Suppr超能文献

p53与程序性死亡配体1(PD-L1)共表达预示弥漫性大B细胞淋巴瘤预后不良。

p53/PD-L1 co-expression predicts poor prognosis in diffuse large B-cell lymphoma.

作者信息

Jing Yaoyao, Yuan Ying, Yu Yong, Zhao Haifeng, Yang Hongliang, Wang Xiaofang

机构信息

Department of Day Ward, Tianjin Medical University Cancer Institute & Hospital, Tianjin, China.

Tianjin Medical University Cancer Institute & Hospital, National Clinical Research Center for Cancer, Tianjin, China.

出版信息

Discov Oncol. 2025 Jul 6;16(1):1270. doi: 10.1007/s12672-025-03062-5.

Abstract

OBJECTIVE

To investigate the clinical characteristics and survival of p53 and Programmed death-ligand 1 (PD-L1) co-expression in diffuse large B-cell lymphoma (DLBCL) patients.

METHODS

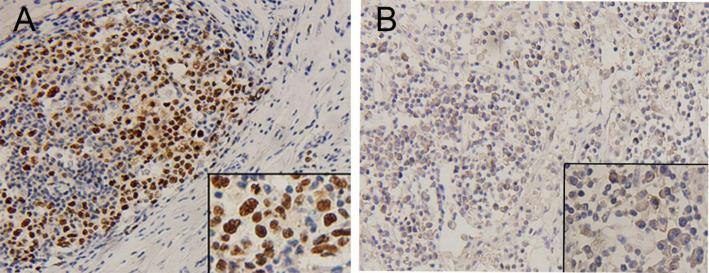
Immunohistochemistry (IHC) was used to detect the expression of p53 and PD-L1 in tumor cells of 176 patients with DLBCL. Clinical data were retrospectively examined along with long-term follow-up. Correlation between the expression of p53 and PD-L1 and the clinicopathological characteristics of the patients was assessed. Impact of Rituximab (R) on prognosis among DLBCL patients with positive expression of p53 and PD-L1 was evaluated.

RESULTS

p53 expression, PD-L1 expression, and p53/PD-L1 co-expression were present in 44.9%, 42.0%, and 25.6% of patients with DLBCL, respectively. No significant differences existed in the clinicopathological characteristics between patients with positive and negative p53 expression and between patients with positive and negative PD-L1 expression. However, more co-expression of p53/PD-L1 was observed in patients with non-germinal center B-cell-like (non-GCB) subtypes (p = 0.005). There was a significant positive correlation between p53 and PD-L1 expression (r = 0.273, p < 0.001). Survival analysis indicated that patients exhibiting p53/PD-L1 co-expression had decreased progression-free survival (PFS) and overall survival (OS ) compared to those demonstrating positive expression of either p53 or PD-L1, and in addition, both negative p53/PD-L1 expression. Rituximab failed to substantially modify the prognosis of patients. p53/PD-L1 co-expression is an independent indicator of adverse prognosis.

CONCLUSIONS

Co-expression of p53/PD-L1 in DLBCL patients implies an unfavorable prognostic group, which doesn't derive benefit from Rituximab.

摘要

目的

探讨弥漫性大B细胞淋巴瘤(DLBCL)患者中p53与程序性死亡配体1(PD-L1)共表达的临床特征及生存情况。

方法

采用免疫组织化学(IHC)法检测176例DLBCL患者肿瘤细胞中p53和PD-L1的表达。回顾性分析临床资料并进行长期随访。评估p53和PD-L1表达与患者临床病理特征之间的相关性。评价利妥昔单抗(R)对p53和PD-L1阳性表达的DLBCL患者预后的影响。

结果

DLBCL患者中p53表达、PD-L1表达及p53/PD-L1共表达分别占44.9%、42.0%和25.6%。p53表达阳性与阴性患者以及PD-L1表达阳性与阴性患者的临床病理特征无显著差异。然而,在非生发中心B细胞样(非GCB)亚型患者中观察到更多的p53/PD-L1共表达(p = 0.005)。p53与PD-L1表达之间存在显著正相关(r = 0.273,p < 0.001)。生存分析表明,与p53或PD-L1单一阳性表达以及p53/PD-L1均阴性表达的患者相比,p53/PD-L1共表达的患者无进展生存期(PFS)和总生存期(OS)降低。利妥昔单抗未能显著改善患者的预后。p53/PD-L1共表达是不良预后的独立指标。

结论

DLBCL患者中p53/PD-L1共表达提示预后不良,且不能从利妥昔单抗治疗中获益。

https://cdn.ncbi.nlm.nih.gov/pmc/blobs/f008/12229974/226ccee2a464/12672_2025_3062_Fig1_HTML.jpg

文献AI研究员

20分钟写一篇综述,助力文献阅读效率提升50倍。

立即体验

用中文搜PubMed

大模型驱动的PubMed中文搜索引擎

马上搜索

文档翻译

学术文献翻译模型,支持多种主流文档格式。

立即体验