Suppr超能文献

EBV gL-gH344-铁蛋白纳米颗粒疫苗在小鼠中引发强烈免疫反应。

EBV gL-gH344-Ferritin Nanoparticle Vaccine Elicits Robust Immune Responses in Mice.

作者信息

Li Chenyu, Cao Yuxi, Ma Qi, Yang Jing, Zhang Xiaoguang, Li Hongxia, Xu Ke, Jiang Tao, Li Shuying, Hao Yanzhe, Feng Xia

机构信息

National Key Laboratory of Intelligent Tracking and Forecasting for Infectious Diseases, National Institute for Viral Disease Control and Prevention, Chinese Center for Disease Control and Prevention, Beijing 102206, China.

Hebei Key Laboratory for Chronic Diseases, School of Basic Medicine Sciences, North China University of Science and Technology, Tangshan 063210, China.

出版信息

Viruses. 2025 May 26;17(6):754. doi: 10.3390/v17060754.

Abstract

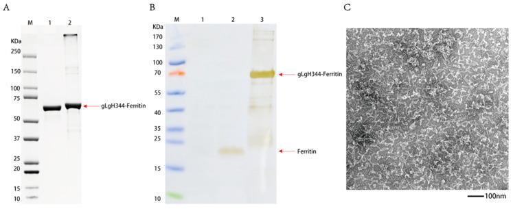
Considering the absence of a widely utilized EBV vaccine, we have developed an EBV gL-gH344-Ferritin nanoparticle vaccine utilizing ferritin as a carrier. The gL-gH344-Ferritin fusion gene was synthesized and inserted into the pET30a plasmid. The expression of the fusion protein in the recombinant plasmid was verified by Western blot. Then, the gL-gH344-Ferritin subunit nanoparticle vaccine was obtained by purification of the fusion protein. BALB/c mice were immunized using a two-dose protocol. The titers of EBV specific antibodies were determined using enzyme-linked immunosorbent assay at 4, 8, and 12 weeks after the initial immunization. Moreover, the levels of EBV gL-gH344 specific splenocytes secreting interferon (IFN)-γ and interleukin (IL)-6 were determined using an enzyme-linked immunospot assay. The pET30a-gL-gH344-Ferritin prokaryotic expression plasmid was successfully constructed. gL-gH344-Ferritin was efficiently expressed in . Following immunization with gL-gH344-Ferritin, the mice sera demonstrated elevated titers of EBV specific immunoglobulin G. Moreover, after stimulating with EBV gL-gH344 specific peptides, the splenocytes of the immunized mice showed a marked tendency to secrete large amounts of IFN-γ and IL-6. The gL-gH344-Ferritin nanoparticle vaccine carrying the EBV gL-gH344 fusion protein induced robust and sustained specific humoral and cellular immune responses in mice.

摘要

鉴于缺乏广泛使用的EBV疫苗,我们开发了一种以铁蛋白为载体的EBV gL-gH344-铁蛋白纳米颗粒疫苗。合成了gL-gH344-铁蛋白融合基因并将其插入pET30a质粒。通过蛋白质免疫印迹法验证重组质粒中融合蛋白的表达。然后,通过纯化融合蛋白获得gL-gH344-铁蛋白亚单位纳米颗粒疫苗。使用两剂方案对BALB/c小鼠进行免疫。在初次免疫后4、8和12周使用酶联免疫吸附测定法测定EBV特异性抗体的滴度。此外,使用酶联免疫斑点测定法测定分泌干扰素(IFN)-γ和白细胞介素(IL)-6的EBV gL-gH344特异性脾细胞的水平。成功构建了pET30a-gL-gH344-铁蛋白原核表达质粒。gL-gH344-铁蛋白在……中高效表达。用gL-gH344-铁蛋白免疫后,小鼠血清中EBV特异性免疫球蛋白G的滴度升高。此外,在用EBV gL-gH344特异性肽刺激后,免疫小鼠的脾细胞显示出分泌大量IFN-γ和IL-6的明显趋势。携带EBV gL-gH344融合蛋白的gL-gH344-铁蛋白纳米颗粒疫苗在小鼠中诱导了强烈且持续的特异性体液和细胞免疫反应。

https://cdn.ncbi.nlm.nih.gov/pmc/blobs/89d2/12197336/5b640463e49f/viruses-17-00754-g001.jpg

文献AI研究员

20分钟写一篇综述,助力文献阅读效率提升50倍。

立即体验

用中文搜PubMed

大模型驱动的PubMed中文搜索引擎

马上搜索

文档翻译

学术文献翻译模型,支持多种主流文档格式。

立即体验