Suppr超能文献

一种新型肽66CTG可稳定Myc原癌基因蛋白以促进三阴性乳腺癌生长。

A novel peptide 66CTG stabilizes Myc proto-oncogene protein to promote triple-negative breast cancer growth.

作者信息

Liang Huichun, Li Fubing, Fang Huan, Ren Wenlong, Zhou Zhongmei, Wang Jiecheng, Liu Jialing, Tang Yongjia, Liu Xue, Wu Yingying, Peng Jing, Yang Chuanyu, Chen Jiayi, Fei Yuting, Shi Yujie, Jiang Dewei, Zhang Nu, Chen Ceshi

机构信息

Key Laboratory of Animal Models and Human Disease Mechanisms of the Chinese Academy of Sciences and Yunnan Province, Kunming Institute of Zoology, Chinese Academy of Sciences, Kunming, China.

Yunnan Key Laboratory of Breast Cancer Precision Medicine, Academy of Biomedical Engineering, Kunming Medical University, Kunming, China.

出版信息

Signal Transduct Target Ther. 2025 Jul 9;10(1):217. doi: 10.1038/s41392-025-02298-5.

Abstract

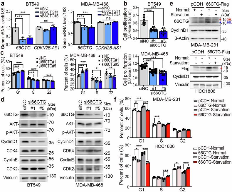
Triple-negative breast cancer (TNBC) is the most malignant subtype of breast cancer that lacks reliable targets for diagnosis and therapy. Non-coding RNA (ncRNA)-encoded products hold promise for addressing this unmet need. By analyzing the reported ribosomal RNA sequencing data, combined with the TCGA, ORFfinder, SmProt databases, we identified CDKN2B-AS1, a TNBC-upregulated lncRNA encoding a 66-amino-acid peptide via CUG-initiated translation. CRISPR-Cas9 gene editing and mass spectrometry confirmed endogenous expression of this peptide, designated 66CTG, in TNBC cells. Functionally independently of its host RNA, 66CTG promoted the proliferation of TNBC cells and the tumor growth of TNBC xenograft by stabilizing c-Myc protein and enhancing Cyclin D1 transcription. Immunohistochemistry of 89 clinical TNBC paraffin samples revealed positive correlations among 66CTG, c-Myc, and Cyclin D1 expression levels. Mechanistically, co-immunoprecipitation and ubiquitination assays revealed that 66CTG stabilized c-Myc by competitively interacting with FBW7α, an E3 ligase responsible for recognizing 66CTG CPD motif which phosphorylated by GSK-3β during the late G1 phase. In conclusion, our findings suggest 66CTG has potential to be developed as a target for TNBC diagnosis and therapy. Furthermore, it unveils a regulatory axis wherein 66CTG stabilizes c-Myc by interacting with FBW7α, offering a new mechanistic explanation for c-Myc overexpression in TNBC. Patients co-overexpressing 66CTG, c-Myc, and Cyclin D1 may benefit from therapies targeting this axis.

摘要

三阴性乳腺癌(TNBC)是乳腺癌中最具侵袭性的亚型,缺乏可靠的诊断和治疗靶点。非编码RNA(ncRNA)编码产物有望满足这一未被满足的需求。通过分析已报道的核糖体RNA测序数据,并结合TCGA、ORFfinder、SmProt数据库,我们鉴定出CDKN2B-AS1,这是一种在TNBC中上调的长链非编码RNA,通过CUG起始翻译编码一个66个氨基酸的肽。CRISPR-Cas9基因编辑和质谱分析证实了该肽(命名为66CTG)在TNBC细胞中的内源性表达。在功能上独立于其宿主RNA,66CTG通过稳定c-Myc蛋白和增强细胞周期蛋白D1转录促进TNBC细胞增殖和TNBC异种移植瘤的生长。对89例临床TNBC石蜡样本进行免疫组织化学分析,结果显示66CTG、c-Myc和细胞周期蛋白D1表达水平之间呈正相关。机制上,免疫共沉淀和泛素化分析表明,66CTG通过与FBW7α竞争性相互作用来稳定c-Myc,FBW7α是一种E3连接酶,负责识别在G1期晚期被GSK-3β磷酸化的66CTG CPD基序。总之,我们的研究结果表明66CTG有潜力被开发为TNBC诊断和治疗的靶点。此外,它揭示了一个调控轴,其中66CTG通过与FBW7α相互作用来稳定c-Myc,为TNBC中c-Myc的过表达提供了新的机制解释。共同过表达66CTG、c-Myc和细胞周期蛋白D1的患者可能会从针对该轴的治疗中受益。

https://cdn.ncbi.nlm.nih.gov/pmc/blobs/e4cb/12238259/7582a22b6383/41392_2025_2298_Fig1_HTML.jpg

文献AI研究员

20分钟写一篇综述,助力文献阅读效率提升50倍。

立即体验

用中文搜PubMed

大模型驱动的PubMed中文搜索引擎

马上搜索

文档翻译

学术文献翻译模型,支持多种主流文档格式。

立即体验