Suppr超能文献

年龄、肌内脂肪组织指数和血清白蛋白对初始透析患者生存状态的中介作用。

Mediation effects of age, intramuscular adipose tissue index and serum albumin on survival status in initial dialysis patients.

作者信息

Wu Meng-Huan, Gao Yu-Ting, Ren Yu-Xin, Zhou Wen, Zheng Jing, Hou Shi-Mei, Wang Yao, Cao Jing-Yuan, Wang Xiao-Xu, Yang Yan, Wang Bin, Yang Min, Jiang Jing-Ting, Li Min

机构信息

Department of Nephrology, the Third Affiliated Hospital of Soochow University, Changzhou, China.

Institute of Geriatrics, Zhong Da Hospital, School of Medicine, Southeast University, Nanjing, Jiangsu, China.

出版信息

Ren Fail. 2025 Dec;47(1):2519822. doi: 10.1080/0886022X.2025.2519822. Epub 2025 Jun 26.

Abstract

BACKGROUND

To explore the associations of age, intramuscular adipose tissue index (IATI), and serum albumin with survival status in initial dialysis patients and the mediating effects.

METHODS

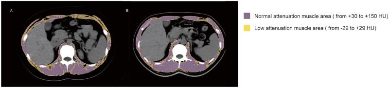
Totally 1,044 Chinese initial dialysis patients from four hospitals (2014-2020) were eventually enrolled and followed up to December 31, 2022 or until death in this retrospective cohort study. IATI was defined as the ratio of low attenuation muscle density to skeletal muscle density assessed by CT at the first lumbar vertebra level. Multivariate Cox regression and two-piecewise Cox proportional hazards models were used to determine the risk factors for all-cause mortality and to perform stratified analysis. Mediation analysis was conducted to identify mediators.

RESULTS

High IATI, age > 60 years, and low serum albumin were significant independent risk factors for all-cause mortality. The association between IATI and all-cause mortality remained significant in female patients, and those with low neutrophil/lymphocyte ratios, or without coronary heart disease. When age and IATI were categorical variables, age had a significant indirect effect on all-cause mortality (0.015) and survival time (-1.262) IATI, while IATI indirectly influenced all-cause mortality through serum albumin (0.012).

CONCLUSIONS

Age > 60 years and high IATI are risk factors for all-cause mortality while serum albumin is protective in initial dialysis patients. The relationship between age and survival status may be mediated by IATI, while the effect of IATI on all-cause mortality may be mediated by serum albumin.

摘要

背景

探讨年龄、肌肉内脂肪组织指数(IATI)和血清白蛋白与初始透析患者生存状况的关联及其中介作用。

方法

在这项回顾性队列研究中,最终纳入了来自四家医院(2014 - 2020年)的1044例中国初始透析患者,并随访至2022年12月31日或直至死亡。IATI定义为通过第一腰椎水平CT评估的低衰减肌肉密度与骨骼肌密度之比。采用多变量Cox回归和两段式Cox比例风险模型确定全因死亡率的危险因素并进行分层分析。进行中介分析以识别中介因素。

结果

高IATI、年龄>60岁和低血清白蛋白是全因死亡率的显著独立危险因素。IATI与全因死亡率之间的关联在女性患者、中性粒细胞/淋巴细胞比值低的患者或无冠心病的患者中仍然显著。当年龄和IATI为分类变量时,年龄对全因死亡率(0.015)和生存时间(-1.262)有显著间接影响,通过IATI起作用,而IATI通过血清白蛋白间接影响全因死亡率(0.012)。

结论

年龄>60岁和高IATI是初始透析患者全因死亡的危险因素,而血清白蛋白具有保护作用。年龄与生存状况之间的关系可能由IATI介导,而IATI对全因死亡率的影响可能由血清白蛋白介导。

https://cdn.ncbi.nlm.nih.gov/pmc/blobs/a00b/12203707/0821d0f322e0/IRNF_A_2519822_UF0001_C.jpg

文献AI研究员

20分钟写一篇综述,助力文献阅读效率提升50倍。

立即体验

用中文搜PubMed

大模型驱动的PubMed中文搜索引擎

马上搜索

文档翻译

学术文献翻译模型,支持多种主流文档格式。

立即体验