Suppr超能文献

利用人视网膜类器官以单细胞分辨率对RAX2调控的视网膜发育进行分子分析。

Molecular analysis of RAX2-regulated retinal development using human retinal organoids at a single-cell resolution.

作者信息

Wang Shaojun, Sun Yi, Na Jie, Huang Yue, Liu Guang

机构信息

Senior Department of Ophthalmology, 3rd Medical Center of Chinese PLA General Hospital, Beijing, China.

State Key Laboratory of Common Mechanism Research for Major Disease, Institute of Basic Medical Sciences, Chinese Academy of Medical Sciences and Peking Union Medical College, Beijing, China.

出版信息

Front Cell Dev Biol. 2025 Jun 5;13:1609826. doi: 10.3389/fcell.2025.1609826. eCollection 2025.

Abstract

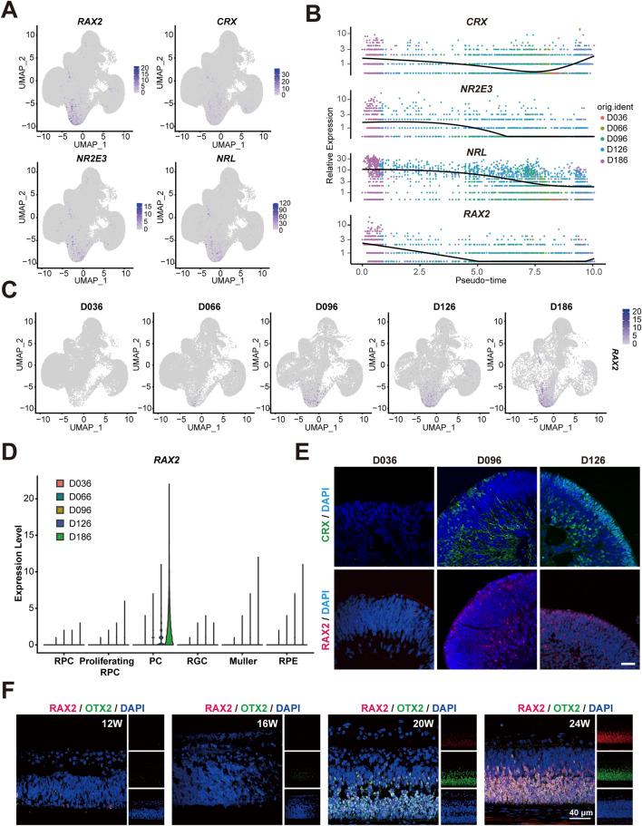
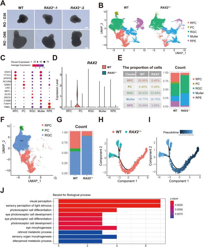
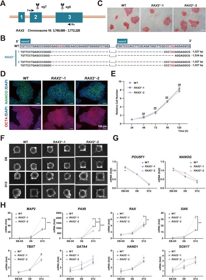
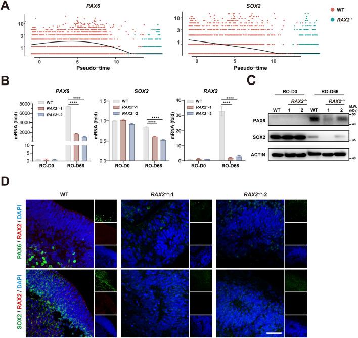
Human embryonic stem cells (hESC)-derived retinal organoids are sophisticated systems for dissecting the complex dynamics of human retinal development. The formation of the human retina is a precisely organized process that depends on the regulated differentiation of retinal progenitor cells; however, many of the basic mechanisms remain to be explored. Here, using hESC-derived retinal organoids, we elucidated the temporal contribution of RAX2 to retinal development, with an emphasis on photoreceptor cells (PC) formation. The results were corroborated using human fetal retinal tissue at various gestational ages. Using CRISPR/Cas9-mediated gene knockout, we delineated the essential role of RAX2 in modulating PC specifications. deficiency significantly altered the expression of and , two essential regulators of retinogenesis. Our results suggested that RAX2 is significant in retinal development, underpinning its potential as a therapeutic target in related retinal disorders.

摘要

人胚胎干细胞(hESC)来源的视网膜类器官是用于剖析人类视网膜发育复杂动态过程的精密系统。人类视网膜的形成是一个精确组织的过程,依赖于视网膜祖细胞的调控分化;然而,许多基本机制仍有待探索。在这里,我们利用hESC来源的视网膜类器官阐明了RAX2对视网膜发育的时间贡献,重点是光感受器细胞(PC)的形成。在不同胎龄的人类胎儿视网膜组织中也证实了这一结果。利用CRISPR/Cas9介导的基因敲除,我们明确了RAX2在调节PC特化中的关键作用。RAX2缺陷显著改变了视网膜生成的两个关键调节因子 和 的表达。我们的结果表明,RAX2在视网膜发育中具有重要意义,这为其作为相关视网膜疾病治疗靶点的潜力提供了支持。

https://cdn.ncbi.nlm.nih.gov/pmc/blobs/3fe8/12176875/3e90e0826e50/fcell-13-1609826-g001.jpg

文献AI研究员

20分钟写一篇综述,助力文献阅读效率提升50倍。

立即体验

用中文搜PubMed

大模型驱动的PubMed中文搜索引擎

马上搜索

文档翻译

学术文献翻译模型,支持多种主流文档格式。

立即体验