Suppr超能文献

揭示间充质干细胞胞外囊泡的潜力:miR-122-5p通过自噬机制促进骨关节炎中软骨细胞的再生

Unveiling the potential of MSC extracellular vesicles: MiR-122-5p enhancing chondrocyte regeneration in osteoarthritis via autophagy mechanism.

作者信息

Zhang Haifeng, Yang Yanmeng, Wu Yingnan, Denslin Vinitha, Koh Yi Wei Justin, Liu Ling, Zhuo Wenhai, Lam Wing Moon Raymond, Yu Yinxian, Hui James Hoi Po, Yang Zheng

机构信息

Department of Orthopedic Surgery, Yong Loo Lin School of Medicine, National University of Singapore, Singapore, Singapore.

NUS Tissue Engineering Program, Life Sciences Institute, National University of Singapore, 27 Medical Drive, DSO (Kent Ridge) Building, level 4, Singapore, 117510, Singapore.

出版信息

Stem Cell Res Ther. 2025 Jun 7;16(1):289. doi: 10.1186/s13287-025-04412-4.

Abstract

BACKGROUND

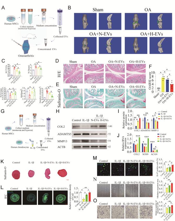
Osteoarthritis (OA) is one of the most prevalent degenerative joint diseases, while the mechanism by which extracellular vesicles (EVs) promote chondrocyte regeneration remains unclear. The study assessed the effect of hypoxic mesenchymal stem cells (MSCs)-derived EVs on cartilage repair in a rat OA model.

METHODS

The effects of EVs on chondrocyte regeneration and autophagy were evaluated in vitro. The influence of specific micro RNA (miRNA) and downstream target genes was examined following EV miRNA sequencing and multiple intersecting database analysis.

RESULTS

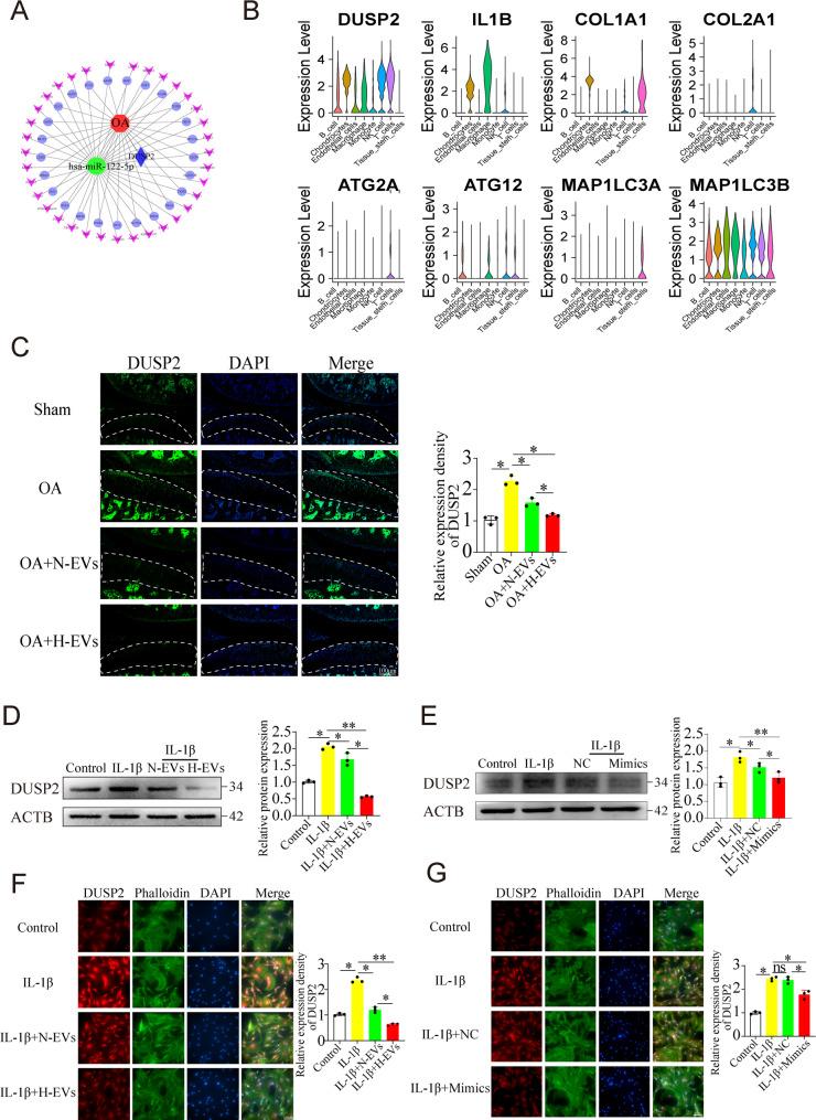
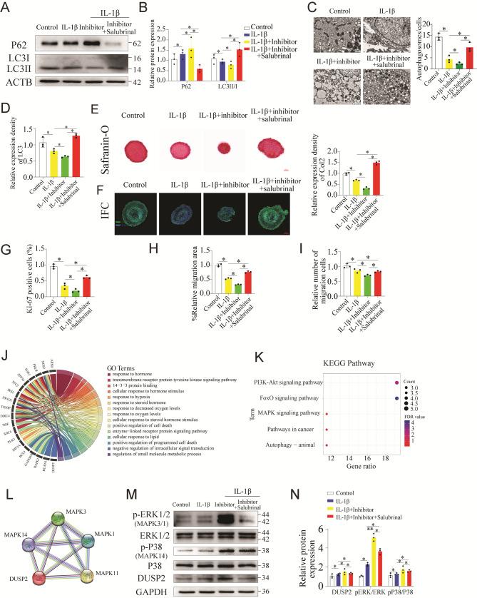
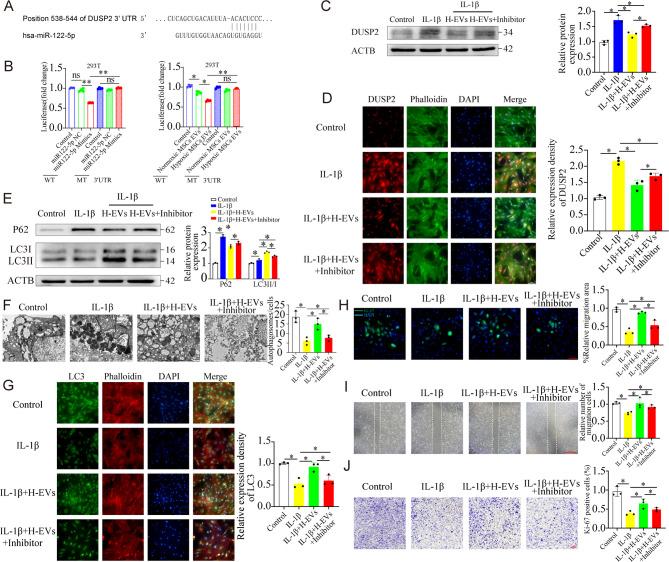
We found EVs derived from hypoxia preconditioned human MSCs to promote cartilage repair in rat OA and enhance the proliferation and migration of chondrocytes in vitro, mediated via chondrocyte autophagy. MiRNA sequencing revealed a significant enrichment of miRNA122-5p in hypoxic MSCs EV, which through regulation of the target gene, , mediated autophagy and participated in chondrocyte regeneration. DUSP2 regulation of chondrocyte autophagy could act via the phosphorylation of ERK1/2 and P38.

CONCLUSIONS

This study demonstrates that EVs released by MSCs under hypoxic conditions have a beneficial effect on chondrocyte regeneration. A novel mechanism for chondrocyte autophagy is mediated by miR122-5P and DUSP2 target molecules, providing new insights into OA treatments.

SUPPLEMENTARY INFORMATION

The online version contains supplementary material available at 10.1186/s13287-025-04412-4.

摘要

背景

骨关节炎(OA)是最常见的退行性关节疾病之一,而细胞外囊泡(EVs)促进软骨细胞再生的机制尚不清楚。本研究评估了缺氧间充质干细胞(MSCs)来源的细胞外囊泡对大鼠骨关节炎模型软骨修复的影响。

方法

在体外评估细胞外囊泡对软骨细胞再生和自噬的影响。通过细胞外囊泡微小RNA(miRNA)测序和多个交叉数据库分析,检测特定miRNA及其下游靶基因的影响。

结果

我们发现缺氧预处理的人骨髓间充质干细胞来源的细胞外囊泡可促进大鼠骨关节炎模型的软骨修复,并在体外增强软骨细胞的增殖和迁移,这是通过软骨细胞自噬介导的。miRNA测序显示缺氧骨髓间充质干细胞来源的细胞外囊泡中miRNA122-5p显著富集,其通过调节靶基因,介导自噬并参与软骨细胞再生。双特异性磷酸酶2(DUSP2)对软骨细胞自噬的调节可通过细胞外信号调节激酶1/2(ERK1/2)和p38的磷酸化来实现。

结论

本研究表明,缺氧条件下骨髓间充质干细胞释放的细胞外囊泡对软骨细胞再生具有有益作用。一种由miR122-5P和DUSP2靶分子介导的软骨细胞自噬新机制,为骨关节炎的治疗提供了新的见解。

补充信息

在线版本包含可在10.1186/s13287-025-04412-4获取的补充材料。

https://cdn.ncbi.nlm.nih.gov/pmc/blobs/cced/12145651/7799d84fc921/13287_2025_4412_Fig1_HTML.jpg

文献AI研究员

20分钟写一篇综述,助力文献阅读效率提升50倍。

立即体验

用中文搜PubMed

大模型驱动的PubMed中文搜索引擎

马上搜索

文档翻译

学术文献翻译模型,支持多种主流文档格式。

立即体验