Suppr超能文献

利用单细胞转录组学解码缺血状态下海马亚区和神经胶质细胞的反应

Decoding hippocampal subfield and glial responses in ischemia using single-cell transcriptomics.

作者信息

Kwak Donghee, Park Ji Hyun, Kim Yun Hak, Yoo Hong Il

机构信息

Convergence Medical Sciences, Pusan National University, Yangsan, Republic of Korea.

Department of Anatomy and Neurosciences, Eulji University School of Medicine, Daejeon, 34824, Republic of Korea.

出版信息

J Transl Med. 2025 Jun 17;23(1):671. doi: 10.1186/s12967-025-06738-2.

Abstract

BACKGROUND

Stroke affects more than 12 million individuals worldwide annually, leading to lasting physical and cognitive impairments. The peri-infarct environment in the central nervous system, comprising glial and blood vessel cells, contributes to stroke progression. The hippocampal CA1 region is particularly vulnerable to ischemia, whereas the adjacent CA3-DG region exhibits different responses. Understanding the cellular and molecular alterations in these regions before and after ischemic insult can provide insights into stroke pathology and recovery mechanisms.

METHODS

We conducted single-cell RNA sequencing on Sprague-Dawley rats subjected to four-vessel occlusion (4-VO) surgery, a model of transient global cerebral ischemia, and compared them with normal control rats. Cellular composition and molecular signatures of the hippocampal CA1 and CA3-DG regions were analyzed under both ischemic and sham conditions to determine differences in glial and vascular cell responses.

RESULTS

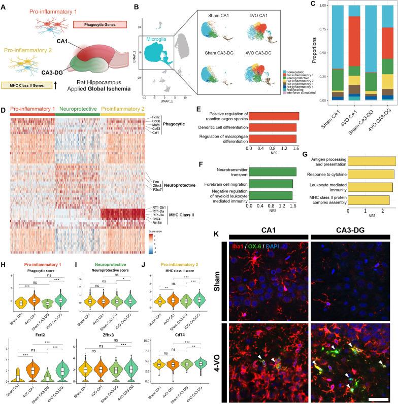
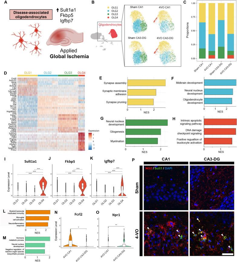
Following stroke, there was an elevation in pro-inflammatory microglial subtypes, with distinct differences in microglial pathways depending on the hippocampal region. A unique oligodendrocyte subtype emerged in the post-ischemic hippocampus that was not present under normal conditions. Astrocytes maintained clear cluster characteristics under both normal and ischemic conditions without significant differences. Additionally, the proportion of cd74-positive pericytes increased specifically in the CA3-DG subfield after the 4-VO procedure.

CONCLUSIONS

These findings highlight the diverse molecular signatures and functional differences of cells in specific hippocampal regions during global cerebral ischemia. Differences in cellular functions and composition between CA1 and CA3-DG subfields suggest that glial heterogeneity may contribute to regional differences in ischemic vulnerability. This study provides new insights into the role of glial and vascular cell populations in stroke pathology, which may inform future therapeutic strategies.

摘要

背景

中风每年在全球影响超过1200万人,导致持久的身体和认知障碍。中枢神经系统的梗死周围环境,包括神经胶质细胞和血管细胞,会促使中风进展。海马CA1区尤其易受缺血影响,而相邻的CA3-DG区则表现出不同的反应。了解缺血性损伤前后这些区域的细胞和分子变化,有助于深入了解中风病理和恢复机制。

方法

我们对接受四血管闭塞(4-VO)手术(一种短暂性全脑缺血模型)的Sprague-Dawley大鼠进行了单细胞RNA测序,并将其与正常对照大鼠进行比较。在缺血和假手术条件下分析海马CA1区和CA3-DG区的细胞组成和分子特征,以确定神经胶质细胞和血管细胞反应的差异。

结果

中风后,促炎性小胶质细胞亚型增多,根据海马区域不同,小胶质细胞途径存在明显差异。缺血后海马中出现了一种正常条件下不存在的独特少突胶质细胞亚型。星形胶质细胞在正常和缺血条件下均保持清晰的聚类特征,无显著差异。此外,4-VO手术后,cd74阳性周细胞的比例在CA3-DG子区域特异性增加。

结论

这些发现突出了全脑缺血期间特定海马区域细胞的多种分子特征和功能差异。CA1区和CA3-DG子区域之间细胞功能和组成的差异表明,神经胶质细胞的异质性可能导致缺血易感性的区域差异。本研究为神经胶质细胞和血管细胞群体在中风病理中的作用提供了新的见解,可能为未来的治疗策略提供参考。

https://cdn.ncbi.nlm.nih.gov/pmc/blobs/5242/12175379/1cb724ea45db/12967_2025_6738_Fig1_HTML.jpg

文献AI研究员

20分钟写一篇综述,助力文献阅读效率提升50倍。

立即体验

用中文搜PubMed

大模型驱动的PubMed中文搜索引擎

马上搜索

文档翻译

学术文献翻译模型,支持多种主流文档格式。

立即体验