Suppr超能文献

超声衍生脂肪分数:一种评估威尔逊病相关肝脂肪变性的新方法。

Ultrasound-derived fat fraction: a novel approach for assessing Wilson's disease-related hepatic steatosis.

作者信息

Yan Li, Fu Jin, Juan Ni Juan, Qi Li Bao, Ping Wang Jing

机构信息

Department of Ultrasound, The First Affiliated Hospital of Anhui University of Traditional Chinese Medicine, MeiShan Road, Anhui, 230031, P.R. China.

出版信息

BMC Gastroenterol. 2025 Jul 1;25(1):465. doi: 10.1186/s12876-025-03928-6.

Abstract

BACKGROUND AND OBJECTIVES

Ultrasound-derived fat fraction (UDFF) is a novel, non-invasive, rapid, and cost-effective technology that assesses liver fat content in various hepatic diseases. Its use in evaluating hepatic steatosis in Wilson’s disease (WD) remains largely unexplored. This study aimed to verify the clinical utility and measurement consistency of UDFF in assessing hepatic steatosis in WD, investigate the relationship between BMI and the severity of hepatic steatosis in WD patients, and determine if UDFF is an effective indicator for this condition.

METHODS

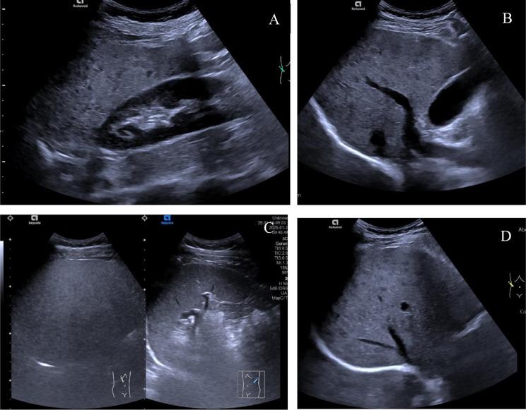
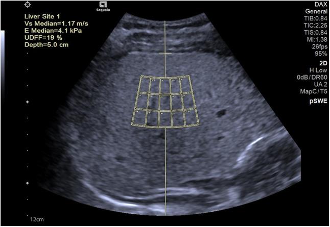
This retrospective study involved 89 patients diagnosed with WD. The demographic characteristics, body mass index (BMI), conventional ultrasound examination, liver shear wave elastography, and ultrasound-derived fat fraction (UDFF) detection data were collected and statistically analyzed. The degree of hepatic steatosis was evaluated using the visual scoring method known as the Hamaguchi score. The Bland-Altman plot was used to analyze the intra-observer and inter-observer consistency of UDFF measurements. The Spearman correlation analysis was conducted to explore the correlations among BMI, UDFF, and the Hamaguchi score. Additionally, confounding factors were included to analyze whether UDFF was an independent influencing factor for WD hepatic steatosis. The receiver operating characteristic (ROC) curve was utilized to determine the cutoff value of UDFF for diagnosing WD hepatic steatosis and its diagnostic efficacy.

RESULTS

The Bland-Altman analysis showed bias values of 5.7% and 1.1% for intra-observer variability of a junior and a senior sonologist, respectively, and 14.9% for inter-observer variability. Univariate analysis showed no significant correlation between BMI and the Hamaguchi score ( = 0.08,  = 0.478). However, there was a positive correlation between UDFF and the Hamaguchi score ( = 0.71,  < 0.001). Multivariate analysis indicated a significant correlation between UDFF and WD hepatic steatosis, with a regression coefficient of 1.243, OR of 3.465, and 95% CI of 1.617–10.51 ( = 0.008). ROC curve analysis demonstrated that the optimal cutoff value of UDFF for diagnosing WD hepatic steatosis was 4.5%, with an AUROC of 0.80 (95% CI: 71 − 90%), sensitivity of 90%, and specificity of 80%.

CONCLUSION

The clinical operation of UDFF exhibits high repeatability. In patients with WD, there may be a paradoxical phenomenon where those with low or normal BMI co-exist with hepatic steatosis. UDFF can serve as a valuable tool for the quantitative assessment of WD hepatic steatosis. Our study broadens the clinical applications of UDFF.

摘要

背景与目的

超声衍生脂肪分数(UDFF)是一项新型、无创、快速且经济高效的技术,可用于评估各种肝脏疾病中的肝脏脂肪含量。其在威尔逊病(WD)肝脂肪变性评估中的应用在很大程度上仍未得到充分探索。本研究旨在验证UDFF在评估WD肝脂肪变性中的临床实用性和测量一致性,探讨体重指数(BMI)与WD患者肝脂肪变性严重程度之间的关系,并确定UDFF是否为此病症的有效指标。

方法

本回顾性研究纳入了89例确诊为WD的患者。收集了人口统计学特征、体重指数(BMI)、常规超声检查、肝脏剪切波弹性成像及超声衍生脂肪分数(UDFF)检测数据,并进行统计学分析。采用视觉评分法(即滨口评分)评估肝脂肪变性程度。使用布兰德-奥特曼图分析UDFF测量的观察者内和观察者间一致性。进行Spearman相关性分析以探讨BMI、UDFF和滨口评分之间的相关性。此外,纳入混杂因素以分析UDFF是否为WD肝脂肪变性的独立影响因素。利用受试者工作特征(ROC)曲线确定UDFF诊断WD肝脂肪变性的临界值及其诊断效能。

结果

布兰德-奥特曼分析显示,初级和高级超声科医生的观察者内变异性偏差值分别为5.7%和1.1%,观察者间变异性偏差值为14.9%。单因素分析显示BMI与滨口评分之间无显著相关性(r = 0.08,P = 0.478)。然而,UDFF与滨口评分呈正相关(r = 0.71,P < 0.001)。多因素分析表明UDFF与WD肝脂肪变性之间存在显著相关性,回归系数为1.243,OR为3.465,95%CI为1.617 - 10.51(P = 0.008)。ROC曲线分析表明,UDFF诊断WD肝脂肪变性的最佳临界值为4.5%,曲线下面积(AUROC)为0.80(95%CI:71% - 90%),敏感性为90%,特异性为80%。

结论

UDFF的临床操作具有高重复性。在WD患者中,可能存在BMI低或正常的患者与肝脂肪变性并存的矛盾现象。UDFF可作为定量评估WD肝脂肪变性的有价值工具。我们的研究拓宽了UDFF的临床应用范围。

https://cdn.ncbi.nlm.nih.gov/pmc/blobs/349a/12211759/83aaa556716b/12876_2025_3928_Fig1_HTML.jpg

文献AI研究员

20分钟写一篇综述,助力文献阅读效率提升50倍。

立即体验

用中文搜PubMed

大模型驱动的PubMed中文搜索引擎

马上搜索

文档翻译

学术文献翻译模型,支持多种主流文档格式。

立即体验