Suppr超能文献

免疫检查点抑制剂联合靶向治疗用于一线治疗失败后晚期肺鳞状细胞癌的长期生存:一例报告及文献综述

Immune checkpoint inhibitors combined with targeted therapy for long-term survival in advanced pulmonary squamous cell carcinoma after first-line failure: A case report and literature review.

作者信息

Ke Caiping, Li Manjie, Zhang Chunning, Huang Qiwen, Deng Yongquan, Cheng Junfen

机构信息

Department of Oncology, Unit 1, Maoming People's Hospital, Maoming, Guangdong Province, China.

The First School of Clinical Medicine, Guangdong Medical University, Zhanjiang, Guangdong Province, China.

出版信息

Medicine (Baltimore). 2025 Jun 20;104(25):e42724. doi: 10.1097/MD.0000000000042724.

Abstract

RATIONALE

Advanced squamous cell carcinoma (SCC) of the lung remains a major clinical challenge due to limited therapeutic options, particularly in the post-immunotherapy setting. Combining immune checkpoint inhibitors with small-molecule multi-targeted tyrosine kinase inhibitors that include anti-angiogenic effects offers a promising approach to overcome treatment resistance and improve survival outcomes.

PATIENT CONCERNS

A 44-year-old female with a 2-year history of recurrent cough and sputum production presented with worsening symptoms over the past month, including increased cough frequency and sputum volume. No significant systemic symptoms, such as hemoptysis or dyspnea, were reported.

DIAGNOSES

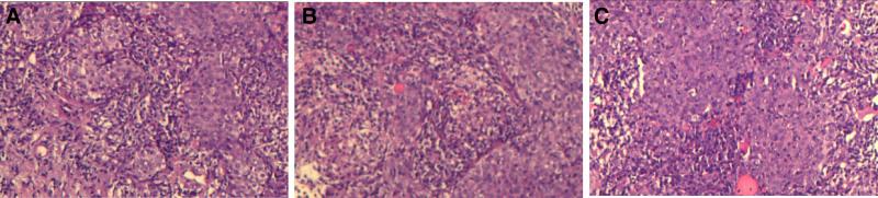
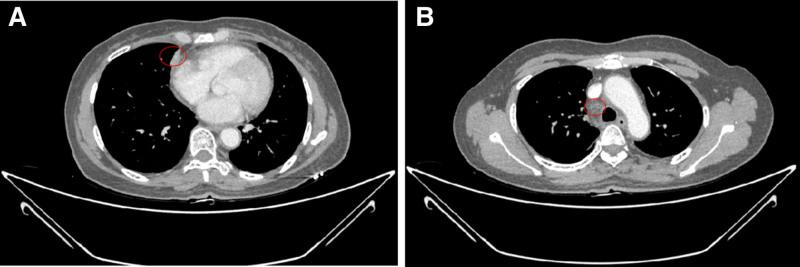
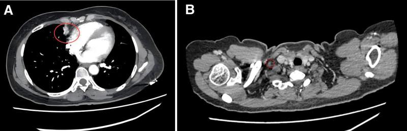
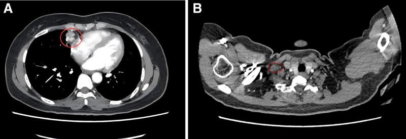
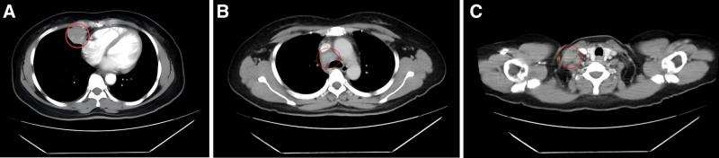
Chest computed tomography revealed a 35 mm × 31 mm mass in the right middle lung with enlarged supraclavicular and mediastinal lymph nodes. A biopsy confirmed the diagnosis of SCC. Staging was determined as cT3N3M1a (stage IVA), and genetic testing revealed no actionable driver mutations, while PD-L1 expression was 30% (tumor proportion score).

INTERVENTIONS

The patient initially received first-line treatment with pembrolizumab combined with docetaxel and nedaplatin, achieving partial response. After progression, second-line therapy included gemcitabine and cisplatin chemotherapy with synchronous radiotherapy, followed by camrelizumab and anlotinib. Regular imaging follow-ups guided therapy adjustments, including extended dosing intervals for camrelizumab during disease stabilization.

OUTCOMES

Over 4 years of treatment, the patient achieved durable partial response, with significant reduction in tumor burden and no new metastases. As of the most recent follow-up, the patient exhibited an overall survival of 59 months and progression-free survival of 51 months for second-line therapy, with manageable adverse effects including secondary hypothyroidism and grade 2 hypertension.

LESSONS

This case underscores the potential efficacy of combining immune checkpoint inhibitors with small-molecule multi-targeted tyrosine kinase inhibitors in treating advanced SCC of the lung after progression on first-line therapy. The complementary mechanisms of immune modulation and tumor microenvironment normalization may offer an effective strategy for addressing immune resistance in SCC.

摘要

原理

由于治疗选择有限,尤其是在免疫治疗后的情况下,晚期肺鳞状细胞癌(SCC)仍然是一项重大的临床挑战。将免疫检查点抑制剂与具有抗血管生成作用的小分子多靶点酪氨酸激酶抑制剂联合使用,为克服治疗耐药性和改善生存结果提供了一种有前景的方法。

患者关注

一名44岁女性,有2年反复咳嗽、咳痰病史,在过去一个月症状加重,包括咳嗽频率增加和痰量增多。未报告咯血或呼吸困难等明显全身症状。

诊断

胸部计算机断层扫描显示右中肺有一个35毫米×31毫米的肿块,锁骨上和纵隔淋巴结肿大。活检确诊为SCC。分期确定为cT3N3M1a(IVA期),基因检测未发现可操作的驱动基因突变,而程序性死亡受体配体1(PD-L1)表达为30%(肿瘤比例评分)。

干预措施

患者最初接受帕博利珠单抗联合多西他赛和奈达铂的一线治疗,达到部分缓解。进展后,二线治疗包括吉西他滨和顺铂化疗同步放疗,随后是卡瑞利珠单抗和安罗替尼。定期影像学随访指导治疗调整,包括在疾病稳定期间延长卡瑞利珠单抗的给药间隔。

结果

经过4年的治疗,患者实现了持久的部分缓解,肿瘤负担显著减轻,无新的转移灶。截至最近一次随访,患者二线治疗的总生存期为59个月,无进展生存期为51个月,不良反应可控,包括继发性甲状腺功能减退和2级高血压。

经验教训

本病例强调了在一线治疗进展后,将免疫检查点抑制剂与小分子多靶点酪氨酸激酶抑制剂联合用于治疗晚期肺SCC的潜在疗效。免疫调节和肿瘤微环境正常化的互补机制可能为解决SCC中的免疫耐药提供一种有效策略。

https://cdn.ncbi.nlm.nih.gov/pmc/blobs/3d31/12187345/fd1c87e6e3a8/medi-104-e42724-g001.jpg

文献AI研究员

20分钟写一篇综述,助力文献阅读效率提升50倍。

立即体验

用中文搜PubMed

大模型驱动的PubMed中文搜索引擎

马上搜索

文档翻译

学术文献翻译模型,支持多种主流文档格式。

立即体验