Suppr超能文献

四种不同类型封闭剂用于根管治疗患者术后疼痛的比较评估:一项随机对照试验

A Comparative Evaluation of Post-operative Pain in Patients Undergoing Root Canal Treatment With Four Different Types of Sealers: A Randomized Controlled Trial.

作者信息

Sabharwal Sanya, Kumar Pravin, Chugh Vinay Kumar, Gupta Ankur, Pathak Karishma, Patnana Arun

机构信息

Conservative Dentistry and Endodontics, All India Institute of Medical Sciences, Jodhpur, Jodhpur, IND.

Orthodontics and Dentofacial Orthopedics, All India Institute of Medical Sciences, Jodhpur, Jodhpur, IND.

出版信息

Cureus. 2025 May 25;17(5):e84766. doi: 10.7759/cureus.84766. eCollection 2025 May.

Abstract

OBJECTIVE

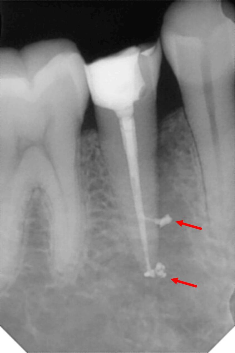
This study aimed to comparatively evaluate post-operative pain, unintentional apical extrusion, and radiopacity following root canal therapy using four different classes of sealers.

MATERIAL AND METHODS

Hundred patients requiring root canal treatment in single-rooted teeth diagnosed with symptomatic irreversible pulpitis, with or without symptomatic apical periodontitis, were recruited. Pre-operative pain levels were recorded using the visual analog scale. Patients were randomized into four sealer groups (Tubli-Seal: Kerr Endodontics, California; AH Plus: Dentsply Sirona, Charlotte; BioRoot RCS: Septodont Healthcare India Pvt. Ltd., Maharashtra, India; and Nishika Canal Sealer BG: Nippon Shika Yakuhin, Shimonoseki, Japan). A single operator performed the treatment in a single visit, using the crown-down technique with Hand Protaper instruments (Dentsply Tulsa Dental, Tulsa), irrigation with 3% sodium hypochlorite (Dentpro, Mohali, India), 17% ethylenediaminetetraacetic acid (EDTA) (MD-Cleanser, EDTA Solution, Meta Biomed, Korea), and distilled water, followed by obturation using the cold lateral condensation technique. Post-operative pain levels were recorded at 24 hours, 72 hours, and seven days. The Kruskal-Wallis H test was employed to compare the pre- and post-operative pain scores across the groups.

RESULTS

Post-operative pain, apical extrusion, and radiopacity showed no statistically significant differences among the four sealer groups (p > 0.05). However, BioRoot RCS had the lowest pain levels at 24 and 72 hours, Tubli-Seal showed the least apical extrusion, and AH Plus and BioRoot RCS exhibited higher and comparable radiopacity.

CONCLUSION

All the sealers perform similarly in regards to post-operative pain reduction, unintentional apical extrusion, and radiopacity with minor variations.

摘要

目的

本研究旨在比较评估使用四类不同根管封闭剂进行根管治疗后的术后疼痛、意外根尖挤出和不透射线性。

材料与方法

招募了100例诊断为有症状的不可逆性牙髓炎、伴或不伴有症状性根尖周炎的单根牙需要进行根管治疗的患者。使用视觉模拟量表记录术前疼痛水平。患者被随机分为四个封闭剂组(Tubli-Seal:美国加利福尼亚州Kerr牙髓病公司;AH Plus:美国北卡罗来纳州夏洛特市登士柏西诺德公司;BioRoot RCS:印度马哈拉施特拉邦Septodont Healthcare印度私人有限公司;Nishika根管封闭剂BG:日本下关市日本狮王齿科医药品公司)。由一名操作者在一次就诊中进行治疗,采用冠向下技术,使用手用Protaper器械(美国俄克拉荷马州塔尔萨市登士柏西诺德塔尔萨牙科公司),用3%次氯酸钠(印度旁遮普邦莫哈利市Dentpro公司)、17%乙二胺四乙酸(EDTA)(韩国Meta Biomed公司MD-Cleanser,EDTA溶液)和蒸馏水冲洗,然后采用冷侧方加压技术进行根管充填。在术后24小时、72小时和7天记录术后疼痛水平。采用Kruskal-Wallis H检验比较各组术前和术后疼痛评分。

结果

四个封闭剂组之间的术后疼痛、根尖挤出和不透射线性在统计学上无显著差异(p>0.05)。然而,BioRoot RCS在24小时和72小时时疼痛水平最低,Tubli-Seal根尖挤出最少,AH Plus和BioRoot RCS表现出较高且相当的不透射线性。

结论

所有封闭剂在减轻术后疼痛、意外根尖挤出和不透射线性方面表现相似,仅有微小差异。

https://cdn.ncbi.nlm.nih.gov/pmc/blobs/aa2b/12186465/87f1031a1b1c/cureus-0017-00000084766-i01.jpg

文献AI研究员

20分钟写一篇综述,助力文献阅读效率提升50倍。

立即体验

用中文搜PubMed

大模型驱动的PubMed中文搜索引擎

马上搜索

文档翻译

学术文献翻译模型,支持多种主流文档格式。

立即体验