Suppr超能文献

麦氏军团菌肺炎在一名免疫功能低下患者中表现为空洞性病变

Legionella maceachernii Pneumonia Presenting as a Cavitary Lesion in an Immunocompromised Patient.

作者信息

Franco Liliana, Kariyawasam Vidhu, Evans Clay C

机构信息

Infectious Diseases, University of Florida, Gainesville, USA.

出版信息

Cureus. 2025 Jun 3;17(6):e85289. doi: 10.7759/cureus.85289. eCollection 2025 Jun.

Abstract

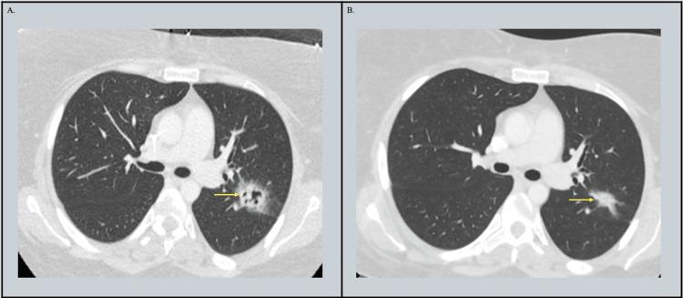
is an intracellular, gram-negative bacterium known as a less common cause of pneumonia, which has become a public health concern in recent years due to increased incidence. is recognized as the most common cause of Legionnaires' disease. Other species, including , have been rarely described as causes of Legionnaires' disease. Moreover, cavitary lesions as radiological findings in patients with Legionnaires' disease are uncommon but have been reported, especially in immunocompromised patients. Although the gold standard for diagnosis is a positive culture, the need for special media and extended time for growth can overlook or delay diagnosis. Additionally, urine antigen testing will miss detection of species other than serogroup 1. Molecular testing, although not routinely performed, is a promising tool for early detection and identification of other species. We present a case of an immunocompromised patient presenting with fevers and a cavitary lesion, diagnosed with through cell-free DNA sequencing.

摘要

是一种细胞内革兰氏阴性菌,是肺炎较少见的病因,近年来由于发病率上升已成为公共卫生问题。被认为是军团病最常见的病因。其他菌种,包括 ,很少被描述为军团病的病因。此外,军团病患者影像学表现为空洞性病变并不常见,但已有报道,尤其是在免疫功能低下的患者中。虽然诊断的金标准是培养阳性,但由于需要特殊培养基和较长的生长时间,可能会忽略或延迟诊断。此外,尿抗原检测会漏检血清型1以外的菌种。分子检测虽然不是常规进行,但对于早期检测和鉴定其他菌种是一种有前景的工具。我们报告一例免疫功能低下患者,出现发热和空洞性病变,通过游离DNA测序诊断为 。

https://cdn.ncbi.nlm.nih.gov/pmc/blobs/7821/12225650/0620935a74a5/cureus-0017-00000085289-i01.jpg

文献AI研究员

20分钟写一篇综述,助力文献阅读效率提升50倍。

立即体验

用中文搜PubMed

大模型驱动的PubMed中文搜索引擎

马上搜索

文档翻译

学术文献翻译模型,支持多种主流文档格式。

立即体验