Suppr超能文献

基底细胞皮肤癌伴皮下脂肪转移——病例报告

Basal cell skin cancer with metastasis to subcutaneous fat-a case report.

作者信息

Rumyantseva Veronika, Sukhotko Anna, Sukharev Victor, Bumbu Anna, Zakurdaev Evghenii, Covantsev Serghei

机构信息

Department of Surgery, Russian Medical Academy of Postgraduate Education, Moscow, Russia.

Department of Oncology, S.P. Botkin Clinical Hospital, Moscow, Russia.

出版信息

Front Surg. 2025 Jun 19;12:1575461. doi: 10.3389/fsurg.2025.1575461. eCollection 2025.

Abstract

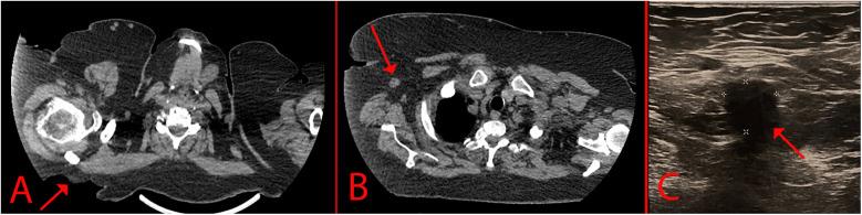
Basal cell carcinoma (BCC) is a malignant neoplasm of the skin that originates from the cells of the basal layer of the epidermis and is the most common skin cancer worldwide, accounting for more than 75% of all nonmelanoma skin cancers. About 4 million BCCs are diagnosed annually worldwide. Despite being the most common skin tumor, metastasis is rare and occurs in 0.0028%-0.55% of cases. In this case report, we present a rare case of giant basal cell carcinoma with metastasis to the subcutaneous fat in a 69-year-old woman.

摘要

基底细胞癌(BCC)是一种皮肤恶性肿瘤,起源于表皮基底层细胞,是全球最常见的皮肤癌,占所有非黑色素瘤皮肤癌的75%以上。全球每年约有400万例基底细胞癌被诊断出来。尽管它是最常见的皮肤肿瘤,但转移很少见,发生率为0.0028%-0.55%。在本病例报告中,我们呈现了一例69岁女性罕见的巨大基底细胞癌伴皮下脂肪转移的病例。

https://cdn.ncbi.nlm.nih.gov/pmc/blobs/370f/12222109/210ba2072802/fsurg-12-1575461-g001.jpg

文献AI研究员

20分钟写一篇综述,助力文献阅读效率提升50倍。

立即体验

用中文搜PubMed

大模型驱动的PubMed中文搜索引擎

马上搜索

文档翻译

学术文献翻译模型,支持多种主流文档格式。

立即体验