Suppr超能文献

吉西他滨联合紫杉醇治疗的不可切除胰腺癌患者肿瘤中ABCG2蛋白的表达情况。

ABCG2 protein expression in tumors of patients with non-resectable pancreatic cancer treated with gemcitabine and -paclitaxel.

作者信息

Shim Susy, Nielsen Mette Bak, Eld Mikkel, Stenvang Jan, Brøndum Rasmus Froberg, Weber Britta, Motavaf Anne Krejbjerg, Ladekarl Morten

机构信息

Department of Oncology and Clinical Cancer Research Center, Aalborg University Hospital, Aalborg, Denmark.

Department of Clinical Medicine, Aalborg University, Aalborg, Denmark.

出版信息

Front Oncol. 2025 Jun 6;15:1558184. doi: 10.3389/fonc.2025.1558184. eCollection 2025.

Abstract

BACKGROUND

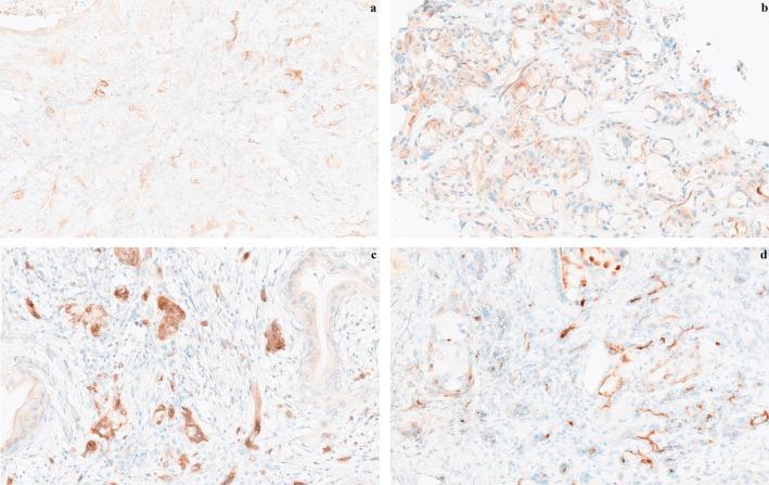
ATP-binding cassette (ABC) proteins are transmembrane efflux pumps that play a role in Multi Drug Resistance. ABCG2 and ABCB1 have been suggested as important mediators of resistance to chemotherapy (CTx) in pancreatic cancer (PC). We determined the expression of ABCG2 and ABCB1 proteins in PC and the impact of ABCG2 on outcome of treatment with gemcitabine and -paclitaxel (GemNab).

MATERIALS AND METHODS

140 patients with sufficient tissue for assessment that had initiated palliative treatment with GemNab for non-resectable PC from 2011 to 2019 were included at two institutions. From achieved tissue, new sections were cut and stained for ABCG2 and ABCB1. Staining was evaluated by consensus of maximum score by two pathologists. Progression-free survival (PFS) was the primary endpoint.

RESULTS

ABCB1 expression was observed in only one case (0.7%). ABCG2 was expressed in 33% but more frequently (50%) in specimens taken after gemcitabine-based (neo)adjuvant CTx (P=0.02). In multivariate analysis, ABCG2 expression was associated with an improved PFS (HR=0.64; 95%CI 0.43-0.94 (P=0.02)) of treatment with GemNab. Prior CTx, both in the (neo)adjuvant and palliative setting, was associated with shorter PFS of GemNab (P=0.03), and ABCG2 expression tended to correlate with improved PFS in these (P=0.07), but not in CTx-naïve patients (P=0.20). Similarly, a high ABCG2 expression was associated with improved overall survival (OS) only in patients with prior exposure to CTx (P=0.03). No associations of ABCG2 expression with CTx dosing or response rates were found.

CONCLUSION

We found indications of upregulation of ABCG2 expression in tumors of patients previously exposed to gemcitabine, and ABCG2 expression correlated with efficacy of GemNab as assessed by PFS and OS in patients previously exposed to CTx, but not in those naïve to CTx. These findings diverge from the prevailing assumption that ABCG2 confers chemoresistance and suggest that in certain contexts, ABCG2 expression may reflect tumor adaptation or selection. Given the unexpected direction of this association, our findings should be interpreted as hypothesis-generating, and further studies are needed to elucidate underlying biological mechanisms and validate ABCG2 as a potential predictive biomarker in this setting.

摘要

背景

ATP结合盒(ABC)蛋白是跨膜外排泵,在多药耐药中起作用。ABCG2和ABCB1被认为是胰腺癌(PC)化疗(CTx)耐药的重要介质。我们确定了ABCG2和ABCB1蛋白在PC中的表达以及ABCG2对吉西他滨和紫杉醇(GemNab)治疗结局的影响。

材料与方法

2011年至2019年期间,两家机构纳入了140例有足够组织进行评估且已开始用GemNab对不可切除PC进行姑息治疗的患者。从获取的组织中切取新切片,进行ABCG2和ABCB1染色。由两名病理学家通过最大评分共识对染色进行评估。无进展生存期(PFS)是主要终点。

结果

仅1例(0.7%)观察到ABCB1表达。ABCG2在33%的病例中表达,但在基于吉西他滨的(新)辅助CTx后获取的标本中表达更频繁(50%)(P = 0.02)。在多变量分析中,ABCG2表达与GemNab治疗的PFS改善相关(HR = 0.64;95%CI 0.43 - 0.94(P = 0.02))。既往CTx,无论是在(新)辅助还是姑息治疗中,均与GemNab的PFS缩短相关(P = 0.03),并且ABCG2表达在这些患者中倾向于与PFS改善相关(P = 0.07),但在未接受过CTx的患者中无此相关性(P = 0.20)。同样,仅在既往接受过CTx的患者中,高ABCG2表达与总生存期(OS)改善相关(P = 0.03)。未发现ABCG2表达与CTx剂量或缓解率之间存在关联。

结论

我们发现先前接受过吉西他滨治疗患者的肿瘤中有ABCG2表达上调的迹象,并且ABCG2表达与先前接受过CTx患者的PFS和OS评估的GemNab疗效相关,但在未接受过CTx的患者中并非如此。这些发现与ABCG2赋予化疗耐药性的普遍假设不同,表明在某些情况下,ABCG2表达可能反映肿瘤适应或选择。鉴于这种关联的意外方向,我们的发现应被解释为产生假设,需要进一步研究以阐明潜在的生物学机制并验证ABCG2作为这种情况下潜在的预测生物标志物。

https://cdn.ncbi.nlm.nih.gov/pmc/blobs/51e9/12178868/57fee232ab94/fonc-15-1558184-g001.jpg

文献AI研究员

20分钟写一篇综述,助力文献阅读效率提升50倍。

立即体验

用中文搜PubMed

大模型驱动的PubMed中文搜索引擎

马上搜索

文档翻译

学术文献翻译模型,支持多种主流文档格式。

立即体验