Suppr超能文献

膝部区域无色素性结节性黑色素瘤:来自阿拉伯联合酋长国的一例诊断难题病例报告

Amelanotic Nodular Melanoma Over the Knee Region: A Case Report of a Diagnostic Challenge From the United Arab Emirates.

作者信息

Abdelmonem Khadiga, Ghalyoun Loay, Ramanathan Nagarajan Divyashri, Otsmane Sonia, Picazo-Yeste Joaquin

机构信息

Medicine, Burjeel Medical CIty, Abu Dhabi, ARE.

Medicine, Burjeel Medical City, Abu Dhabi, ARE.

出版信息

Cureus. 2025 Jun 9;17(6):e85630. doi: 10.7759/cureus.85630. eCollection 2025 Jun.

Abstract

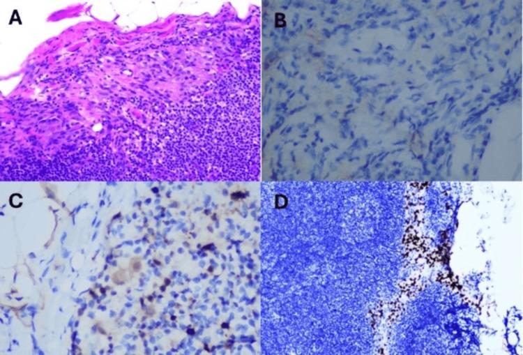
Amelanotic melanoma (AM) is a rare and aggressive subtype of cutaneous melanoma that lacks the characteristic pigmentation, which makes it challenging to diagnose, often resulting in delayed treatment. Nodular melanoma (NM), a subtype of AM, is associated with a poorer prognosis and is infrequently reported in the Middle East and North Africa (MENA) region. AM is a rare and aggressive subtype of cutaneous melanoma, accounting for approximately 1-8% of all melanoma cases. We present the case of a 39-year-old Filipino female with a slowly enlarging, skin-colored lesion on her right patella, initially misdiagnosed as a dermatofibroma. The lesion was later confirmed as type IIIb cutaneous amelanotic nodular melanoma via histopathology and immunohistochemistry, with a Breslow thickness of 5 mm and Clark level IV invasion. Sentinel lymph node biopsy revealed nodal involvement, and the patient underwent wide local excision followed by adjuvant immunotherapy. This report highlights the diagnostic challenges posed by AM, particularly in younger patients and in regions where such cases are rarely reported. Accurate diagnosis requires a high index of suspicion and a multimodal diagnostic approach. Early recognition and intervention are crucial for improving patient outcomes in this aggressive malignancy.

摘要

无色素性黑色素瘤(AM)是皮肤黑色素瘤中一种罕见且侵袭性强的亚型,缺乏典型色素沉着,这使其诊断具有挑战性,常导致治疗延迟。结节性黑色素瘤(NM)作为AM的一种亚型,预后较差,在中东和北非(MENA)地区鲜有报道。AM是皮肤黑色素瘤中一种罕见且侵袭性强的亚型,约占所有黑色素瘤病例的1 - 8%。我们报告一例39岁菲律宾女性病例,其右髌骨上有一缓慢增大的肤色病变,最初被误诊为皮肤纤维瘤。该病变后来经组织病理学和免疫组织化学确诊为IIIb型皮肤无色素性结节性黑色素瘤,Breslow厚度为5毫米,Clark分级为IV级浸润。前哨淋巴结活检显示有淋巴结受累,患者接受了广泛局部切除,随后进行辅助免疫治疗。本报告强调了AM带来的诊断挑战,尤其是在年轻患者以及此类病例鲜有报道的地区。准确诊断需要高度的怀疑指数和多模式诊断方法。早期识别和干预对于改善这种侵袭性恶性肿瘤患者的预后至关重要。

https://cdn.ncbi.nlm.nih.gov/pmc/blobs/5147/12240450/36663fbab16e/cureus-0017-00000085630-i01.jpg

文献AI研究员

20分钟写一篇综述,助力文献阅读效率提升50倍。

立即体验

用中文搜PubMed

大模型驱动的PubMed中文搜索引擎

马上搜索

文档翻译

学术文献翻译模型,支持多种主流文档格式。

立即体验