg

文献AI研究员

20分钟写一篇综述,助力文献阅读效率提升50倍。

立即体验

用中文搜PubMed

大模型驱动的PubMed中文搜索引擎

马上搜索

文档翻译

学术文献翻译模型,支持多种主流文档格式。

立即体验