Suppr超能文献

肠道淋巴脉管系统在功能上适应不同的引流区域,并会因蠕虫感染而发生改变。

Intestinal lymphatic vasculature is functionally adapted to different drainage regions and is altered by helminth infection.

作者信息

Lane Jorden I, Nieves-Ortiz Elida, Ndatabaye Ornella, Fatkhullina Aliia R, Lopez Sebastian, Dermody Terence S, Esterházy Daria

机构信息

Department of Pathology, University of Chicago, Chicago, IL, USA.

Department of Pediatrics, University of Pittsburgh School of Medicine, Pittsburgh, PA, USA.

出版信息

J Exp Med. 2025 Sep 1;222(9). doi: 10.1084/jem.20241181. Epub 2025 Jun 12.

Abstract

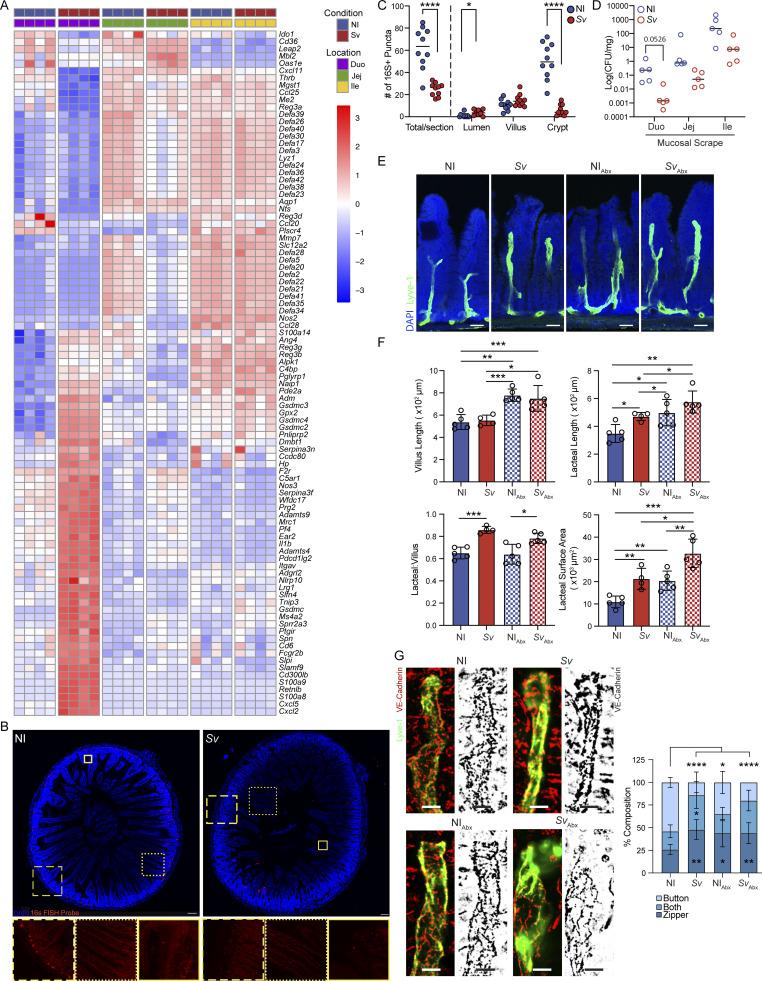
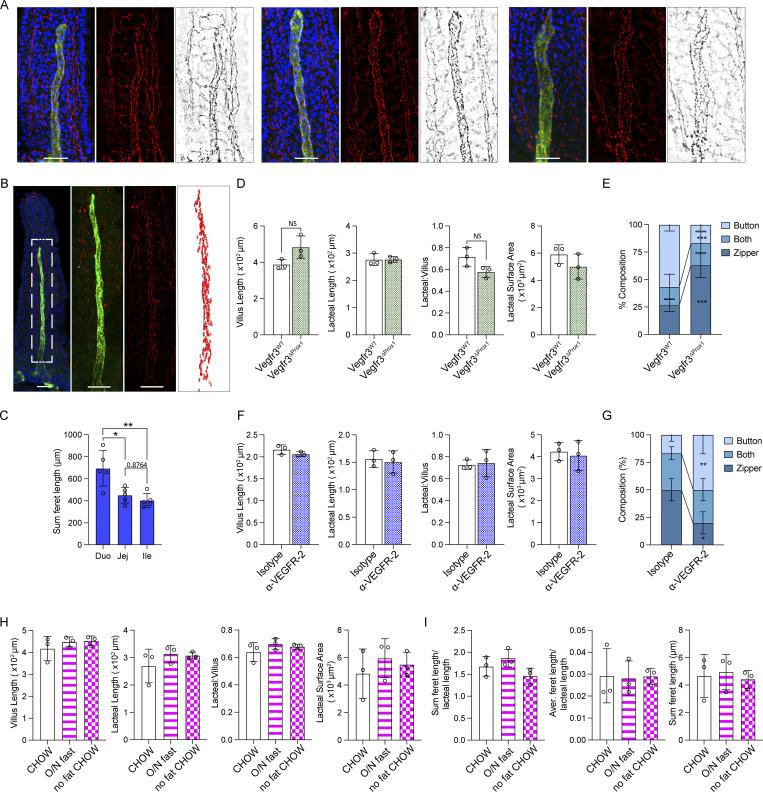
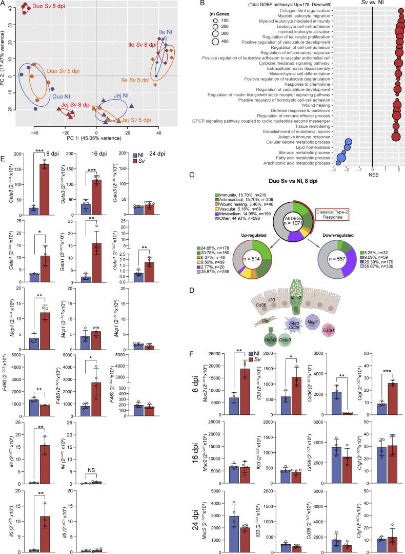
We sought to determine whether the lymphatic vasculature functionally adapts to the organ in which it resides, such as along the gut. Duodenal lymphatic capillaries (lacteals) displayed the most discontinuous tight junction composition within the gut, resulting in a dependence on duodenal lacteals for rapid dietary lipid uptake. Duodenal helminths abrogated these features. Parallel RNA sequencing of lymphatic endothelial cells and mucosa along the intestine revealed that the transcriptomes overlapped in functional profiles. RNA sequencing also identified a putative VEGFR-2/3 signaling gradient that may explain differences in lacteal tight junctions along the small intestine at homeostasis. Transcriptionally, helminth infection triggered antimicrobial and angiogenic responses. While microbial depletion acted additively to helminths on lymphatic restructuring, glucocorticoids partially reversed helminth-induced lacteal changes. This suggests helminths induce lymphangiogenesis and associated lymphatic "zippering" via inflammation. Our study uncovers and explains the superior lipid absorption by duodenal lacteals and how it is compromised by helminths and provides transcriptional insights into lymphatic function along the gut.

摘要

我们试图确定淋巴管系统是否会在功能上适应其所在的器官,比如肠道。十二指肠淋巴管(乳糜管)在肠道内具有最不连续的紧密连接结构,这导致对十二指肠乳糜管快速摄取膳食脂质存在依赖。十二指肠寄生虫消除了这些特征。对肠道沿线的淋巴管内皮细胞和黏膜进行的平行RNA测序显示,转录组在功能谱上存在重叠。RNA测序还确定了一种假定的VEGFR - 2/3信号梯度,这可能解释了稳态下小肠乳糜管紧密连接的差异。在转录水平上,寄生虫感染引发了抗菌和血管生成反应。虽然微生物耗竭在淋巴管重构方面与寄生虫起相加作用,但糖皮质激素部分逆转了寄生虫诱导的乳糜管变化。这表明寄生虫通过炎症诱导淋巴管生成及相关的淋巴管“拉链化”。我们的研究揭示并解释了十二指肠乳糜管对脂质的卓越吸收能力以及它如何受到寄生虫的损害,并提供了对肠道淋巴管功能的转录见解。

https://cdn.ncbi.nlm.nih.gov/pmc/blobs/89c0/12162095/6e94fc5f526e/jem_20241181_ga.jpg

文献AI研究员

20分钟写一篇综述,助力文献阅读效率提升50倍。

立即体验

用中文搜PubMed

大模型驱动的PubMed中文搜索引擎

马上搜索

文档翻译

学术文献翻译模型,支持多种主流文档格式。

立即体验