Suppr超能文献

伴有同步壁内胆管转移的远端胆管癌:一例报告

Distal Cholangiocarcinoma with Synchronous Intramural Bile Duct Metastasis: A Case Report.

作者信息

Kiuchi Ryota, Ishioka Hitaru, Akutsu Tomohiro, Makino Mitsumasa, Ishimatsu Hisato, Yamazaki Masanori, Shoji Tsuyoshi, Nomura Rui, Kurebayashi Yutaka, Maruo Hirotoshi

机构信息

Department of Surgery, Shizuoka City Shimizu Hospital, Shizuoka, Shizuoka, Japan.

Department of Diagnostic Pathology, Shizuoka City Shimizu Hospital, Shizuoka, Shizuoka, Japan.

出版信息

Surg Case Rep. 2025;11(1). doi: 10.70352/scrj.cr.25-0119. Epub 2025 Jul 11.

Abstract

INTRODUCTION

Distal cholangiocarcinoma is a malignant tumor that arises from the epithelial cells of the bile duct. Several risk factors associated with cholangiocarcinoma have been identified. Multiple distal cholangiocarcinomas may occur in patients with several risk factors for cholangiocarcinoma. However, synchronous multiple distal cholangiocarcinomas in the absence of risk factors are rare. Here, we presented a case of multiple tumors on the bile duct diagnosed as distal cholangiocarcinoma with synchronous intramural bile duct metastasis.

CASE PRESENTATION

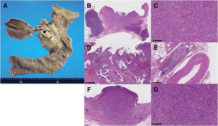
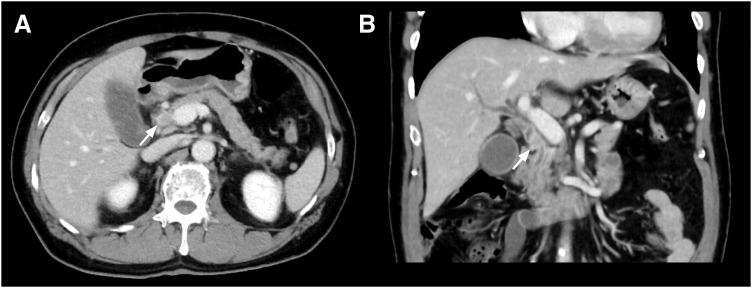
A 67-year-old man was referred to our hospital for evaluation of jaundice. Contrast-enhanced computed tomography revealed an enhanced tumor on the common bile duct. Endoscopic retrograde cholangiography showed bile duct stenosis due to a nodular tumor of the common bile duct. We performed subtotal stomach-preserving pancreaticoduodenectomy under diagnosing distal cholangiocarcinoma. The patient was discharged on the 23rd postoperative day. Macroscopic findings of the resected specimen showed a 27-mm nodular-infiltrating tumor at the middle bile duct and a 3-mm nodular tumor at the lower bile duct. The distance between the tumors was 10 mm. Pathological examination revealed that the larger tumor was primarily composed of poorly differentiated adenocarcinoma, with a moderately differentiated component at the periphery of the tumor. The smaller tumor was entirely composed of poorly differentiated adenocarcinoma, which was similar to the poorly differentiated component of the larger tumor. Additionally, microscopic lymphovascular infiltration was observed in the vicinity of both tumors. These two lesions were separated by nontumoral biliary epithelia without atypia. The results of immunohistochemical staining using CK7/20, MUC1/2, and p53 antibodies substantiated the homology of these tumors. These results suggested that the smaller tumor was synchronous intramural bile duct metastasis of distal cholangiocarcinoma rather than independent multiple lesions.

CONCLUSIONS

In the cases of multiple tumors being synchronously identified on the bile duct, it is crucial to ascertain the relationship between those tumors. Recent developments in immunohistochemical staining and genetic analysis may further facilitate the assessment of the association between multiple distal cholangiocarcinomas.

摘要

引言

远端胆管癌是一种起源于胆管上皮细胞的恶性肿瘤。已确定了几种与胆管癌相关的危险因素。患有多种胆管癌危险因素的患者可能会发生多个远端胆管癌。然而,在没有危险因素的情况下,同步发生多个远端胆管癌的情况很少见。在此,我们报告一例被诊断为远端胆管癌并伴有同步壁内胆管转移的胆管多发肿瘤病例。

病例介绍

一名67岁男性因黄疸来我院就诊。增强计算机断层扫描显示胆总管上有一个强化肿瘤。内镜逆行胆管造影显示胆总管的结节状肿瘤导致胆管狭窄。我们在诊断为远端胆管癌的情况下进行了保留胃的胰十二指肠次全切除术。患者术后第23天出院。切除标本的宏观检查显示,在胆总管中部有一个27毫米的结节浸润性肿瘤,在胆总管下部有一个3毫米的结节状肿瘤。两个肿瘤之间的距离为10毫米。病理检查显示,较大的肿瘤主要由低分化腺癌组成,肿瘤周边有中分化成分。较小的肿瘤完全由低分化腺癌组成,与较大肿瘤的低分化成分相似。此外,在两个肿瘤附近均观察到微小淋巴管浸润。这两个病变被无异型性的非肿瘤性胆管上皮分隔开。使用CK7/20、MUC1/2和p53抗体进行免疫组化染色的结果证实了这些肿瘤的同源性。这些结果表明,较小的肿瘤是远端胆管癌的同步壁内胆管转移,而不是独立的多发病变。

结论

在胆管上同步发现多个肿瘤的病例中,确定这些肿瘤之间的关系至关重要。免疫组化染色和基因分析的最新进展可能会进一步有助于评估多个远端胆管癌之间的关联。

https://cdn.ncbi.nlm.nih.gov/pmc/blobs/5dfb/12256130/328e1f378991/scr-11-01-25-0119-g001.jpg

文献AI研究员

20分钟写一篇综述,助力文献阅读效率提升50倍。

立即体验

用中文搜PubMed

大模型驱动的PubMed中文搜索引擎

马上搜索

文档翻译

学术文献翻译模型,支持多种主流文档格式。

立即体验