Suppr超能文献

胆囊萎缩或消失:一例报告

Contracted or Vanishing Gallbladder: A Case Report.

作者信息

Ps Karthika, Selvamuthukumaran Sundeep, Kumar Pola Govardhan, Sreedevi B V, Swarnkar Ankita

机构信息

General Surgery, Sree Balaji Medical College and Hospital, Chennai, IND.

General Surgery, Sri Ramaswamy Memorial (SRM) Medical College Hospital and Research Centre, Chennai, IND.

出版信息

Cureus. 2025 May 19;17(5):e84382. doi: 10.7759/cureus.84382. eCollection 2025 May.

Abstract

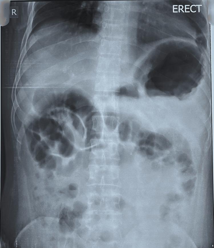
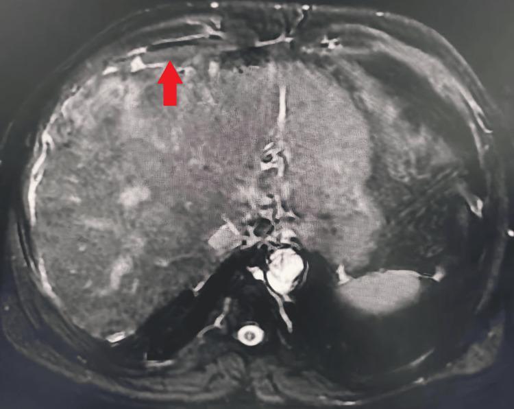
A contracted or "vanishing" gallbladder is a condition characterized by severe atrophy or fibrosis of the gallbladder, often resulting from chronic inflammation, recurrent cholecystitis, gallstone disease, or metabolic disorders such as diabetes and chronic alcohol use. The etiopathogenesis involves progressive fibrosis due to persistent biliary obstruction, chronic infection, or impaired blood flow, particularly in patients with liver cirrhosis. While the exact incidence remains unclear, it is more prevalent in individuals with long-standing hepatobiliary diseases or metabolic syndromes. Common symptoms include severe right upper quadrant pain, jaundice, nausea, vomiting, and signs of obstructive jaundice, such as dark urine and pale stools. Diagnostic investigations typically involve ultrasound, contrast-enhanced computed tomography (CECT), magnetic resonance cholangiopancreatography (MRCP), and endoscopic retrograde cholangiopancreatography (ERCP) to assess biliary obstruction, liver pathology, and gallbladder morphology. Treatment requires a multidisciplinary approach, including initial ERCP for biliary decompression, followed by surgical intervention (laparoscopic or open cholecystectomy), with conversion to open surgery often necessary due to dense adhesions and fibrosis. Postoperative care focuses on managing comorbidities, preventing complications, and long-term monitoring of liver health. This case report presents the challenging management of a 34-year-old male with a history of diabetes mellitus, chronic alcohol use, and liver cirrhosis, who presented with severe right upper quadrant pain, jaundice, and ascites. Initial evaluation revealed cholangitis, calculous cholecystitis with choledocholithiasis, and imaging findings consistent with liver cirrhosis. The patient underwent ERCP for biliary stenting and sludge extraction, followed by an attempted laparoscopic cholecystectomy. Intraoperatively, dense adhesions and fibrosis obscured the gallbladder, confirming a contracted or "vanishing" gallbladder, prompting conversion to an open procedure. The case highlights the diagnostic complexities of contracted gallbladders, which often result from chronic inflammation, fibrosis, or metabolic disorders. Preoperative imaging, including ultrasound and MRCP, played a critical role in identifying biliary obstruction and liver pathology. However, intraoperative findings necessitated adaptive surgical decision-making to mitigate risks such as bile duct injury or hemorrhage. The patient's multiple comorbidities further complicated management, emphasizing the need for a multidisciplinary approach involving gastroenterologists, surgeons, and hepatologists. Postoperative recovery was closely monitored for complications, including infection and bile leaks. The patient was discharged with follow-up care focusing on liver health, diabetes management, and alcohol cessation. This report underscores the importance of thorough preoperative assessment, flexibility in surgical technique, and collaborative care in optimizing outcomes for patients with complex gallbladder pathology. Future research should explore long-term outcomes and improved imaging techniques to enhance surgical planning for such challenging cases.

摘要

胆囊萎缩或“消失”是一种以胆囊严重萎缩或纤维化为特征的病症,通常由慢性炎症、复发性胆囊炎、胆结石病或代谢紊乱(如糖尿病和长期酗酒)引起。其发病机制涉及由于持续性胆管梗阻、慢性感染或血流受损导致的进行性纤维化,在肝硬化患者中尤为常见。虽然确切发病率尚不清楚,但在患有长期肝胆疾病或代谢综合征的个体中更为普遍。常见症状包括右上腹剧痛、黄疸、恶心、呕吐以及梗阻性黄疸的体征,如尿色深和大便色浅。诊断性检查通常包括超声、增强计算机断层扫描(CECT)、磁共振胆胰管造影(MRCP)和内镜逆行胆胰管造影(ERCP),以评估胆管梗阻、肝脏病理和胆囊形态。治疗需要多学科方法,包括首先进行ERCP以解除胆管梗阻,随后进行手术干预(腹腔镜或开腹胆囊切除术),由于致密粘连和纤维化,通常需要转为开腹手术。术后护理重点在于管理合并症、预防并发症以及对肝脏健康进行长期监测。本病例报告介绍了一名34岁男性患者的具有挑战性的治疗过程,该患者有糖尿病、长期酗酒和肝硬化病史,出现右上腹剧痛、黄疸和腹水。初步评估显示胆管炎、结石性胆囊炎伴胆总管结石,影像学检查结果与肝硬化相符。患者接受了ERCP胆管支架置入和胆泥清除,随后尝试进行腹腔镜胆囊切除术。术中,致密粘连和纤维化使胆囊难以辨认,证实为萎缩或“消失”的胆囊,促使手术转为开腹手术。该病例突出了萎缩性胆囊的诊断复杂性,这通常由慢性炎症、纤维化或代谢紊乱引起。术前影像学检查,包括超声和MRCP,在识别胆管梗阻和肝脏病理方面发挥了关键作用。然而,术中发现需要灵活的手术决策以降低胆管损伤或出血等风险。患者的多种合并症使治疗更加复杂,强调了需要胃肠病学家、外科医生和肝病学家参与的多学科方法。术后密切监测恢复情况以预防并发症,包括感染和胆漏。患者出院时接受以肝脏健康、糖尿病管理和戒酒为重点的随访护理。本报告强调了全面术前评估、手术技术灵活性以及协作护理对于优化复杂胆囊病理患者治疗效果的重要性。未来研究应探索长期预后以及改进成像技术,以加强对此类具有挑战性病例的手术规划。

https://cdn.ncbi.nlm.nih.gov/pmc/blobs/fe8f/12177432/0a762ec5599a/cureus-0017-00000084382-i01.jpg

文献AI研究员

20分钟写一篇综述,助力文献阅读效率提升50倍。

立即体验

用中文搜PubMed

大模型驱动的PubMed中文搜索引擎

马上搜索

文档翻译

学术文献翻译模型,支持多种主流文档格式。

立即体验