Suppr超能文献

BRAF 突变的非小细胞肺癌患者的治疗结果:德国国家网络基因组医学(nNGM)肺癌项目中的一项回顾性多中心分析

Treatment outcome of NSCLC patients with BRAF mutations: a retrospective, multicentre analysis within the national Network Genomic Medicine (nNGM) Lung Cancer in Germany.

作者信息

Kropf-Sanchen C, Rasokat A, Christopoulos P, Wenzel C, Wehler T, Rost M, Kulhavy J, Reinmuth N, Schulz C, Scheffler M, Wolf J, Büttner R, Merkelbach-Bruse S, Thomas M, Stenzinger A, Schütz M, Bräuninger A, Demes M, Hummel H-D, Pfarr N, Gaisa N T, Rawluk J, Berezucki E, Lutz K T, Galda S, Jacobi H, Collienne M, Janning M, Brummer T, Loges S

机构信息

Division of Pulmonology, Department of Internal Medicine II, Ulm University Medical Center, Ulm, Germany; DKFZ-Hector Cancer Institute at the University Medical Center Mannheim, Mannheim, Germany; Division of Personalized Medical Oncology (A420), German Cancer Research Center (DKFZ), German Center for Lung Research (DZL), Heidelberg, Germany; Department of Personalized Oncology, University Hospital Mannheim, Medical Faculty Mannheim, University of Heidelberg, Mannheim, Germany.

Department for Internal Medicine, Center for Integrated Oncology Köln-Bonn, University Hospital Cologne, Cologne, Germany.

出版信息

ESMO Open. 2025 Jul 14;10(8):105124. doi: 10.1016/j.esmoop.2025.105124.

Abstract

BACKGROUND

Non-small-cell lung cancer patients with BRAF mutations benefit from targeted and (chemo-)immune therapy. However, treatment of BRAF mutations poses substantial challenges due to biological heterogeneity, different clinicogenomic features and limited therapy outcome data.

MATERIALS AND METHODS

We conducted a retrospective analysis of BRAF mutation patients in the national Network Genomic Medicine Lung Cancer, assessing treatment outcomes upon targeted and (chemo-)immune therapy. Additionally, we evaluated mitogen-activated protein kinase (MEK)/extracellular-signal-regulated kinase (ERK) activation potential of selected, previously not characterized mutations in vitro.

RESULTS

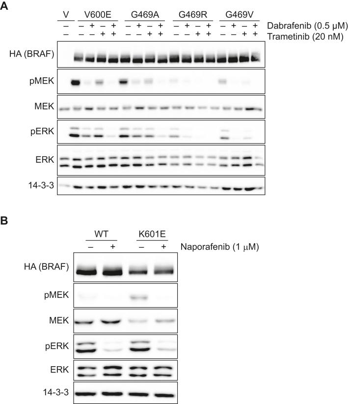
Fifty-three patients with 11 different BRAF mutations undergoing targeted and/or (chemo-)immune therapy were identified. Patients with class I mutations achieved the longest progression-free survival (PFS) under targeted therapy [median PFS (mPFS) 9.8 months], whereas chemotherapy and chemoimmunotherapy led to an mPFS of 35 and 27 months, respectively. In patients with class II mutations, targeted therapy led to an mPFS of 6.3 months while chemotherapy, chemoimmunotherapy and immunotherapy resulted in an mPFS of 3.5, 3.7 and 3.6 months, respectively. Preclinical characterization demonstrated MEK phosphorylation potential and hence actionability of BRAF class II mutations G469A, G469R, G469V and BRAF K601. Patients exhibiting class III mutations did not respond to targeted therapy (mPFS 2.6 months), but showed responses to chemotherapy (mPFS 4.2 months), chemoimmunotherapy (mPFS 10.9 months) and immunotherapy (mPFS 7 months).

CONCLUSIONS

Patients with activating BRAF mutations respond to BRAF/MEK inhibitor or (chemo-)immunotherapy, while those with non-activating mutations do not benefit from targeted therapy, but may benefit from (chemo-)immune therapy. Correlating preclinical activation assays with clinical outcomes can guide treatment decisions for patients with BRAF mutations, facilitating personalized treatment approaches.

摘要

背景

携带BRAF突变的非小细胞肺癌患者可从靶向治疗和(化疗-)免疫治疗中获益。然而,由于生物学异质性、不同的临床基因组特征以及有限的治疗结果数据,BRAF突变的治疗面临重大挑战。

材料与方法

我们对国家肺癌基因组医学网络中的BRAF突变患者进行了回顾性分析,评估了靶向治疗和(化疗-)免疫治疗后的治疗结果。此外,我们在体外评估了所选的、先前未表征的突变的丝裂原活化蛋白激酶(MEK)/细胞外信号调节激酶(ERK)激活潜力。

结果

共鉴定出53例携带11种不同BRAF突变且接受靶向治疗和/或(化疗-)免疫治疗的患者。I类突变患者在靶向治疗下实现了最长的无进展生存期(PFS)[中位PFS(mPFS)9.8个月],而化疗和化疗免疫治疗的mPFS分别为35个月和27个月。在II类突变患者中,靶向治疗的mPFS为6.3个月,而化疗、化疗免疫治疗和免疫治疗的mPFS分别为3.5个月、3.7个月和3.6个月。临床前特征表明BRAF II类突变G469A、G469R、G469V和BRAF K601具有MEK磷酸化潜力,因此具有可操作性。表现出III类突变的患者对靶向治疗无反应(mPFS 2.6个月),但对化疗(mPFS 4.2个月)、化疗免疫治疗(mPFS 10.9个月)和免疫治疗(mPFS 7个月)有反应。

结论

携带激活型BRAF突变的患者对BRAF/MEK抑制剂或(化疗-)免疫治疗有反应,而携带非激活型突变的患者无法从靶向治疗中获益,但可能从(化疗-)免疫治疗中获益。将临床前激活试验与临床结果相关联可指导BRAF突变患者的治疗决策,促进个性化治疗方案的制定。

https://cdn.ncbi.nlm.nih.gov/pmc/blobs/04eb/12281862/42bb0b564185/gr1.jpg

文献AI研究员

20分钟写一篇综述,助力文献阅读效率提升50倍。

立即体验

用中文搜PubMed

大模型驱动的PubMed中文搜索引擎

马上搜索

文档翻译

学术文献翻译模型,支持多种主流文档格式。

立即体验