Suppr超能文献

TRIP12在DNA聚合酶β参与DNA损伤反应与修复过程中的调控作用。

TRIP12's role in the governance of DNA polymerase β involvement in DNA damage response and repair.

作者信息

Inanc Burcu, Fang Qingming, Roos Wynand P, Andrews Joel F, Zeng Xuemei, Clark Jennifer, Li Jianfeng, Dey Nupur B, Ibrahim Md, Sykora Peter, Yu Zhongxun, Pearson Charlotte R, Braganza Andrea, Verheij Marcel, Jonkers Jos, Yates Nathan A, Vens Conchita, Sobol Robert W

机构信息

Division of Cell Biology, The Netherlands Cancer Institute, Amsterdam 1066CX, The Netherlands.

Mitchell Cancer Institute, University of South Alabama, Mobile, AL 36604, United States.

出版信息

Nucleic Acids Res. 2025 Jun 20;53(12). doi: 10.1093/nar/gkaf574.

Abstract

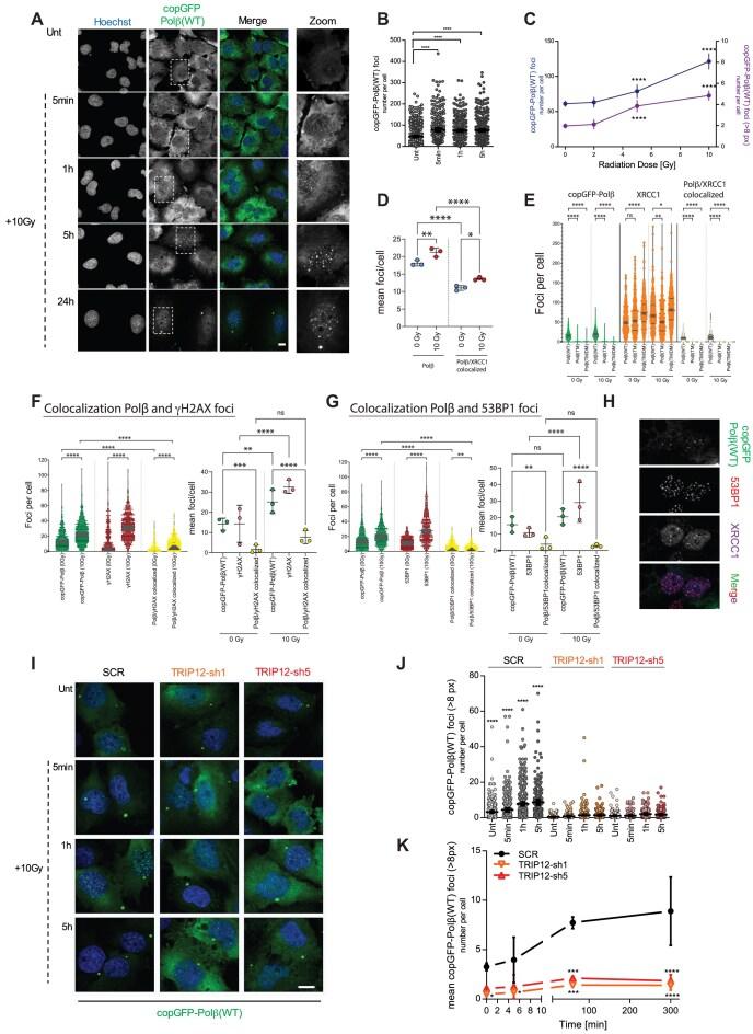
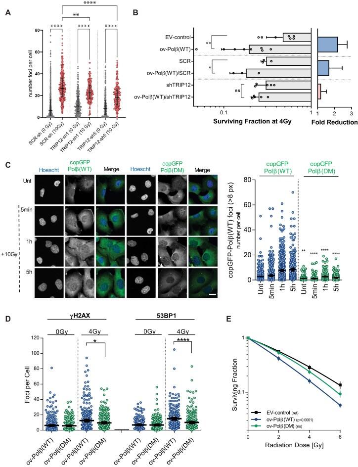
The multitude of DNA lesion types, and the nuclear dynamic context in which they occur, presents a challenge for genome integrity maintenance as this requires the engagement of different DNA repair pathways. Specific "repair controllers" that facilitate DNA repair pathway crosstalk between double-strand break (DSB) repair and base excision repair (BER) and that regulate BER protein engagement at lesion sites have yet to be identified. Here, we find that DNA polymerase β (Polβ), crucial for BER, is ubiquitylated in a BER complex-dependent manner by TRIP12, an E3 ligase that partners with UBR5 to restrain DSB repair signaling. Furthermore, we find that TRIP12, but not UBR5, controls cellular levels and chromatin loading of Polβ. Required for Polβ foci formation, TRIP12 influences Polβ involvement after radiation-induced DNA damage, a process regulated by TRIP12-mediated ubiquitylation of Polβ. Notably, excessive TRIP12-mediated engagement of Polβ affects DSB formation and radiation sensitivity, underscoring its role in promoting precedence for BER over DSB repair. The herein discovered function of TRIP12, in the governance of Polβ-directed BER, supports a role for TRIP12 in assuring BER lesion removal at complex DSB sites to optimize DSB repair at the nexus of DNA repair pathways.

摘要

众多的DNA损伤类型以及它们发生的核动态环境,给基因组完整性的维持带来了挑战,因为这需要不同的DNA修复途径参与进来。促进双链断裂(DSB)修复和碱基切除修复(BER)之间DNA修复途径串扰,并调节BER蛋白在损伤位点结合的特定“修复控制器”尚未被发现。在这里,我们发现对BER至关重要的DNA聚合酶β(Polβ),以一种依赖BER复合物的方式被TRIP12泛素化,TRIP12是一种与UBR5合作以抑制DSB修复信号的E3连接酶。此外,我们发现是TRIP12而非UBR5控制着Polβ的细胞水平和染色质加载。TRIP12是Polβ焦点形成所必需的,它影响辐射诱导的DNA损伤后Polβ的参与情况,这一过程由TRIP12介导的Polβ泛素化调控。值得注意的是,TRIP12介导的Polβ过度结合会影响DSB的形成和辐射敏感性,突出了其在促进BER优先于DSB修复方面的作用。本文发现的TRIP12在调控Polβ导向的BER中的功能,支持了TRIP12在确保在复杂DSB位点去除BER损伤以优化DNA修复途径交汇处的DSB修复方面所起的作用。

https://cdn.ncbi.nlm.nih.gov/pmc/blobs/3cce/12231584/9766c507953a/gkaf574figgra1.jpg

文献AI研究员

20分钟写一篇综述,助力文献阅读效率提升50倍。

立即体验

用中文搜PubMed

大模型驱动的PubMed中文搜索引擎

马上搜索

文档翻译

学术文献翻译模型,支持多种主流文档格式。

立即体验