Suppr超能文献

评估MCAM表达与胃癌临床病理参数的相关性。

Evaluation of MCAM expression in correlation with clinicopathological parameters of gastric cancer.

作者信息

Pryczynicz Anna, Nizioł Marcin, Brzozowska Agnieszka, Dorf Justyna, Zaręba Konrad, Guzińska-Ustymowicz Katarzyna

机构信息

Department of General Pathomorphology, Medical University of Bialystok, 15-269, Bialystok, Poland.

Department of Clinical Laboratory Diagnostics, Medical University of Bialystok, 15-269, Bialystok, Poland.

出版信息

Sci Rep. 2025 Jul 4;15(1):23909. doi: 10.1038/s41598-025-08732-6.

Abstract

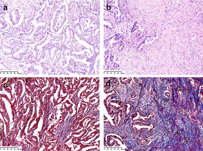
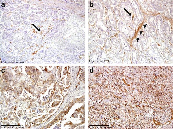
MCAM (Melanoma Cell Adhesion Molecule) is an adhesion protein belonging to the immunoglobulin superfamily, which was identified as a melanoma-specific protein. It is now clear that it can also be found in other types of neoplasms, e.g. in the carcinoma of the prostate, breast, ovary and stomach. MCAM plays a major pro-migratory role in the vascular system, promoting metastases. Therefore the study objective was to immunohistochemically evaluate MCAM expression in gastric cancer as well as to examine the correlation with chosen clinical-histopathological parameters. The study has shown that positive expression of MCAM was observed in cancer cells in 42.5% and in stromal cells in 33.3% of patients. The expression was more frequently seen in low desmoplasia tumors. The positive expression was also associated with higher grade of Helicobacter pylori infection. No correlation was noted with the overall survival rate. The expression of MCAM in stroma showed no correlation with clinical-histopathological parameters and patients' survival. The assessment of MCAM expression is not a useful marker to identify tumor stage nor it is a prognostic factor of gastric cancer. However, this protein may contribute to the process of desmoplastic stroma formation and be involved in the mechanism of inflammatory reaction.

摘要

MCAM(黑色素瘤细胞粘附分子)是一种属于免疫球蛋白超家族的粘附蛋白,最初被鉴定为黑色素瘤特异性蛋白。现在已经明确,它也存在于其他类型的肿瘤中,例如前列腺癌、乳腺癌、卵巢癌和胃癌。MCAM在血管系统中起主要的促迁移作用,促进转移。因此,本研究的目的是通过免疫组织化学方法评估MCAM在胃癌中的表达,并检测其与所选临床病理参数的相关性。研究表明,42.5%的患者癌细胞中观察到MCAM阳性表达,33.3%的患者基质细胞中观察到阳性表达。在低促纤维增生性肿瘤中,这种表达更为常见。阳性表达还与幽门螺杆菌感染的较高等级相关。与总生存率无相关性。MCAM在基质中的表达与临床病理参数及患者生存率无相关性。MCAM表达的评估不是识别肿瘤分期的有用标志物,也不是胃癌的预后因素。然而,这种蛋白可能有助于促纤维增生性基质的形成过程,并参与炎症反应机制。

https://cdn.ncbi.nlm.nih.gov/pmc/blobs/4830/12227614/18c516c3d52a/41598_2025_8732_Fig1_HTML.jpg

文献AI研究员

20分钟写一篇综述,助力文献阅读效率提升50倍。

立即体验

用中文搜PubMed

大模型驱动的PubMed中文搜索引擎

马上搜索

文档翻译

学术文献翻译模型,支持多种主流文档格式。

立即体验