Suppr超能文献

如何区分原发性卵巢黏液性肿瘤与源自原发性阑尾黏液性肿瘤的卵巢转移瘤:综述

How to differentiate primary mucinous ovarian tumors from ovarian metastases originating from primary appendiceal mucinous neoplasms: a review.

作者信息

Kawecka Weronika, Pasnik Iwona, Adamiak-Godlewska Aneta, Semczuk Marek, Tyczynska Magdalena, Semczuk Andrzej

机构信息

IInd Department of Gynecological Surgery and Gynecological Oncology, Lublin Medical University, Lublin, Poland.

Student's Research Group at the IInd Department of Gynecological Surgery and Gynecological Oncology, Lublin Medical University, Lublin, Poland.

出版信息

Pathol Oncol Res. 2025 May 12;31:1612066. doi: 10.3389/pore.2025.1612066. eCollection 2025.

Abstract

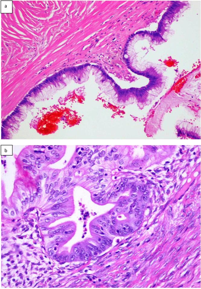
The accurate distinction between primary and secondary mucinous ovarian cancers is a crucial tool for effective surgical and systematic treatment. Mucinous ovarian metastases of appendiceal origin are a special group of tumors because they appear even in half of female patients with primary appendiceal mucinous carcinomas and demonstrate pathological similarity to primary ovarian mucinous neoplasms. The current literature review focuses on the differences based on pre-operative symptoms, radiological findings, the spectrum of microscopic features, and the significance of the immunophenotype of each tumor. Treatment options, including surgical management and adjuvant chemotherapy protocols, are also briefly overviewed. In conclusion, the source of the ovarian tumor mass might be suggested by preoperative symptoms, values of antigens, and imaging findings. However, the confirmation of the tumor origin is only made after the postoperative pathological examination. Investigating the most accurate immunohistochemical markers and new molecular features may improve diagnostic efficiency in future research.

摘要

准确区分原发性和继发性黏液性卵巢癌是有效进行手术和系统治疗的关键手段。阑尾来源的黏液性卵巢转移瘤是一类特殊的肿瘤,因为它们在半数原发性阑尾黏液性癌女性患者中都会出现,并且在病理上与原发性卵巢黏液性肿瘤相似。当前的文献综述聚焦于基于术前症状、影像学表现、微观特征谱以及每种肿瘤免疫表型的意义所存在的差异。还简要概述了包括手术管理和辅助化疗方案在内的治疗选择。总之,术前症状、抗原值和影像学表现可能提示卵巢肿瘤块的来源。然而,肿瘤起源的确认仅在术后病理检查后才能做出。研究最准确的免疫组化标志物和新的分子特征可能会在未来研究中提高诊断效率。

https://cdn.ncbi.nlm.nih.gov/pmc/blobs/6469/12138789/26bfefddb0f3/pore-31-1612066-g001.jpg

文献AI研究员

20分钟写一篇综述,助力文献阅读效率提升50倍。

立即体验

用中文搜PubMed

大模型驱动的PubMed中文搜索引擎

马上搜索

文档翻译

学术文献翻译模型,支持多种主流文档格式。

立即体验