Suppr超能文献

丹酚酸B通过靶向PRDX5减轻急性肾损伤中的铁死亡。

Salvianolic Acid B Attenuates Ferroptosis in Acute Kidney Injury by Targeting PRDX5.

作者信息

Tao Yan, Fu Shengjun, Lu Jianzhong, Fu Beitang, Liu Shanhui, Li Lanlan

机构信息

Insititue of Urology, Clinical Research Center for Urology in Gansu Province, the Second Hospital & Clinical Medical School, Lanzhou University, Lanzhou, Gansu, China.

The Fifth Affiliated Hospital of Xinjiang Medical University, Ürümqi, Xinjiang, China.

出版信息

FASEB J. 2025 Jul 31;39(14):e70803. doi: 10.1096/fj.202500258RR.

Abstract

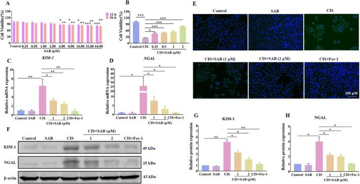
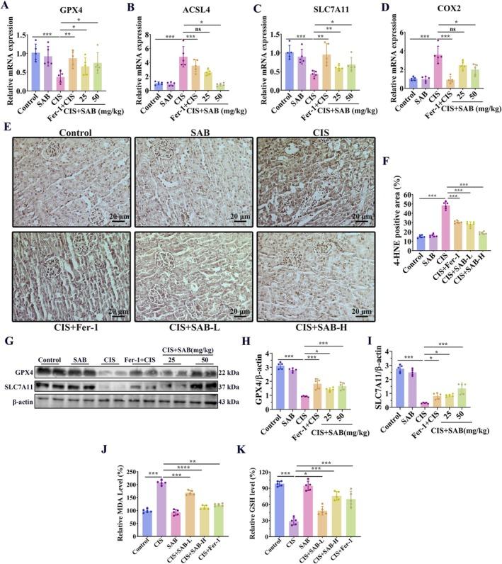
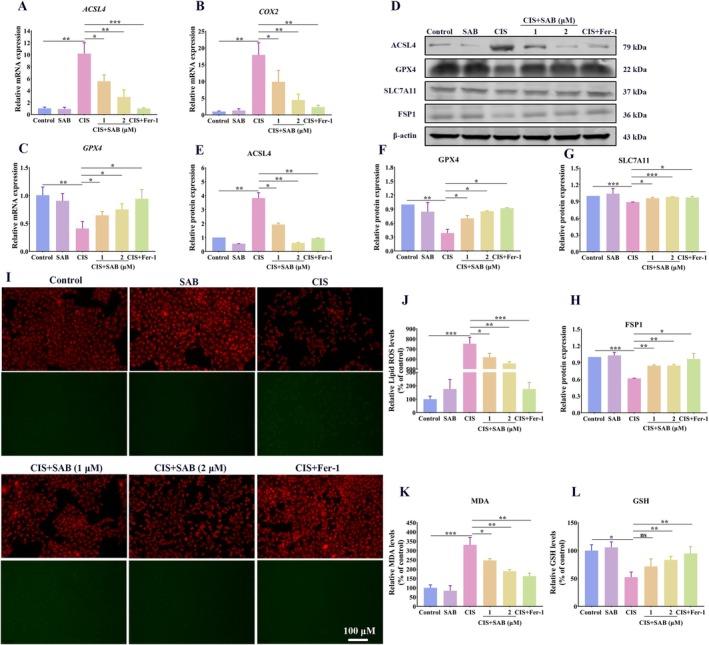
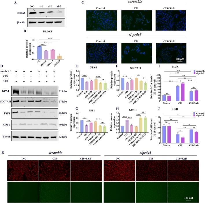
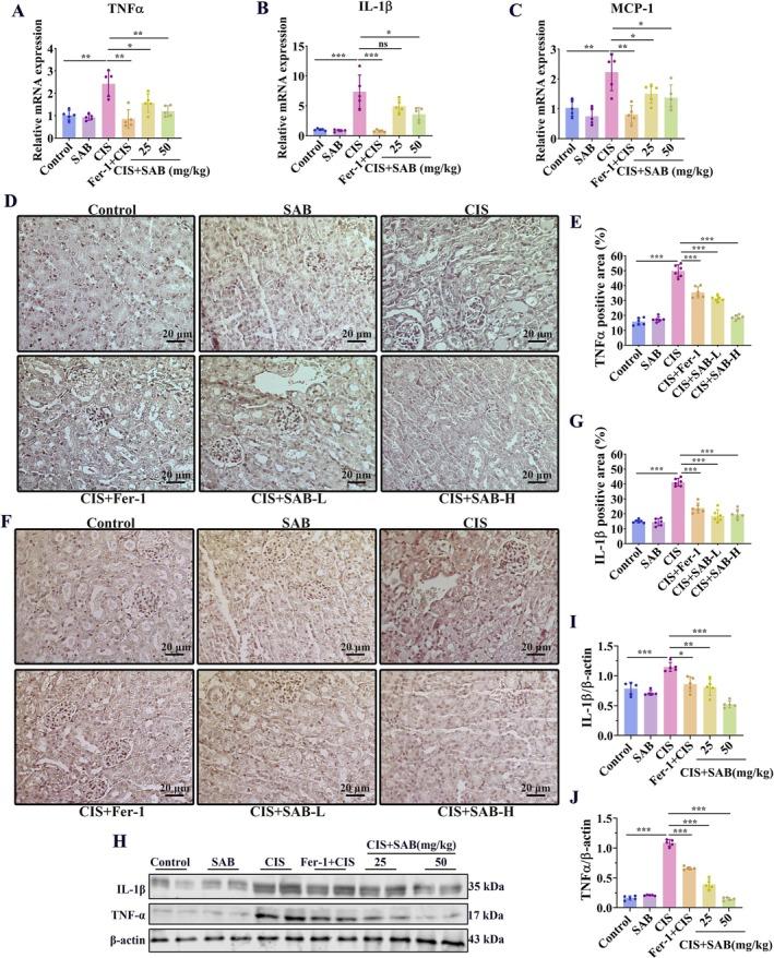
Acute kidney injury (AKI) is a common side effect of the chemotherapy agent cisplatin, and ferroptosis serves as the primary mechanism underlying cell death in renal tubular epithelium in such cases. Salvianolic acid B (SAB), a compound derived from Salvia miltiorrhiza, has demonstrated promising anti-inflammatory and antioxidant properties. However, its impact on ferroptosis in the context of AKI remains to be fully explored. In this study, we utilized cisplatin-induced and folic acid-induced AKI models to investigate the protective mechanisms of SAB on renal tissue and tubular epithelial cell injury. The impact of SAB on renal cell ferroptosis was thoroughly examined and confirmed in both AKI models. To predict the potential mechanism through which SAB regulates ferroptosis, we employed an online target prediction database and subsequently verified the specific target proteins involved. Furthermore, we used drug affinity responsive target stability (DARTS), cellular thermal shift assay (CETSA) and molecular docking techniques to assess the binding capacity of SAB to the target protein. Our results reveal that SAB alleviated cisplatin- and folic acid-induced renal dysfunction in vivo and improved cisplatin-induced HK-2 cell injury. Mechanistically, SAB targeted and bound to PRDX5, enhancing its redox activity, which in turn potentiated the inhibitory effect of SLC7A11 and GPX4 on cisplatin-induced ferroptosis. Silencing PRDX5 in HK-2 cells could partially abrogate the protective effect of SAB. These results provide strong evidence for the potential of SAB in the treatment of AKI.

摘要

急性肾损伤(AKI)是化疗药物顺铂常见的副作用,在这种情况下,铁死亡是肾小管上皮细胞死亡的主要机制。丹酚酸B(SAB)是一种从丹参中提取的化合物,已显示出有前景的抗炎和抗氧化特性。然而,其在AKI背景下对铁死亡的影响仍有待充分探索。在本研究中,我们利用顺铂诱导和叶酸诱导的AKI模型来研究SAB对肾组织和肾小管上皮细胞损伤的保护机制。在两个AKI模型中都对SAB对肾细胞铁死亡的影响进行了全面检查和确认。为了预测SAB调节铁死亡的潜在机制,我们使用了一个在线靶点预测数据库,随后验证了所涉及的特定靶蛋白。此外,我们使用药物亲和力响应靶点稳定性(DARTS)、细胞热位移分析(CETSA)和分子对接技术来评估SAB与靶蛋白的结合能力。我们的结果表明,SAB在体内减轻了顺铂和叶酸诱导的肾功能障碍,并改善了顺铂诱导的HK-2细胞损伤。从机制上讲,SAB靶向并结合PRDX5,增强其氧化还原活性,这反过来又增强了SLC7A11和GPX4对顺铂诱导的铁死亡的抑制作用。在HK-2细胞中沉默PRDX5可部分消除SAB的保护作用。这些结果为SAB治疗AKI的潜力提供了有力证据。

https://cdn.ncbi.nlm.nih.gov/pmc/blobs/ba9b/12257431/c7b1b4f461b4/FSB2-39-e70803-g005.jpg

文献AI研究员

20分钟写一篇综述,助力文献阅读效率提升50倍。

立即体验

用中文搜PubMed

大模型驱动的PubMed中文搜索引擎

马上搜索

文档翻译

学术文献翻译模型,支持多种主流文档格式。

立即体验