Suppr超能文献

D-乳酸和甘油作为肝细胞癌中索拉非尼活性的潜在生物标志物。

D-lactate and glycerol as potential biomarkers of sorafenib activity in hepatocellular carcinoma.

作者信息

Pedretti Silvia, Palermo Francesca, Braghin Miriana, Imperato Gabriele, Tomaiuolo Pasquale, Celikag Meral, Boccazzi Marta, Vallelonga Veronica, Da Dalt Lorenzo, Norata Giuseppe Danilo, Marisi Giorgia, Rapposelli Ilario Giovanni, Casadei-Gardini Andrea, Ghisletti Serena, Crestani Maurizio, De Fabiani Emma, Mitro Nico

机构信息

DiSFeB, Dipartimento di Scienze Farmacologiche e Biomolecolari "Rodolfo Paoletti", Università degli Studi di Milano, Milano, Italy.

Department of Experimental Oncology, European Institute of Oncology (IEO) IRCCS, Milano, Italy.

出版信息

Signal Transduct Target Ther. 2025 Jun 27;10(1):200. doi: 10.1038/s41392-025-02282-z.

Abstract

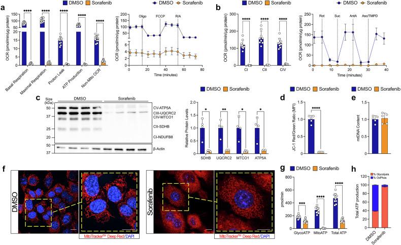
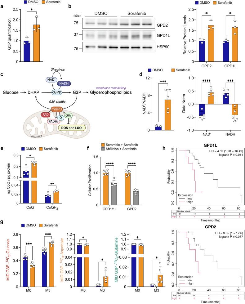
Sorafenib, a multi-kinase inhibitor for advanced hepatocellular carcinoma (HCC), often encounters resistance within months of treatment, limiting its long-term efficacy. Despite extensive efforts, reliable plasma biomarkers to monitor drug activity remain elusive. Here, we demonstrate that metabolic reprogramming is a strategic response implemented by cancer cells to survive the therapeutic pressure. Sorafenib suppresses oxidative phosphorylation by disrupting electron transport chain supercomplex assembly and enhancing glycolysis. To mitigate the accumulation of harmful glycolytic byproducts such as advanced glycation end-products (AGEs), sorafenib-treated cells reroute excess dihydroxyacetone phosphate (DHAP) toward glycerol-3-phosphate (G3P) synthesis, supporting glycerolipid metabolism, NAD regeneration, and redox balance, rather than producing D-lactate via the glyoxalase pathway. Alongside, resistant cells enhance serine metabolism to boost glutathione synthesis, reinforcing antioxidant defenses. Additionally, sorafenib increases reliance on exogenous non-esterified free fatty acids and triglycerides for phospholipid remodeling. The combined effects of glycerolipid remodeling and enhanced antioxidant capacity facilitate ferroptosis escape, diminishing sorafenib's activity. Leveraging these metabolic insights, we validate our findings by investigating plasma metabolites alteration in HCC patients. We identify D-lactate accumulation as a predictor of treatment response and glycerol accumulation as a marker of resistance, highlighting their potential as novel biomarkers for sorafenib activity. As sorafenib is used in advanced HCC, early detection of treatment response is critical to guiding the therapeutic decision, optimizing treatment strategies, and improving patient outcomes.

摘要

索拉非尼是一种用于晚期肝细胞癌(HCC)的多激酶抑制剂,在治疗数月后常出现耐药性,限制了其长期疗效。尽管进行了广泛努力,但用于监测药物活性的可靠血浆生物标志物仍然难以捉摸。在此,我们证明代谢重编程是癌细胞为在治疗压力下存活而实施的一种策略性反应。索拉非尼通过破坏电子传递链超复合物组装并增强糖酵解来抑制氧化磷酸化。为了减轻有害糖酵解副产物如晚期糖基化终产物(AGEs)的积累,经索拉非尼处理的细胞将过量的磷酸二羟丙酮(DHAP)重新导向3-磷酸甘油(G3P)合成,支持甘油脂质代谢、NAD再生和氧化还原平衡,而不是通过乙二醛酶途径产生D-乳酸。与此同时,耐药细胞增强丝氨酸代谢以促进谷胱甘肽合成,加强抗氧化防御。此外,索拉非尼增加了对用于磷脂重塑的外源性非酯化游离脂肪酸和甘油三酯的依赖。甘油脂质重塑和增强的抗氧化能力的综合作用促进了铁死亡逃逸,降低了索拉非尼的活性。利用这些代谢见解,我们通过研究HCC患者血浆代谢物变化来验证我们的发现。我们将D-乳酸积累确定为治疗反应的预测指标,将甘油积累确定为耐药标志物,突出了它们作为索拉非尼活性新型生物标志物的潜力。由于索拉非尼用于晚期HCC,早期检测治疗反应对于指导治疗决策、优化治疗策略和改善患者预后至关重要。

https://cdn.ncbi.nlm.nih.gov/pmc/blobs/6791/12202795/71416ecf60b9/41392_2025_2282_Fig1_HTML.jpg

文献AI研究员

20分钟写一篇综述,助力文献阅读效率提升50倍。

立即体验

用中文搜PubMed

大模型驱动的PubMed中文搜索引擎

马上搜索

文档翻译

学术文献翻译模型,支持多种主流文档格式。

立即体验