Suppr超能文献

在常规监测结肠镜检查中发现的溃疡性结肠炎患者的低级别阑尾黏液性肿瘤:一例报告并文献复习

Low-Grade Appendiceal Mucinous Neoplasm in a Patient With Ulcerative Colitis Detected on Routine Surveillance Colonoscopy: A Case Report and Review of Literature.

作者信息

Huang Yantong, Arai Ronen, Staller Brett

机构信息

Osteopathic Medicine, Nova Southeastern University Dr. Kiran C. Patel College of Osteopathic Medicine, Davie, USA.

Gastroenterology, Broward Health, Coral Springs, USA.

出版信息

Cureus. 2025 Jun 12;17(6):e85844. doi: 10.7759/cureus.85844. eCollection 2025 Jun.

Abstract

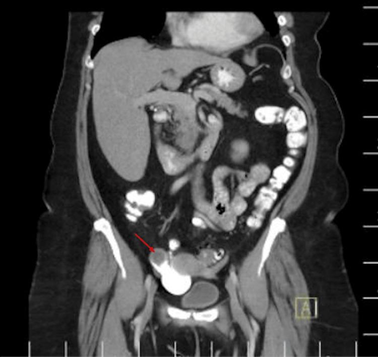
Appendiceal mucocele (AM) is characterized by the dilation of the appendix due to the accumulation of mucinous material within its lumen, often discovered incidentally on imaging. Symptoms of AM are typically nonspecific or absent, but patients may present with clinical features mimicking appendicitis or an adnexal mass. Ultrasound and CT imaging of the abdomen and pelvis are key in establishing the diagnosis. Early diagnosis is crucial, as a neoplastic mucocele can rupture, leading to pseudomyxoma peritonei (PMP), a clinical syndrome characterized by diffuse intra-abdominal gelatinous ascites with mucinous peritoneal involvement. While patients with ulcerative colitis (UC) are at increased risk for colorectal cancer, appendiceal neoplasms are rarely reported in this group. This case presentation involves a 70-year-old female patient with a history of UC who presented for a routine surveillance colonoscopy in the fall of 2024. She was diagnosed with mild UC in 2006 and had been in clinical remission since December 2018, and a colonoscopy performed in 2021 showed no mucosal inflammation. However, during the most recent surveillance colonoscopy in 2024, the appendiceal orifice was noted to be bulging, with mucus extruding, suspicious of a mucinous appendiceal neoplasm. Cold forceps biopsies were obtained, and histology showed only inflammatory changes in the appendiceal orifice. A contrast-enhanced CT of the abdomen and pelvis revealed a 3.2 x 2.0 cm tubular cystic structure originating from the base of the cecum, consistent with an AM, without signs of rupture or nodularity. The patient underwent a robotic-assisted partial cecectomy and appendectomy, and pathology confirmed a well-differentiated, low-grade appendiceal mucinous neoplasm (LAMN).

摘要

阑尾黏液囊肿(AM)的特征是由于黏液物质在阑尾腔内积聚而导致阑尾扩张,常在影像学检查时偶然发现。AM的症状通常不具特异性或无症状,但患者可能表现出类似阑尾炎或附件肿块的临床特征。腹部和盆腔的超声及CT成像对于确诊至关重要。早期诊断至关重要,因为肿瘤性黏液囊肿可能破裂,导致腹膜假黏液瘤(PMP),这是一种临床综合征,其特征为弥漫性腹腔内胶冻样腹水伴黏液性腹膜受累。虽然溃疡性结肠炎(UC)患者患结直肠癌的风险增加,但该组中阑尾肿瘤很少见。本病例报告涉及一名70岁女性患者,有UC病史,于2024年秋季接受常规结肠镜检查。她在2006年被诊断为轻度UC,自2018年12月以来一直处于临床缓解期,2021年进行的结肠镜检查未显示黏膜炎症。然而,在2024年最近一次结肠镜检查期间,发现阑尾开口膨出,有黏液挤出,怀疑为黏液性阑尾肿瘤。获取了冷活检钳活检组织,组织学检查仅显示阑尾开口有炎症改变。腹部和盆腔增强CT显示一个3.2×2.0 cm的管状囊性结构,起源于盲肠底部,符合AM,无破裂或结节迹象。患者接受了机器人辅助部分盲肠切除术和阑尾切除术,病理证实为高分化、低级别阑尾黏液性肿瘤(LAMN)。

https://cdn.ncbi.nlm.nih.gov/pmc/blobs/6a36/12256031/dc9c7e03ee25/cureus-0017-00000085844-i01.jpg

文献AI研究员

20分钟写一篇综述,助力文献阅读效率提升50倍。

立即体验

用中文搜PubMed

大模型驱动的PubMed中文搜索引擎

马上搜索

文档翻译

学术文献翻译模型,支持多种主流文档格式。

立即体验