Suppr超能文献

载脂蛋白L1(APOL1):对分子进化、与APOL3相互作用以及剪接异构体影响的思考推动了对细胞损伤的细胞和分子机制的理解。

Apolipoprotein L1 (APOL1): Consideration of Molecular Evolution, Interaction with APOL3, and Impact of Splice Isoforms Advances Understanding of Cellular and Molecular Mechanisms of Cell Injury.

作者信息

Khalaila Razi, Skorecki Karl

机构信息

Department of Nephrology, Rambam Health Care Campus, Haifa 3109601, Israel.

Departments of Genetics and Developmental Biology, Rappaport Faculty of Medicine and Research Institute, Technion-Israel Institute of Technology, Haifa 319060, Israel.

出版信息

Cells. 2025 Jul 2;14(13):1011. doi: 10.3390/cells14131011.

Abstract

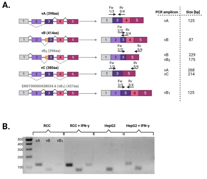
The Apolipoprotein L1 (APOL1) innate immunity gene product represents the sole member of the APOL gene family in humans capable of secretion into circulation, thereby mediating the trypanolysis of . Gain-of-function variants of the APOL1 gene originated and spread among human population groups to extend APOL1's protective capacity to include also serum-resistant subspecies, such as (S342G known as APOL1-G1) and (N388_Y389del known as APOL1-G2). The biochemical pathways underlying the lytic activity of these evolutionary favored mutations against bloodstream trypanosomes have been elucidated with remarkable precision. However, the intricate molecular mechanisms by which such variants confer an increased susceptibility to renal cellular injury and consequent kidney disease remain incompletely defined. In the absence of a consistent mechanistic explanation for differential kidney injury, we propose pursuing three interrelated avenues of investigation informed by prior epidemiological and mechanistic evidence linking them to APOL1's cytotoxicity: (1) Molecular evolution of APOL1 haplotypes in human populations, (2) APOL1 splicing and consequent splice isoforms, (3) Interaction of APOL1 with other APOL gene family members, prioritizing APOL3. In the current study, we use reanalysis of population genetics datasets to resolve the haplotype contexts of all protein-altering APOL1 variants, uncovering previously unrecognized variant-haplotype couplings. We further characterize distinct cellular physiological properties among APOL1 splice isoforms, stressing the importance of isoform vB and what can be learned from isoform vC. Finally, a native interaction, and its interface, between APOL1 and APOL3 is reported, and shown to be differentially modulated by G1 and G2. We contend that continuing studies integrating these three interrelated domains will substantially advance mechanistic insights into APOL1 variant-driven renal injury, and leverage the findings to provide a more cohesive framework to guide future research.

摘要

载脂蛋白L1(APOL1)先天免疫基因产物是人类APOL基因家族中唯一能够分泌到循环系统中的成员,从而介导对……的锥虫溶解作用。APOL1基因的功能获得性变体在人群中起源并传播,以扩展APOL1的保护能力,使其也包括血清抗性亚种,如(S342G,称为APOL1 - G1)和(N388_Y389del,称为APOL1 - G2)。这些进化上有利的突变针对血流中锥虫的裂解活性所涉及的生化途径已得到相当精确的阐明。然而,这些变体导致对肾细胞损伤及随之而来的肾脏疾病易感性增加的复杂分子机制仍未完全明确。由于缺乏对差异性肾损伤的一致机制解释,我们建议根据先前将它们与APOL1细胞毒性联系起来的流行病学和机制证据,开展三条相互关联的研究途径:(1)人类群体中APOL1单倍型的分子进化,(2)APOL1剪接及由此产生的剪接异构体,(3)APOL1与其他APOL基因家族成员的相互作用,优先考虑APOL3。在当前研究中,我们通过对群体遗传学数据集的重新分析来解析所有改变蛋白质的APOL1变体的单倍型背景,发现了先前未被识别的变体 - 单倍型耦合。我们进一步表征了APOL1剪接异构体之间不同的细胞生理特性,强调了异构体vB的重要性以及从异构体vC中可以学到的东西。最后,报道了APOL1与APOL3之间的天然相互作用及其界面,并表明其受到G1和G2的差异调节。我们认为,持续开展整合这三个相互关联领域的研究将极大地推进对APOL1变体驱动的肾损伤的机制性认识,并利用这些发现提供一个更具凝聚力的框架来指导未来的研究。

https://cdn.ncbi.nlm.nih.gov/pmc/blobs/bf4b/12248677/2fac6921d7e4/cells-14-01011-g001.jpg

文献AI研究员

20分钟写一篇综述,助力文献阅读效率提升50倍。

立即体验

用中文搜PubMed

大模型驱动的PubMed中文搜索引擎

马上搜索

文档翻译

学术文献翻译模型,支持多种主流文档格式。

立即体验