Suppr超能文献

精子中段附睾成熟的一种新机制以及CCDC112在精子中段形成和建立最佳鞭毛波形中的作用。

A novel mechanism of sperm midpiece epididymal maturation and the role of CCDC112 in sperm midpiece formation and establishing an optimal flagella waveform.

作者信息

Graffeo Maddison L, Nguyen Joseph, Parast Farin Yazdan, Dunleavy Jessica E M, Korneev Denis, Yang Hongyi, Okuda Hidenobu, O'Connor Anne E, Conrad Donald F, Nosrati Reza, Houston Brendan J, O'Bryan Moira K

机构信息

School of Bio Sciences and Bio 21 Molecular Science and Biotechnology Institute, Faculty of Science, The University of Melbourne, Parkville, VIC, 3010, Australia.

Department of Mechanical and Aerospace Engineering, Monash University, Clayton, VIC, 3800, Australia.

出版信息

Cell Commun Signal. 2025 Jul 1;23(1):319. doi: 10.1186/s12964-025-02320-x.

Abstract

BACKGROUND

The mitochondrial sheath is a defining feature of mammalian sperm with proposed functions in structural support and energy production for flagella movement. Recently, coiled coil domain containing (CCDC) protein 112 (CCDC112) was suggested to play a role in the regulation of ciliogenesis. CCDC112 is a poorly characterised protein and there is virtually no knowledge of its in vivo function.

METHODS

Here, we define CCDC112 as crucial for male fertility using a Ccdc112 loss-of-function mouse line. To characterize and analyze male fertility, and to identify a novel process of epididymal midpiece maturation, we utilized a range of assays including fertility testing, scanning electron microscopy, high-resolution sperm motility and power output analysis, in vitro fertilization, intracytoplasmic sperm injection, mitochondria stress test assays and glycolytic flux assays. Localization of CCDC112 in cilia was assessed via the transfection of IMCD-3 cells with a CCDC112-eGFP vector and subsequent immunofluorescent staining.

RESULTS

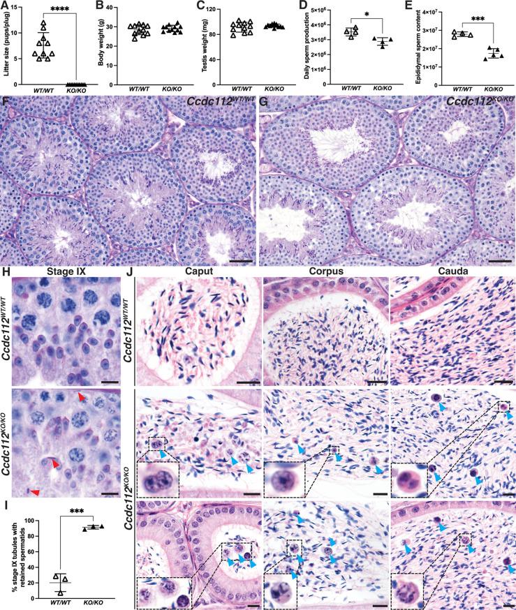
Results reveal CCDC112 as a requirement for male fertility in the mouse with an essential role in mitochondrial sheath formation. Our data reveal the critical role of CCDC112 in mitochondrial morphogenesis during midpiece formation, with the lack of CCDC112 leading to significantly reduced respiration capacity, irregular flagellar waveforms, diminished progressive motility and ultimately male sterility. In the absence of CCDC112, sperm are unable to traverse the female reproductive tract to the site of fertilization and in vitro have a poor capacity to penetrate the zonae pellucidae of oocytes or fuse with the oocyte. We further unveil a previously unrecognized process of epididymal mitochondrial sheath maturation. We show the sperm midpiece is structurally immature upon exiting the testis and maturation continues during transit from the caput to the cauda epididymis. Finally, we identify CCDC112 as a component of the distal appendages of the mother centriole in IMCD-3 cells suggestive of a facilitative role for CCDC112 in protein entry into the ciliary compartment within germ cells.

CONCLUSION

Collectively, we establish CCDC112 as a key regulator of sperm midpiece assembly and function while further expanding our understanding on functional sperm production, energy generation and flagella kinematics.

摘要

背景

线粒体鞘是哺乳动物精子的一个显著特征,在鞭毛运动的结构支持和能量产生方面具有特定功能。最近,含卷曲螺旋结构域(CCDC)的蛋白112(CCDC112)被认为在纤毛发生的调控中发挥作用。CCDC112是一种特征尚不明确的蛋白,其体内功能几乎无人知晓。

方法

在此,我们使用Ccdc112功能缺失小鼠品系,确定CCDC112对雄性生育力至关重要。为了表征和分析雄性生育力,并确定附睾中段成熟的新过程,我们采用了一系列检测方法,包括生育力测试、扫描电子显微镜、高分辨率精子活力和功率输出分析、体外受精、胞浆内精子注射、线粒体应激测试和糖酵解通量分析。通过用CCDC112-eGFP载体转染IMCD-3细胞并随后进行免疫荧光染色,评估CCDC112在纤毛中的定位。

结果

结果表明CCDC112是小鼠雄性生育力的必要条件,在线粒体鞘形成中起关键作用。我们的数据揭示了CCDC112在中段形成过程中线粒体形态发生中的关键作用,缺乏CCDC112会导致呼吸能力显著降低、鞭毛波形不规则、渐进性活力减弱,最终导致雄性不育。在没有CCDC112的情况下,精子无法穿过雌性生殖道到达受精部位,并且在体外穿透卵母细胞透明带或与卵母细胞融合的能力很差。我们进一步揭示了一个以前未被认识的附睾线粒体鞘成熟过程。我们表明精子中段在离开睾丸时结构不成熟,在从附睾头向附睾尾转运过程中继续成熟。最后,我们确定CCDC112是IMCD-3细胞中母中心粒远端附属物的一个组成部分,这表明CCDC112在蛋白质进入生殖细胞纤毛区室中起促进作用。

结论

总体而言,我们确定CCDC112是精子中段组装和功能的关键调节因子,同时进一步扩展了我们对功能性精子产生、能量生成和鞭毛运动学的理解。

https://cdn.ncbi.nlm.nih.gov/pmc/blobs/5ecb/12218091/16504968fc29/12964_2025_2320_Fig1_HTML.jpg

文献AI研究员

20分钟写一篇综述,助力文献阅读效率提升50倍。

立即体验

用中文搜PubMed

大模型驱动的PubMed中文搜索引擎

马上搜索

文档翻译

学术文献翻译模型,支持多种主流文档格式。

立即体验