Suppr超能文献

基于特征的重新利用药物类似于抑制TGFβ诱导的NDRG1,可作为三阴性乳腺癌的潜在治疗方法。

Signature-based repurposed drugs resemble the inhibition of TGFβ-induced NDRG1 as potential therapeutics for triple-negative breast cancer.

作者信息

López-Tejada Araceli, Blaya-Cánovas Jose L, Cara Francisca E, Calahorra Jesús, Ramírez-Tortosa César, Blancas Isabel, Delgado-Almenta Violeta, Muñoz-Parra Fabiola, Ávalos-Moreno Marta, Sánchez Ana, González-González Adrián, Marchal Juan A, Griñán-Lisón Carmen, Granados-Principal Sergio

机构信息

Department of Biochemistry and Molecular Biology II, Faculty of Pharmacy, University of Granada, Campus de Cartuja s/n, Granada, Spain.

GENYO, Centre for Genomics and Oncological Research, Pfizer/University of Granada/Andalusian Regional Government, Granada, Spain.

出版信息

Int J Biol Sci. 2025 Jun 9;21(9):3949-3967. doi: 10.7150/ijbs.112645. eCollection 2025.

Abstract

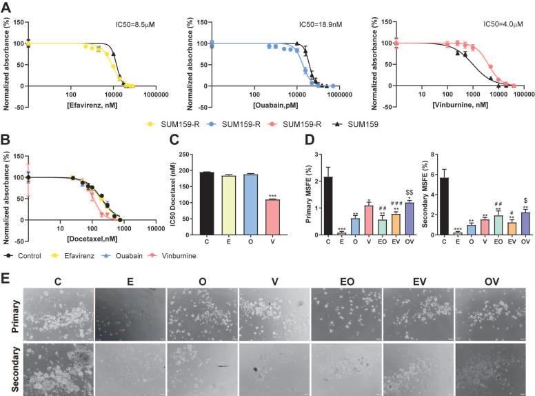
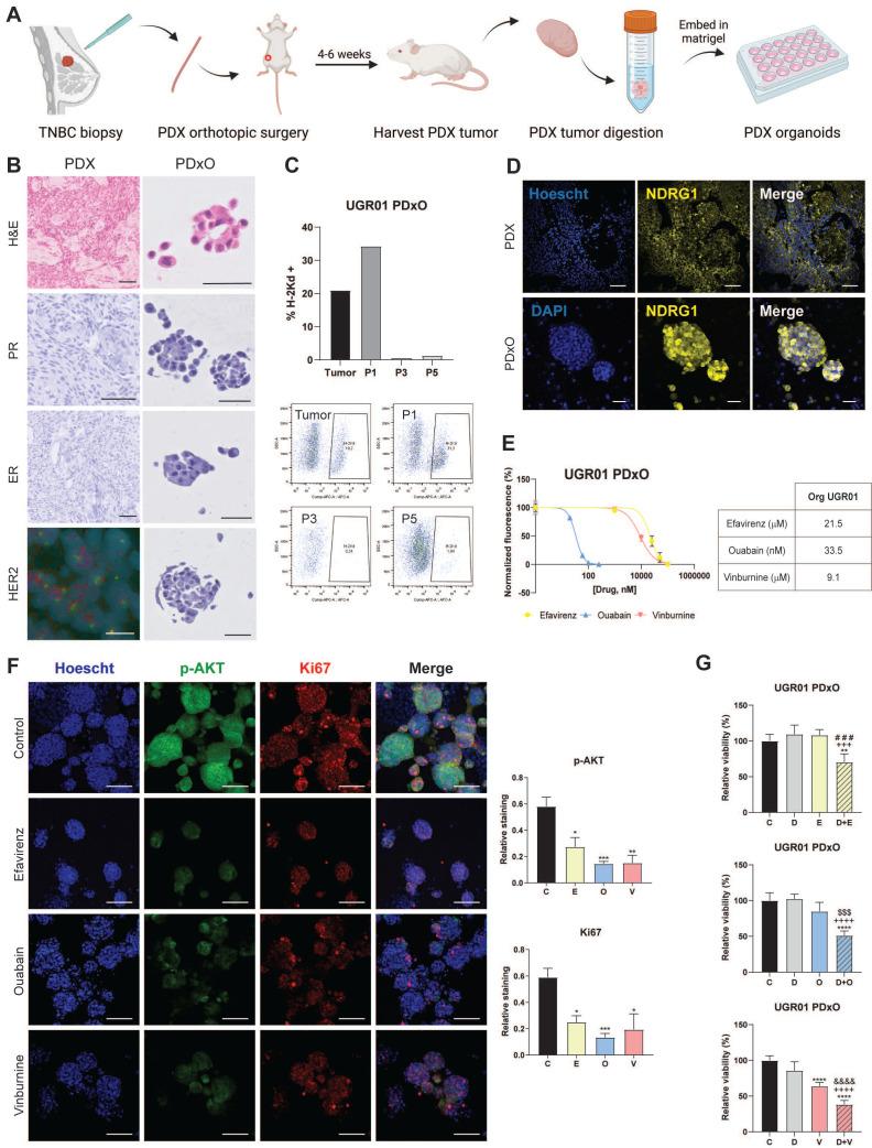
There is an urgent need for new therapeutic strategies against aggressive triple-negative breast cancer (TNBC), and drug repurposing offers a promising, time- and cost-effective solution. We previously reported that TGFβ leads to the tumorigenic role of NDRG1 in TNBC. Here, we aimed to identify drugs that mimic the transcriptomic signature after the inhibition of TGFβ-induced NDRG1 and to determine their antitumor properties. The transcriptomic signature was obtained by RNA sequencing after gene silencing of TGFβ-induced expression in TNBC cells. For the drug repositioning study, the transcriptome was further computationally analyzed by using the Connectivity Map tool. Efavirenz, ouabain, and vinburnine were selected as the repurposed drug candidates to evaluate their therapeutic potential in TNBC models as monotherapies and pairwise combinations. We determined that the candidate drugs significantly reduced tumor cell proliferation, cancer stem cells, self-renewal, clonogenic properties, and migration abilities in TNBC cell lines through the blockade of AKT. Importantly, we validated their translational potential in TNBC patient-derived xenograft organoids in combination with docetaxel. After validating that the drugs decreased p-AKT and Ki67, we demonstrated their antitumor activity in combination with docetaxel in organoids. In addition, drugs also showed efficacy in a docetaxel-resistant TNBC model, supporting their potential to overcome chemoresistance. In conclusion, these findings demonstrate the potential of efavirenz, ouabain, and vinburnine as repurposed agents capable of inhibiting TNBC cell proliferation, stemness, and migration. Their synergistic effects with docetaxel in organoid cultures further underscore their translational relevance and highlight a promising strategy for combination therapies to improve TNBC treatment.

摘要

针对侵袭性三阴性乳腺癌(TNBC),迫切需要新的治疗策略,而药物重新利用提供了一种有前景、省时且经济高效的解决方案。我们之前报道过,转化生长因子β(TGFβ)导致NDRG1在TNBC中发挥致瘤作用。在此,我们旨在鉴定能够模拟抑制TGFβ诱导的NDRG1后转录组特征的药物,并确定其抗肿瘤特性。转录组特征是通过对TNBC细胞中TGFβ诱导表达进行基因沉默后,通过RNA测序获得的。对于药物重新定位研究,利用连接图谱工具对转录组进行了进一步的计算分析。依法韦仑、哇巴因和长春宾被选为重新利用的候选药物,以评估它们作为单一疗法和两两组合在TNBC模型中的治疗潜力。我们确定,候选药物通过阻断AKT,显著降低了TNBC细胞系中的肿瘤细胞增殖、癌症干细胞、自我更新、克隆形成特性和迁移能力。重要的是,我们验证了它们与多西他赛联合在TNBC患者来源的异种移植类器官中的转化潜力。在验证药物降低了磷酸化AKT和Ki67后,我们证明了它们与多西他赛联合在类器官中的抗肿瘤活性。此外,这些药物在多西他赛耐药的TNBC模型中也显示出疗效,支持了它们克服化疗耐药性的潜力。总之,这些发现证明了依法韦仑、哇巴因和长春宾作为能够抑制TNBC细胞增殖、干性和迁移的重新利用药物的潜力。它们与多西他赛在类器官培养中的协同作用进一步强调了它们的转化相关性,并突出了一种有前景的联合治疗策略,以改善TNBC的治疗。

https://cdn.ncbi.nlm.nih.gov/pmc/blobs/dee6/12223764/2bf8b4f7d10b/ijbsv21p3949g001.jpg

文献AI研究员

20分钟写一篇综述,助力文献阅读效率提升50倍。

立即体验

用中文搜PubMed

大模型驱动的PubMed中文搜索引擎

马上搜索

文档翻译

学术文献翻译模型,支持多种主流文档格式。

立即体验