Suppr超能文献

足球运动员应力性骨折的风险因素:一项系统综述。

Stress fracture risk factors in soccer players: A systematic review.

作者信息

Hoveidaei Amir Human, Menbari Oskouie Iman, Karbasi Shima, Eghdami Shayan, Hosseini-Asl Seyed Hossein, Nakhostin-Ansari Amin, Forogh Bijan, Cham Masumeh Bagherzadeh, Conway Janet D

机构信息

Department of Physical Medicine and Rehabilitation, School of Medicine, Iran University of Medical Sciences, Tehran, Iran.

International Center for Limb Lengthening, Rubin Institute for Advanced Orthopedics, Sinai Hospital of Baltimore, Baltimore, Maryland, USA.

出版信息

Ann Med Surg (Lond). 2025 Apr 2;87(6):3736-3747. doi: 10.1097/MS9.0000000000003136. eCollection 2025 Jun.

Abstract

BACKGROUND

This study conducted a systematic review to evaluate stress fracture risk factors in soccer players, aiming to enhance injury prevention strategies.

METHODS

We conducted a systematic review following Preferred Reporting Items for Systematic Reviews and Meta-Analyses guidelines, focusing on professional soccer players. Database searches (Medline, Scopus, CENTRAL, Embase, and Web of Science) used predefined terms in November 2024. Bias assessment employed Joanna Briggs Institute Meta-Analysis of Statistics Assessment and Review Instrument tools, and descriptive synthesis was used due to limited meta-analyzable data.

RESULTS

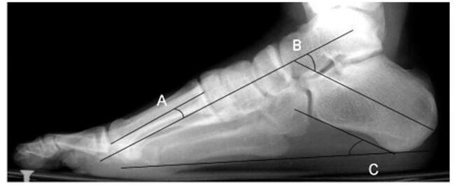
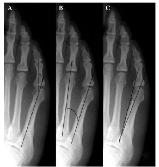
Our systematic review analyzed 26 studies with 8514 participants. Young age was a risk factor in four studies, and female gender in one. High body mass index, increased training hours, competitions, and intense preseason training also raised risk. Anatomical factors included lower calcaneal pitch angle, wider medial malleolar slip angle, higher Talocalcaneal angle, and lower limb varus malalignment. Stress fractures were higher among midfielders in one study, while two others found no positional differences. Additional risks were elevated parathyroid hormone, higher bone-specific alkaline phosphatase, lower 25OH levels, fasting, and perceived stress from negative life events.

CONCLUSIONS

Soccer players face a heightened risk of stress fractures due to the repetitive forces involved in the sport, a significant concern given its global popularity. Although this review identified several risk factors, ongoing controversies remain, primarily due to the limited number of studies and the complex, multifactorial nature of stress fractures.

摘要

背景

本研究进行了一项系统评价,以评估足球运动员应力性骨折的风险因素,旨在加强损伤预防策略。

方法

我们按照系统评价和Meta分析的首选报告项目指南进行了一项系统评价,重点关注职业足球运动员。2024年11月使用预定义术语在数据库(Medline、Scopus、CENTRAL、Embase和Web of Science)中进行检索。采用乔安娜·布里格斯研究所统计评估和综述工具进行偏倚评估,由于可进行Meta分析的数据有限,故采用描述性综合分析。

结果

我们的系统评价分析了26项研究,涉及8514名参与者。四项研究表明年龄小是一个风险因素,一项研究表明女性是风险因素。高体重指数、训练时间增加、比赛次数和季前强化训练也会增加风险。解剖学因素包括跟骨倾斜角较低、内踝滑动角较宽、距跟角较高以及下肢内翻畸形。一项研究表明中场球员应力性骨折发生率较高,而另外两项研究未发现位置差异。其他风险因素包括甲状旁腺激素升高、骨特异性碱性磷酸酶水平较高、25OH水平较低、禁食以及负面生活事件带来的感知压力。

结论

由于足球运动中涉及的重复性力量,足球运动员面临应力性骨折的风险较高,鉴于其在全球的受欢迎程度,这是一个重大问题。尽管本综述确定了几个风险因素,但争议仍然存在,主要原因是研究数量有限以及应力性骨折的性质复杂、具有多因素性。

https://cdn.ncbi.nlm.nih.gov/pmc/blobs/2f2d/12140768/85189338bfa9/ms9-87-3736-g001.jpg

文献AI研究员

20分钟写一篇综述,助力文献阅读效率提升50倍。

立即体验

用中文搜PubMed

大模型驱动的PubMed中文搜索引擎

马上搜索

文档翻译

学术文献翻译模型,支持多种主流文档格式。

立即体验