Suppr超能文献

Vamp3/ syntaxin 4介导转铁蛋白受体跨血脑屏障转胞吞作用的基底外侧膜融合,并被病原体利用。

Vamp3/syntaxin 4 mediates the basolateral membrane fusion of TfR transcytosis across the BBB and is exploited by pathogenic .

作者信息

Liu Bin, Su Yingying, Sun Hao, Yang Bin, Wan Lili, Li Xiaoya, Hou Shaobin, Ma Guozhen, Yu Juan Joanna, Feng Lu, Li Huamin Henry, Wang Lei

机构信息

National Key Laboratory of Intelligent Tracking and Forecasting for Infectious Diseases, TEDA Institute of Biological Sciences and Biotechnology, Nankai University, Tianjin 300457, China.

The Key Laboratory of Molecular Microbiology and Technology, Ministry of Education, Nankai University, Tianjin 300071, China.

出版信息

Proc Natl Acad Sci U S A. 2025 Jul 8;122(27):e2500285122. doi: 10.1073/pnas.2500285122. Epub 2025 Jul 2.

Abstract

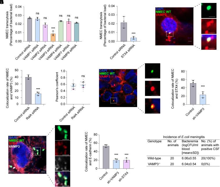
Transcytosis across the blood-brain barrier (BBB), composed of brain microvascular endothelial cells (HBMECs), is tightly controlled to prevent the entry of macromolecules, microorganisms, and toxins into the brain. Transferrin receptor (TfR) transcytosis, one of the few active transcytosis pathways in HBMECs, is extensively utilized for drug transport across the BBB and employed by meningitis-causing bacteria to penetrate into the brain. However, the molecular mechanism facilitating the fusion of TfR vesicles with the basolateral membrane of HBMECs, the final step of transcytosis, has not been experimentally studied. Here, we found that the interaction between the v-SNARE protein VAMP3 on TfR vesicles and the t-SNARE protein syntaxin 4 that is limited to the basolateral membrane in HBMECs mediates the fusion. We also provided evidence that this step is critical for the efficiency of TfR transcytosis. Furthermore, we showed that neonatal meningitis (NMEC) infection significantly boosts the efficiency of this transcytosis by enhancing the expression of VAMP3 and syntaxin 4 through the TLR4-TRAM-TRIF-TRAF3-IKK-IRF3 signaling pathway in HBMECs. Silence or overexpression of VAMP3 and syntaxin 4 reduces or enhances the transcytosis of transferrin and NMEC in a human BBB model . Consistently, the penetration of transferrin and NMEC into the brain was significantly inhibited in VAMP3-deficient mice. These findings provide insights for improving strategies to deliver drugs into the brain and developing effective therapy for meningitis caused by NMEC.

摘要

由脑微血管内皮细胞(HBMECs)构成的血脑屏障(BBB)的转胞吞作用受到严格控制,以防止大分子、微生物和毒素进入大脑。转铁蛋白受体(TfR)转胞吞作用是HBMECs中少数几种活跃的转胞吞途径之一,被广泛用于药物跨血脑屏障运输,并且导致脑膜炎的细菌也利用它侵入大脑。然而,TfR囊泡与HBMECs基底外侧膜融合这一转胞吞作用的最后一步的分子机制尚未得到实验研究。在这里,我们发现TfR囊泡上的v-SNARE蛋白VAMP3与HBMECs中仅限于基底外侧膜的t-SNARE蛋白 syntaxin 4之间的相互作用介导了融合。我们还提供证据表明这一步骤对TfR转胞吞作用的效率至关重要。此外,我们表明新生儿脑膜炎(NMEC)感染通过增强HBMECs中TLR4-TRAM-TRIF-TRAF3-IKK-IRF3信号通路来提高VAMP3和 syntaxin 4的表达,从而显著提高这种转胞吞作用的效率。在人血脑屏障模型中,沉默或过表达VAMP3和 syntaxin 4会降低或增强转铁蛋白和NMEC的转胞吞作用。同样,在VAMP3缺陷小鼠中,转铁蛋白和NMEC向大脑的渗透被显著抑制。这些发现为改进将药物输送到大脑的策略以及开发针对NMEC引起的脑膜炎的有效治疗方法提供了见解。

https://cdn.ncbi.nlm.nih.gov/pmc/blobs/709f/12260585/13820b32da7e/pnas.2500285122fig01.jpg

文献AI研究员

20分钟写一篇综述,助力文献阅读效率提升50倍。

立即体验

用中文搜PubMed

大模型驱动的PubMed中文搜索引擎

马上搜索

文档翻译

学术文献翻译模型,支持多种主流文档格式。

立即体验