Suppr超能文献

灵芝孢子油通过增强FcγR介导的巨噬细胞吞噬作用减轻心理应激诱发的肿瘤进展。

Ganoderma lucidum spore oil alleviates psychological stress-evoked tumor progression by enhancing FcγR-mediated macrophage phagocytosis.

作者信息

Li Dong-Dong, Li Zi-Xuan, Zhou Yang-Fan, Jin Ling, Liang Wan-Li, Xu Wen-Dong, Luo Xiang, Xiao Guan-Di, Chen Qi-Jun, Xie Ting, Xu Hui, Liu Yang, Cai Hong-Fei, Cao Yun-Feng, Sun Wan-Yang, Li Yi-Fang, Liang Lei, Liu Ju-Yan, Wu Yan-Ping, He Rong-Rong

机构信息

State Key Laboratory of Bioactive Molecules and Druggability Assessment/Guangdong Basic Research Center of Excellence for Natural Bioactive Molecules and Discovery of Innovative Drugs/Guangdong Engineering Research Center of Traditional Chinese Medicine & Disease Susceptibility/The First Affiliated Hospital/The Sixth Affiliated Hospital/Guangdong Second Provincial General Hospital/Guangdong Engineering Research Center of Traditional Chinese Medicine & Health Products/International Cooperative Laboratory of TCM Modernization and Innovative Drug Development of Chinese Ministry of Education (MOE)/Guangdong Province Key Laboratory of Pharmacodynamic Constituents of TCM and New Drugs Research/College of Pharmacy/School of Traditional Chinese Medicine, Jinan University, Guangzhou, 510632, China.

School of Pharmacy, Faculty of Medicine, Macau University of Science and Technology, Macau SAR, China.

出版信息

Chin Med. 2025 Jul 14;20(1):111. doi: 10.1186/s13020-025-01168-0.

Abstract

BACKGROUND

Ganoderma lucidum (G. lucidum), has been documented as a medicinal herb in classical texts and officially recognized in both Eastern and Western pharmacopeias. G. lucidum spore oil (GLSO), a lipid substance extracted from sporoderm-broken spores, has shown potential in enhancing immune function and prolonging the survival of tumor patients. However, the mechanisms underlying GLSO's immunomodulatory effects remain poorly unknown.

METHODS

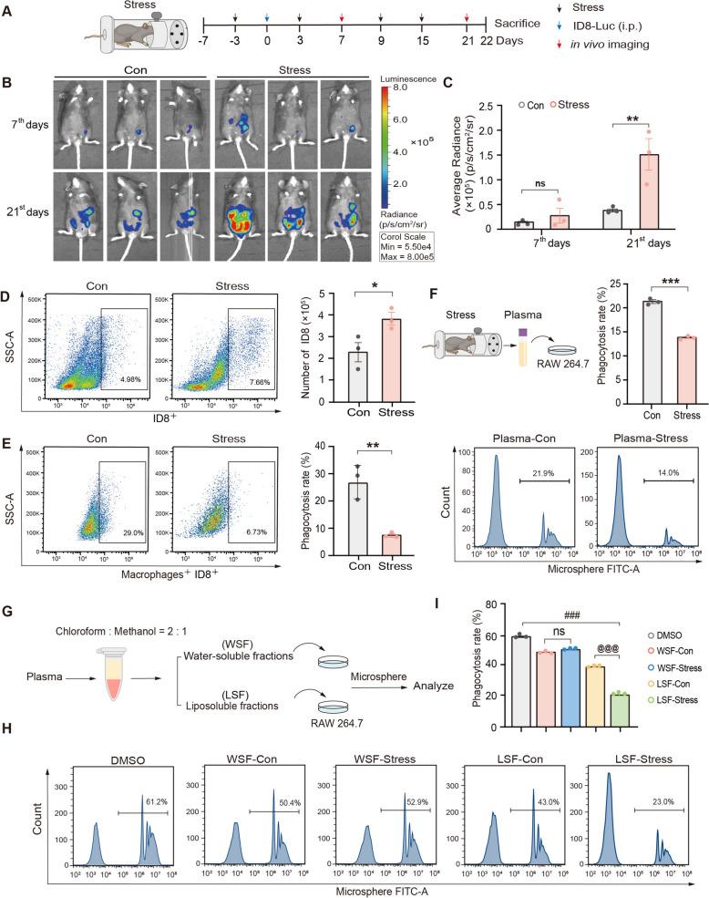
The effect of psychological stress on tumor progression and macrophage phagocytosis was analyzed by an in vivo small animal imaging system and flow cytometry. The effect of psychological stress on phospholipid composition in mice was investigated by LC-MS/MS based lipidomic analysis. The effectiveness of GLSO in tumor-bearing mice subjected to restraint stress was observed by tumor burden and phagocytosis of macrophages. Finally, the underlying mechanism of GLSO on macrophage phagocytosis in mice subjected to psychological stress was explored by RNA-seq, and the FcγR/SYK-mediated macrophage phagocytosis pathway was confirmed by qPCR, Western blotting, and confocal laser technology.

RESULTS

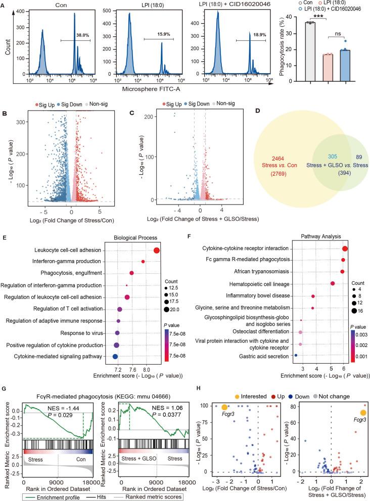
Our study discovered that psychological stress-triggered tumor progression is contributed to by liposoluble components-impaired macrophage phagocytosis. Lipidomics analysis further identified lysophosphatidylinositol [LPI (18:0)] as a key factor suppressing macrophage phagocytic capacity under psychological stress. GLSO was shown to mitigate psychological stress-evoked tumor progression by enhancing macrophage-mediated phagocytosis of tumor cells in vivo. Mechanistically, transcriptomics analysis revealed that the LPI-mediated FcγR phagocytosis pathway is a crucial axis driving the therapeutic effect of GLSO under psychological stress.

CONCLUSION

Our findings illustrate that psychological stress-promoted cancer progression is contributed by the critical liposoluble components LPI (18:0)-mediated FcγR phagocytosis signaling inhibition. GLSO alleviates the dampened phagocytosis of macrophages caused by stress through regulating LPI/FcγR-mediated phagocytosis-related pathways, underscoring its potential as a therapeutic intervention for stress-related tumor progression.

摘要

背景

灵芝在经典文献中已被记载为一种草药,并在东西方药典中均得到官方认可。灵芝孢子油(GLSO)是从破壁孢子中提取的一种脂质物质,在增强免疫功能和延长肿瘤患者生存期方面显示出潜力。然而,GLSO免疫调节作用的潜在机制仍知之甚少。

方法

通过体内小动物成像系统和流式细胞术分析心理应激对肿瘤进展和巨噬细胞吞噬作用的影响。通过基于LC-MS/MS的脂质组学分析研究心理应激对小鼠磷脂组成的影响。通过肿瘤负荷和巨噬细胞吞噬作用观察GLSO对遭受束缚应激的荷瘤小鼠的有效性。最后,通过RNA测序探索GLSO对遭受心理应激的小鼠巨噬细胞吞噬作用的潜在机制,并通过qPCR、蛋白质免疫印迹和共聚焦激光技术证实FcγR/SYK介导的巨噬细胞吞噬途径。

结果

我们的研究发现,心理应激引发的肿瘤进展是由脂溶性成分损害巨噬细胞吞噬作用所致。脂质组学分析进一步确定溶血磷脂酰肌醇[LPI(18:0)]是心理应激下抑制巨噬细胞吞噬能力的关键因素。GLSO在体内通过增强巨噬细胞介导的肿瘤细胞吞噬作用减轻心理应激诱发的肿瘤进展。从机制上讲,转录组学分析表明,LPI介导的FcγR吞噬途径是心理应激下驱动GLSO治疗效果的关键轴。

结论

我们的研究结果表明,心理应激促进癌症进展是由关键脂溶性成分LPI(18:0)介导的FcγR吞噬信号抑制所致。GLSO通过调节LPI/FcγR介导的吞噬相关途径减轻应激引起的巨噬细胞吞噬作用减弱,突出了其作为应激相关肿瘤进展治疗干预手段的潜力。

https://cdn.ncbi.nlm.nih.gov/pmc/blobs/e9d6/12257750/4a8e814fd43f/13020_2025_1168_Fig1_HTML.jpg

文献AI研究员

20分钟写一篇综述,助力文献阅读效率提升50倍。

立即体验

用中文搜PubMed

大模型驱动的PubMed中文搜索引擎

马上搜索

文档翻译

学术文献翻译模型,支持多种主流文档格式。

立即体验