Suppr超能文献

铯-131永久性近距离放射治疗种子植入脑室周围高级别胶质瘤:强调预防种子迁移新技术的病例报告。实例病例。

Placement of cesium-131 permanent brachytherapy seeds in periventricular high-grade gliomas: case report highlighting a novel technique to prevent seed migration. Illustrative cases.

作者信息

Wernicke A Gabriella, Cavallaro Julianna, Ablyazova Faina, Teng Ching-Ling, Sharma Anurag, McDermott Jake, Boockvar John A

机构信息

Department of Radiation Medicine, Lenox Hill Hospital, Northwell Health Cancer Institute, Zucker School of Medicine at Hofstra/Northwell, New York, New York.

Department of Neurosurgery, Lenox Hill Hospital, Zucker School of Medicine at Hofstra/Northwell, New York, New York.

出版信息

J Neurosurg Case Lessons. 2025 Jul 7;10(1). doi: 10.3171/CASE25176.

Abstract

BACKGROUND

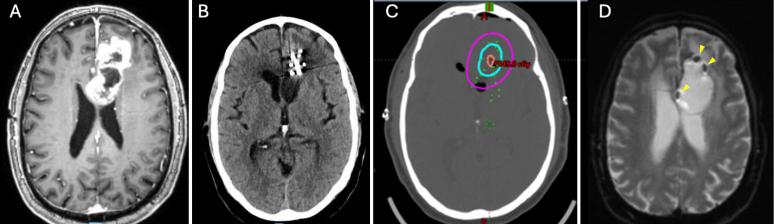
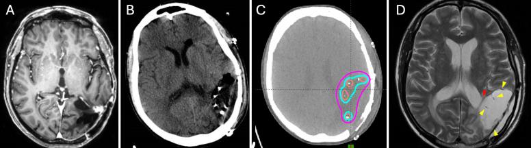
Reirradiation of recurrent high-grade gliomas (HGGs) with external beam radiation therapy is limited by the risk of radiation necrosis (RN). Intraoperative brachytherapy offers a localized radiation approach that minimizes RN risk while maintaining tumor control. However, seed migration has historically limited its use in periventricular regions. The authors present 3 cases of recurrent periventricular HGG (2 IDH-wildtype, MGMT promoter-methylated, EGFR-amplified WHO grade 4 glioblastoma and 1 WHO grade 3 astrocytoma) in which a three-layered barrier was created between the ventricular lining and tumor cavity to prevent seed migration, enabling successful brachytherapy.

OBSERVATIONS

Following maximal safe resection, a three-layered patch separated the resection cavity from the ventricle prior to cesium-131 (131Cs) brachytherapy. Patient 1 received suture-stranded 131Cs (20 seeds), while patients 2 and 3 received 131Cs GammaTile (6 tiles, 4 seeds per tile). A three-layered barrier was formed using Gelfoam, Surgicel, and Adherus. At a median 22-month (range 11-24 months) follow-up, MRI confirmed no seed migration and seeds remained in the cavity. There were no complications associated with the barrier placement.

LESSONS

This study highlights the novel use of this technique in preventing 131Cs seed migration in intraoperative brachytherapy, serving as a proof-of-concept study. https://thejns.org/doi/10.3171/CASE25176.

摘要

背景

复发性高级别胶质瘤(HGG)的外照射放疗受放射性坏死(RN)风险的限制。术中近距离放疗提供了一种局部放疗方法,可在维持肿瘤控制的同时将RN风险降至最低。然而,历史上种子迁移限制了其在脑室周围区域的应用。作者报告了3例复发性脑室周围HGG(2例异柠檬酸脱氢酶野生型、O-6-甲基鸟嘌呤-DNA甲基转移酶(MGMT)启动子甲基化、表皮生长因子受体(EGFR)扩增的世界卫生组织(WHO)4级胶质母细胞瘤和1例WHO 3级星形细胞瘤),其中在脑室壁与肿瘤腔之间建立了三层屏障以防止种子迁移,从而使近距离放疗得以成功实施。

观察结果

在进行最大安全切除后,在铯-131(131Cs)近距离放疗前,用三层补片将切除腔与脑室隔开。患者1接受了缝线捆绑的131Cs(20颗籽源),而患者2和3接受了131Cs伽马贴(6片,每片4颗籽源)。使用明胶海绵、速即纱和Adherus形成了三层屏障。在中位22个月(范围11 - 24个月)的随访中,磁共振成像(MRI)证实没有种子迁移,籽源仍留在腔内。屏障放置没有相关并发症。

经验教训

本研究强调了该技术在术中近距离放疗中预防131Cs种子迁移的新用途,可作为一项概念验证研究。https://thejns.org/doi/10.3171/CASE25176

https://cdn.ncbi.nlm.nih.gov/pmc/blobs/c463/12232445/ca8094dbfed4/CASE25176_figure_1.jpg

文献AI研究员

20分钟写一篇综述,助力文献阅读效率提升50倍。

立即体验

用中文搜PubMed

大模型驱动的PubMed中文搜索引擎

马上搜索

文档翻译

学术文献翻译模型,支持多种主流文档格式。

立即体验