Suppr超能文献

接受非计划性手术的股骨近端骨肉瘤患者的长期肿瘤学和功能结局:一项单中心回顾性队列研究。

Long-term oncological and functional outcomes in patients with bone sarcomas in the proximal femur undergoing unplanned surgery: A single-center retrospective cohort study.

作者信息

Zhong Guodong, Lin Tiao, Wang Yongqian, Yao Hao, Aimaiti Aierxiding, Xie Xianbiao, Zou Changye, Yin Junqiang, Shen Jingnan, Huang Gang, Zhao Zhiqiang

机构信息

Department of Musculoskeletal Oncology, The First Affiliated Hospital of Sun Yat-sen University, Guangzhou, Guangdong, China.

出版信息

J Bone Oncol. 2025 Jun 14;53:100696. doi: 10.1016/j.jbo.2025.100696. eCollection 2025 Aug.

Abstract

BACKGROUND

The clinical and radiological presentation of bone sarcomas in the proximal femur is often atypical, frequently leading to diagnostic errors or inappropriate treatments. To our knowledge, no previous studies have analyzed reasons for or compared outcomes among patients with proximal femoral bone sarcomas undergoing unplanned surgery.

METHODS

Patients with proximal femoral bone sarcomas treated at our institution between January 2013 and January 2023 were retrospectively reviewed, including those initially misdiagnosed or mismanaged. Overall survival (OS) and event-free survival (EFS) rates were analyzed using Kaplan-Meier curves and log-rank tests. Independent-samples and paired t-tests were used to compare Musculoskeletal Tumor Society (MSTS) scores, while chi-square tests were used to assess local recurrence rates (LRR).

RESULTS

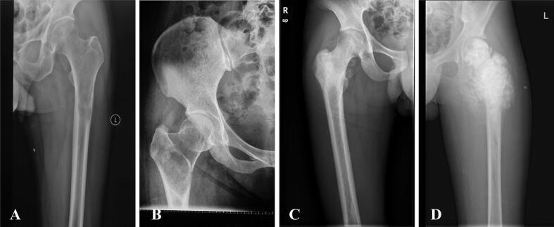
Of the 85 patients included, 27 cases underwent unplanned surgery at external hospitals, including 16 males and 11 females, with a median age of 44 years (range: 11-81 years). Initial preoperative radiologic findings in these patients undergoing unplanned surgery showed no periosteal reaction or soft tissue mass. No significant differences in OS, EFS, or LRR were observed between the unplanned and planned surgery groups (p > 0.05). However, MSTS scores were significantly lower in the unplanned surgery group (p < 0.001).

CONCLUSION

Unplanned surgery correlates with poorer functional outcomes. Reducing its incidence requires not only improved diagnostic imaging but also increased clinical suspicion, adherence to standardized diagnostic protocols, and early referral to specialized sarcoma centers. A multidisciplinary approach by experienced teams may enhance diagnostic accuracy and surgical planning, thereby minimizing unplanned interventions.

摘要

背景

股骨近端骨肉瘤的临床和影像学表现通常不典型,常常导致诊断错误或不恰当的治疗。据我们所知,此前尚无研究分析过接受非计划性手术的股骨近端骨肉瘤患者的病因或比较其预后。

方法

对2013年1月至2023年1月在我院接受治疗的股骨近端骨肉瘤患者进行回顾性研究,包括那些最初被误诊或治疗不当的患者。采用Kaplan-Meier曲线和对数秩检验分析总生存率(OS)和无事件生存率(EFS)。采用独立样本t检验和配对t检验比较肌肉骨骼肿瘤学会(MSTS)评分,采用卡方检验评估局部复发率(LRR)。

结果

纳入的85例患者中,27例在外部医院接受了非计划性手术,其中男性16例,女性11例,中位年龄44岁(范围:11-81岁)。这些接受非计划性手术的患者术前最初的影像学检查结果显示无骨膜反应或软组织肿块。非计划性手术组和计划性手术组在OS、EFS或LRR方面未观察到显著差异(p>0.05)。然而,非计划性手术组的MSTS评分显著更低(p<0.001)。

结论

非计划性手术与较差的功能预后相关。降低其发生率不仅需要改进诊断成像,还需要提高临床怀疑度、遵守标准化诊断方案以及早期转诊至专业肉瘤中心。经验丰富的团队采用多学科方法可能会提高诊断准确性和手术规划,从而尽量减少非计划性干预。

https://cdn.ncbi.nlm.nih.gov/pmc/blobs/9c58/12221667/7a71dc637d13/gr1.jpg

文献AI研究员

20分钟写一篇综述,助力文献阅读效率提升50倍。

立即体验

用中文搜PubMed

大模型驱动的PubMed中文搜索引擎

马上搜索

文档翻译

学术文献翻译模型,支持多种主流文档格式。

立即体验