Suppr超能文献

分子氢作为干燥综合征、系统性红斑狼疮和间质性肺病合并症的辅助治疗:关于免疫调节和减轻疲劳的病例报告

Molecular Hydrogen as an Adjuvant Therapy in Comorbid Sjögren's Syndrome, SLE, and ILD: A Case Report on Immune Modulation and Fatigue Reduction.

作者信息

Tsai Ying-Hsuan, Lu Jeng-Wei, Tu Jou-I, Li Yuan-Ju, Hsu Hui-Fu, Chang Feng-Hao, Ho Yi-Jung, Lui Shan-Wen, Hsieh Ting-Yu, Wang Kuang-Yih, Liu Feng-Cheng

机构信息

Department of Internal Medicine, Tri-Service General Hospital, National Defense Medical Center, Taipei, Taiwan, R.O.C.

Department of Bioscience and Biotechnology, National Taiwan Ocean University, Keelung, Taiwan, R.O.C.

出版信息

In Vivo. 2025 Jul-Aug;39(4):2228-2235. doi: 10.21873/invivo.14018.

Abstract

BACKGROUND/AIM: Systemic lupus erythematosus (SLE) and Sjögren's syndrome (SS) are chronic autoimmune diseases that often coexist. They share features such as systemic inflammation and multi-organ involvement and typically require long-term immunosuppressive treatment. However, long-term use of immunosuppressants can cause serious side effects, highlighting the need for adjunct therapies. Molecular hydrogen (H) therapy shows anti-inflammatory, antioxidant, and immunomodulatory properties, with potential benefits in liver, lung, and metabolic diseases. This case report examines a patient with overlapping SLE, SS, and interstitial lung disease (ILD), evaluating the effects of molecular hydrogen therapy on fatigue, immune modulation, and cardiac function.

CASE REPORT

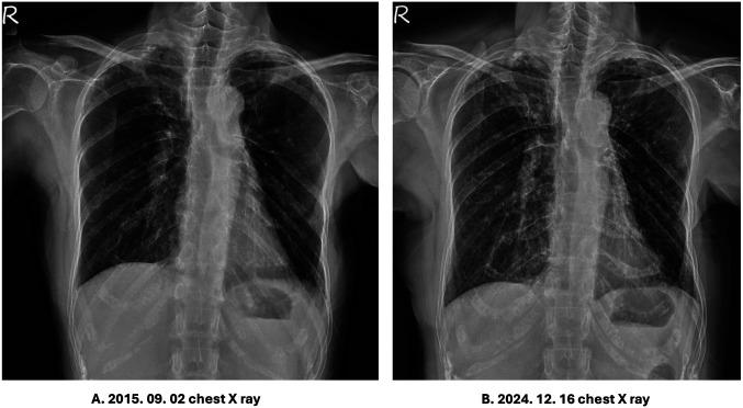
We present the case of a 69-year-old female diagnosed with Sjögren's syndrome, SLE, and ILD. The patient exhibited chronic symptoms, including xerostomia, xerophthalmia, and respiratory distress, for which she had been receiving corticosteroids and immunomodulatory therapy. Given the persistent disease burden and concerns regarding long-term immunosuppressive therapy, molecular hydrogen therapy was introduced as an adjunctive treatment. Over several months, the patient experienced notable clinical improvements, including resolution of xerostomia, insomnia, dyspnea, chest pain, and dizziness. These symptomatic improvements correlated with favorable immunological shifts in T and B cell subsets, enhanced pulmonary imaging findings, and a reduction in inflammatory markers. Additionally, the patient reported a significant decrease in fatigue, allowing corticosteroid tapering and less reliance on nighttime oxygen. Ongoing hydrogen therapy with high-dose vitamin C maintained disease stability and improved quality of life.

CONCLUSION

This case highlights the potential of molecular hydrogen (H) therapy as a safe, effective adjunct in managing overlapping Sjögren's syndrome, SLE, and ILD. H therapy improved immune profiles and stabilized symptoms in a patient unresponsive to standard treatments.

摘要

背景/目的:系统性红斑狼疮(SLE)和干燥综合征(SS)是常共存的慢性自身免疫性疾病。它们具有全身炎症和多器官受累等特征,通常需要长期免疫抑制治疗。然而,长期使用免疫抑制剂会导致严重的副作用,这凸显了辅助治疗的必要性。分子氢(H₂)疗法具有抗炎、抗氧化和免疫调节特性,在肝脏、肺部和代谢性疾病中具有潜在益处。本病例报告研究了一名患有重叠性SLE、SS和间质性肺病(ILD)的患者,评估了分子氢疗法对疲劳、免疫调节和心脏功能的影响。

病例报告

我们报告一例69岁女性,诊断为干燥综合征、SLE和ILD。该患者表现出慢性症状,包括口干、眼干和呼吸窘迫,为此她一直在接受皮质类固醇和免疫调节治疗。鉴于持续的疾病负担以及对长期免疫抑制治疗的担忧,引入分子氢疗法作为辅助治疗。在几个月的时间里,患者的临床症状有显著改善,包括口干、失眠、呼吸困难、胸痛和头晕症状的缓解。这些症状的改善与T和B细胞亚群的有利免疫变化、肺部影像学表现的改善以及炎症标志物的减少相关。此外,患者报告疲劳感显著减轻,允许逐渐减少皮质类固醇用量并减少对夜间吸氧的依赖。持续的氢疗法联合高剂量维生素C维持了疾病稳定并改善了生活质量。

结论

本病例突出了分子氢(H₂)疗法作为一种安全、有效的辅助手段,用于管理重叠性干燥综合征、SLE和ILD的潜力。氢疗法改善了一名对标准治疗无反应患者的免疫状况并稳定了症状。

https://cdn.ncbi.nlm.nih.gov/pmc/blobs/ec53/12223654/b69d71dc6007/in_vivo-39-2230-g0001.jpg

文献AI研究员

20分钟写一篇综述,助力文献阅读效率提升50倍。

立即体验

用中文搜PubMed

大模型驱动的PubMed中文搜索引擎

马上搜索

文档翻译

学术文献翻译模型,支持多种主流文档格式。

立即体验