Suppr超能文献

自动化胰腺细胞外容积分数作为2型糖尿病微血管病变的生物标志物

Automated pancreatic extracellular volume fraction as a biomarker for microangiopathy in type 2 diabetes mellitus.

作者信息

Wan Jiayu, Zhao Dan, Lin Xue, Sun Peng, Gui Shen, Liu Weiwei, Yang Lian, Pan Feng

机构信息

Department of Radiology, Union Hospital, Tongji Medical College, Huazhong University of Science and Technology, Jiefang Avenue #1277, Wuhan, 430022, China.

Hubei Province Key Laboratory of Molecular Imaging, Jiefang Avenue #1277, Wuhan, 430022, China.

出版信息

BMC Med Imaging. 2025 Jul 1;25(1):226. doi: 10.1186/s12880-025-01731-z.

Abstract

OBJECTIVE

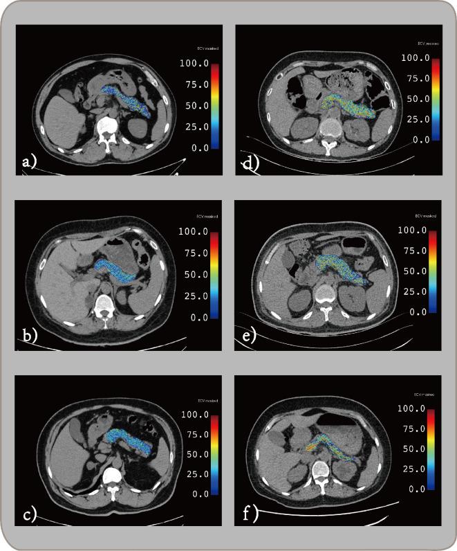
To develop noninvasive, opportunistic screening methods using routine abdominal enhanced CT imaging to derive an automated pancreatic extracellular volume fraction (AP-ECV) as a novel biomarker for evaluating microangiopathy in type 2 diabetes mellitus (T2DM).

METHODS

A retrospective study was conducted on 320 patients with T2DM who underwent routine enhanced abdominal CT examinations. Microangiopathy refers to retinopathy, nephropathy or peripheral neuropathy in patients with diabetes. An automated method was developed to calculate AP-ECV values from enhanced abdominal CT images. The association between AP-ECV and T2DM microangiopathy was evaluated using univariate and multivariate logistic regression analyses. Then, assess the sensitivity, specificity, and area under the receiver operating characteristic curve (AUC) for AP-ECV's diagnostic ability in T2DM microangiopathy. Ordinal logistic regression estimated risk factors associated with the severities of microangiopathy, categorized into three levels.

RESULTS

AP-ECV and T2DM duration significantly increased in T2DM patients with microangiopathy (p < 0.01). The AUC for AP-ECV and T2DM duration were 0.767 and 0.761, respectively, with a combined AUC of 0.881. As AP-ECV increased (OR 1.406) and T2DM duration lengthened (OR 1.163), microangiopathy severity significantly escalated.

CONCLUSION

AP-ECV is a potential imaging biomarker for T2DM microangiopathy, offering a valuable noninvasive diagnostic tool benefitting early management in T2DM patients.

摘要

目的

利用常规腹部增强CT成像开发非侵入性、机会性筛查方法,以得出自动胰腺细胞外容积分数(AP-ECV)作为评估2型糖尿病(T2DM)微血管病变的新型生物标志物。

方法

对320例接受常规腹部增强CT检查的T2DM患者进行回顾性研究。微血管病变是指糖尿病患者的视网膜病变、肾病或周围神经病变。开发了一种自动方法,从腹部增强CT图像计算AP-ECV值。使用单因素和多因素逻辑回归分析评估AP-ECV与T2DM微血管病变之间的关联。然后,评估AP-ECV对T2DM微血管病变的诊断能力的敏感性、特异性和受试者工作特征曲线下面积(AUC)。有序逻辑回归估计与微血管病变严重程度相关的危险因素,分为三个级别。

结果

微血管病变的T2DM患者的AP-ECV和T2DM病程显著增加(p < 0.01)。AP-ECV和T2DM病程的AUC分别为0.767和0.761,联合AUC为0.881。随着AP-ECV增加(OR 1.406)和T2DM病程延长(OR 1.163),微血管病变严重程度显著升级。

结论

AP-ECV是T2DM微血管病变的潜在影像学生物标志物,提供了一种有价值的非侵入性诊断工具,有利于T2DM患者的早期管理。

https://cdn.ncbi.nlm.nih.gov/pmc/blobs/0ecc/12211351/668d4c3e85b1/12880_2025_1731_Fig1_HTML.jpg

文献AI研究员

20分钟写一篇综述,助力文献阅读效率提升50倍。

立即体验

用中文搜PubMed

大模型驱动的PubMed中文搜索引擎

马上搜索

文档翻译

学术文献翻译模型,支持多种主流文档格式。

立即体验