Suppr超能文献

68Ga-PSMA、68Ga-FAPI和18F-FDG PET/CT显像的前列腺黏液腺癌的特征

The Characteristics of Prostate Mucinous Adenocarcinoma Visualized by 68 Ga-PSMA, 68 Ga-FAPI, and 18 F-FDG PET/CT.

作者信息

Sun Zhuxu, Jiang Xi, Fu Guangbo, Sun Suan, Tao Weijing

机构信息

Departments of Nuclear Medicine.

Urology.

出版信息

Clin Nucl Med. 2025 Aug 1;50(8):743-745. doi: 10.1097/RLU.0000000000006004. Epub 2025 Jun 5.

Abstract

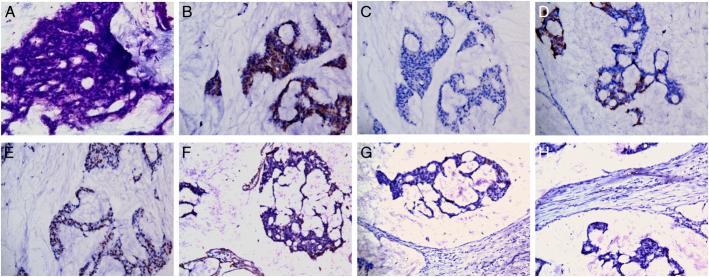
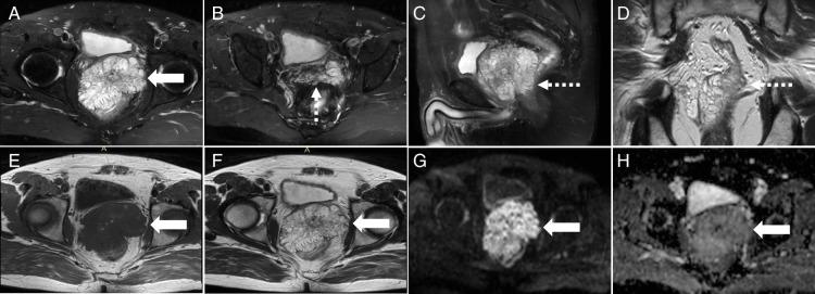
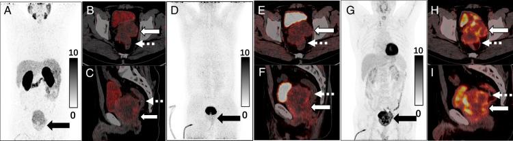
Primary prostate mucinous adenocarcinoma is an exceedingly rare entity with distinct imaging characteristics. We report the case of a 62-year-old man with biopsy-proven prostate mucinous adenocarcinoma. The patient underwent MRI and multi-tracer PET/CT. PET/CT images demonstrated the prostate lesion with moderate uptake of 68 Ga-PSMA and 68 Ga-FAPI, yet significantly high 18 F-FDG uptake. No abnormal radiotracers' uptake was observed elsewhere in the body. Multi-tracer PET/CT findings suggest that 18 F-FDG may be a more suitable radiotracer for the systemic assessment of primary prostate mucinous adenocarcinoma.

摘要

原发性前列腺黏液腺癌是一种极为罕见的疾病,具有独特的影像学特征。我们报告一例经活检证实为前列腺黏液腺癌的62岁男性病例。该患者接受了MRI和多示踪剂PET/CT检查。PET/CT图像显示前列腺病变对68Ga-PSMA和68Ga-FAPI有中度摄取,但18F-FDG摄取显著增高。身体其他部位未观察到放射性示踪剂的异常摄取。多示踪剂PET/CT检查结果表明,18F-FDG可能是对原发性前列腺黏液腺癌进行全身评估更合适的放射性示踪剂。

https://cdn.ncbi.nlm.nih.gov/pmc/blobs/34c4/12208395/c97f3b36ea1a/rlu-50-743-g001.jpg

文献AI研究员

20分钟写一篇综述,助力文献阅读效率提升50倍。

立即体验

用中文搜PubMed

大模型驱动的PubMed中文搜索引擎

马上搜索

文档翻译

学术文献翻译模型,支持多种主流文档格式。

立即体验