Suppr超能文献

用于组织工程再生的超微小明胶纳米颗粒辅助3D干细胞球体

Ultra-Tiny Gelatin Nanoparticles-Assisted 3D Stem Cell Spheroids for Engineering Tissue Regeneration.

作者信息

Kim Dream, Kim Woochan, Sharma Harshita, Lee Shinyull, Park Chaeyeon, Park Sunho, Heo Chan Yeong, Kim Jangho

机构信息

Department of Convergence Biosystems Engineering, Chonnam National University, Gwangju, 61186, Republic of Korea.

Department of Rural and Biosystems Engineering, Chonnam National University, Gwangju, 61186, Republic of Korea.

出版信息

Adv Healthc Mater. 2025 Aug;14(22):e2501882. doi: 10.1002/adhm.202501882. Epub 2025 Jul 2.

Abstract

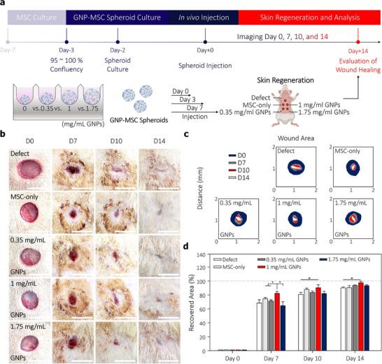
Stem cell spheroids offer an effective approach for tissue repair, disease modeling, and therapeutic applications. However, traditional spheroid cultures face certain limitations, such as uncontrolled cell proliferation and size, lack of structural complexity, and limited nutrient diffusion, eventually causing core apoptosis. Therefore, this study aims to propose an ultra-tiny gelatin nanoparticle (GNP)-assisted spheroid culture system designed to promote compact spheroid formation and enhance intra-/intercellular functionality. Highly biocompatible GNPs (80-150 nm) are fabricated with unique properties that promote cell-cell and cell-extracellular matrix (ECM) interactions, thereby enhancing functionality in stem cell spheroids. Compared to traditional stem cell spheroid culture methods, GNP-stem cell spheroids show improved cell viability, proliferation, and cellular complexity. Furthermore, the time-dependent regenerative potential of fabricated GNP-stem cell spheroids is investigated in hard and soft tissue defect sites. These findings indicate the significant role of GNP-stem cell spheroids in accelerating bone and skin tissue regeneration. These groundbreaking findings establish GNP-enhanced spheroids as a transformative innovation in regenerative medicine, surpassing traditional 3D stem cell therapies and advancing tissue engineering and biomedical research.

摘要

干细胞球体为组织修复、疾病建模和治疗应用提供了一种有效的方法。然而,传统的球体培养面临某些局限性,如细胞增殖和大小不受控制、缺乏结构复杂性以及营养物质扩散受限,最终导致核心凋亡。因此,本研究旨在提出一种超小的明胶纳米颗粒(GNP)辅助球体培养系统,旨在促进紧密球体的形成并增强细胞内/细胞间功能。制备具有高度生物相容性的GNP(80 - 150纳米),其独特性能可促进细胞 - 细胞和细胞 - 细胞外基质(ECM)相互作用,从而增强干细胞球体的功能。与传统的干细胞球体培养方法相比,GNP - 干细胞球体表现出更好的细胞活力、增殖和细胞复杂性。此外,在硬组织和软组织缺损部位研究了制备的GNP - 干细胞球体随时间变化的再生潜力。这些发现表明GNP - 干细胞球体在加速骨和皮肤组织再生中具有重要作用。这些开创性的发现确立了GNP增强球体作为再生医学中的变革性创新,超越了传统的3D干细胞疗法,推动了组织工程和生物医学研究的发展。

https://cdn.ncbi.nlm.nih.gov/pmc/blobs/4747/12391630/c2714cfbfffe/ADHM-14-0-g002.jpg

文献AI研究员

20分钟写一篇综述,助力文献阅读效率提升50倍。

立即体验

用中文搜PubMed

大模型驱动的PubMed中文搜索引擎

马上搜索

文档翻译

学术文献翻译模型,支持多种主流文档格式。

立即体验