Suppr超能文献

近缘香茅乔夫提取物可改善地塞米松诱导的胰岛素抵抗大鼠的胰岛素敏感性及其潜在机制。

Cymbopogon proximus Chiov's extract improves insulin sensitivity in rats with dexamethasone-induced insulin resistance and underlying mechanisms.

作者信息

Hamed Amany M, Seif-Eldein Noha A, Thabet Shymaa A, Osman Ahmed S, Refaei Rasha Abdeen, Ahmed Ahmed R H, Abouelella Azza M A, El-Tantawy Walid H, Temraz Abeer, Abu El Wafa Salwa A

机构信息

Chemistry Department, Faculty of Science, Sohag University, Sohag, Egypt.

Pharmacognosy and Medicinal Plants Department, Faculty of Pharmacy for Girls, Al Azhar University, Cairo, Egypt.

出版信息

Sci Rep. 2025 Jun 20;15(1):20096. doi: 10.1038/s41598-025-02340-0.

Abstract

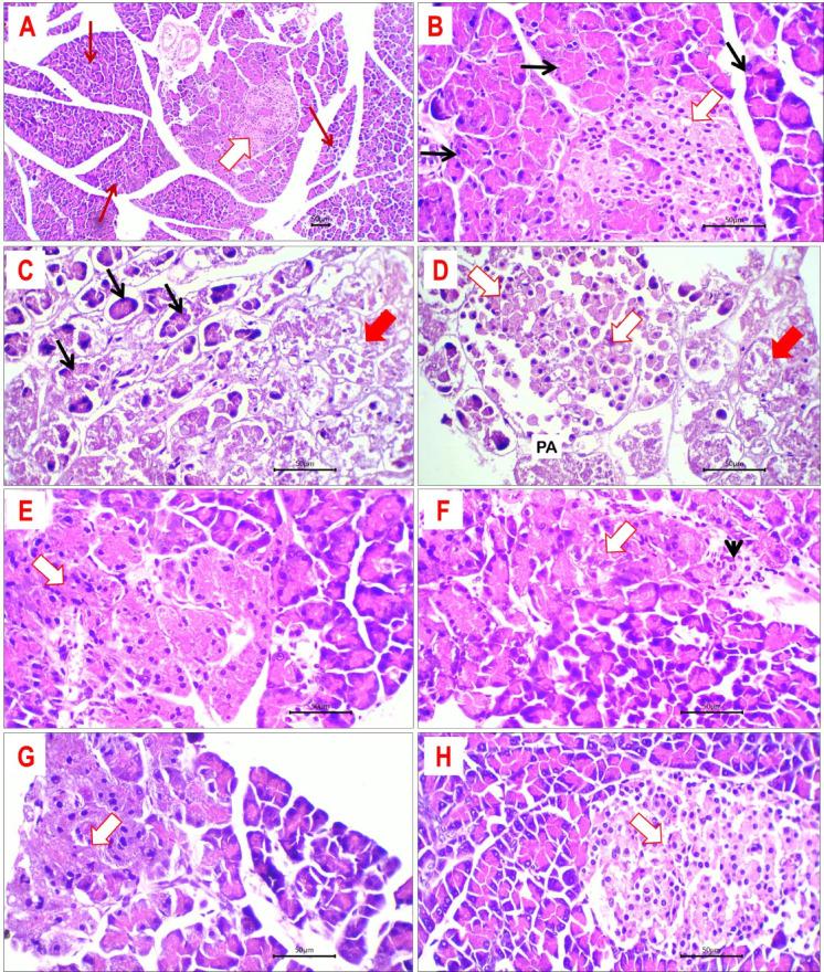
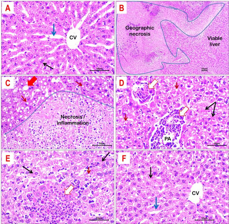
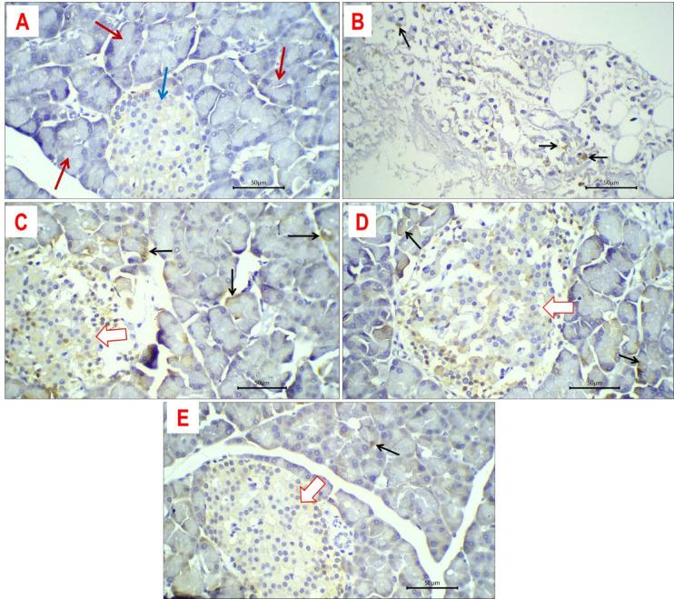
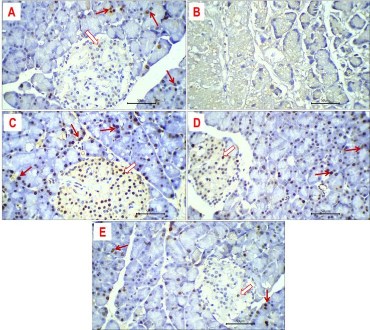
The worldwide prevalence of type 2 diabetes mellitus (T2DM) is increasing swiftly. Cymbopogon proximus (C. proximus) is a wild herbaceous plant utilized as a potent remedy in Egyptian folk medicine, sometimes referred to as "Halfabar." This study examined the hypoglycemic, hypolipidemic, and antioxidant properties of the methanolic extract from the aerial parts of C. proximus, as well as its impact on pancreatic tumour necrosis factor-α (TNF-α) and Glucose Transporter-4 (GLUT4) in skeletal muscles within an experimental model of insulin resistance. Additionally, bioactive metabolites in the extract were analyzed via liquid chromatography-mass spectrometry (LC/MS) technology. Insulin resistance was induced by administering 1 mg/kg of dexamethasone to rats over a period of 14 days. The rats received two doses of the extract: a low dose of 100 mg/kg body weight and a high dose of 200 mg/kg body weight, along with the reference drug; Metformin (M) at a dose of 40 mg/kg body weight, supplied once daily by gastric tube for 14 days. The treatment of dexamethasone led to a significant (P < 0.05) elevation in serum fasting glucose, fasting insulin, HOMA-IR, and pancreatic TNF-α, along with a significant (P < 0.05) reduction in GLUT4 expression in skeletal muscles. Both extract and reference treatments significantly (P < 0.05) mitigated these abnormalities. The highest dose of the extract exhibited a significantly (P < 0.05) greater antioxidant impact, a more pronounced reduction in insulin levels and HOMA-IR, as well as an enhanced rise in GLUT4 expression and insulin sensitivity index compared to the lowest dose and the M. Histopathological and immunohistochemical analyses corroborate the biochemical results. The LC-ESI-MS/MS profiling resulted in the characterization and tentative identification of 95 metabolites' structures. Identified substances purported to possess anti-diabetic effect include apigenin, luteolin, tricin flavone glycosides, cyanidin, malvidin anthocyanin glycosides, and caffeic acid. These findings suggest that C. proximus can mitigate insulin resistance. Additional clinical trials are necessary to validate these findings and assess the extract's effectiveness in human insulin resistance.

摘要

2型糖尿病(T2DM)在全球的患病率正在迅速上升。近缘香茅(Cymbopogon proximus)是一种野生草本植物,在埃及民间医学中被用作一种有效的药物,有时被称为“Halfabar”。本研究考察了近缘香茅地上部分甲醇提取物的降血糖、降血脂和抗氧化特性,以及在胰岛素抵抗实验模型中其对骨骼肌中胰腺肿瘤坏死因子-α(TNF-α)和葡萄糖转运蛋白4(GLUT4)的影响。此外,通过液相色谱-质谱联用(LC/MS)技术分析了提取物中的生物活性代谢物。通过给大鼠连续14天给予1mg/kg地塞米松诱导胰岛素抵抗。大鼠接受两剂提取物:低剂量为100mg/kg体重,高剂量为200mg/kg体重,同时给予参比药物;二甲双胍(M),剂量为40mg/kg体重,每天经胃管给药1次,持续14天。地塞米松治疗导致血清空腹血糖、空腹胰岛素、HOMA-IR和胰腺TNF-α显著(P<0.05)升高,同时骨骼肌中GLUT4表达显著(P<0.05)降低。提取物和参比药物治疗均显著(P<0.05)减轻了这些异常。与最低剂量和二甲双胍相比,提取物的最高剂量表现出显著(P<0.05)更强的抗氧化作用、更显著的胰岛素水平和HOMA-IR降低,以及GLUT4表达和胰岛素敏感性指数的增强升高。组织病理学和免疫组织化学分析证实了生化结果。LC-ESI-MS/MS分析鉴定并初步确定了95种代谢物的结构。鉴定出的据称具有抗糖尿病作用的物质包括芹菜素、木犀草素、小麦黄素黄酮苷、矢车菊素、锦葵色素花青素苷和咖啡酸。这些发现表明近缘香茅可以减轻胰岛素抵抗。需要进行更多的临床试验来验证这些发现,并评估该提取物对人类胰岛素抵抗的有效性。

https://cdn.ncbi.nlm.nih.gov/pmc/blobs/0f58/12181259/8dd31a9dc1c1/41598_2025_2340_Fig1_HTML.jpg

文献AI研究员

20分钟写一篇综述,助力文献阅读效率提升50倍。

立即体验

用中文搜PubMed

大模型驱动的PubMed中文搜索引擎

马上搜索

文档翻译

学术文献翻译模型,支持多种主流文档格式。

立即体验